This review focuses on the clinicopathologic and molecular features of epithelial ovarian cancer, with specific attention to genetic predisposition, morphologic challenges, immunohistochemistry, and molecular features.
Oncology (Williston Park). 30(2):166–176.

Figure 1.

Figure 2.

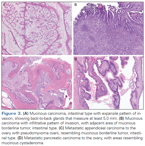
Figure 3.

Table 1. Immunophenotypic Profile of the Most Common Epithelial Tumors of the Ovary

Table 2. Immunophenotypic Features of Mucinous Neoplasms Involving the Ovary

Epithelial ovarian cancer comprises a heterogeneous group of tumors. The four most common subtypes are serous, endometrioid, clear cell, and mucinous carcinoma. Less common are transitional cell tumors, including transitional cell carcinoma and malignant Brenner tumor. While in the past these subtypes were grouped together and designated as epithelial ovarian tumors, these tumor types are now known to be separate entities with distinct clinical and biologic behaviors. From a therapeutic standpoint, current regimens employ standard chemotherapy based on stage and grade rather than histotype. However, this landscape may change in the era of personalized therapy, given that most subtypes (with the exception of high-grade serous carcinoma) are relatively resistant to chemotherapy. It is now well-accepted that high-grade and low-grade serous carcinomas represent distinct entities rather than a spectrum of the same tumor type. While they are similar in that patients present with advanced-stage disease, their histologic and molecular features are entirely different. High-grade serous carcinoma is associated with TP53 mutations, whereas low-grade serous carcinomas are associated with BRAF and KRAS mutations. Endometrioid and clear cell carcinomas typically present as early-stage disease and are frequently associated with endometriosis. Mucinous carcinomas typically present as large unilateral masses and often show areas of mucinous cystadenoma and mucinous borderline tumor. It must be emphasized that primary mucinous carcinomas are uncommon tumors, and metastasis from other sites such as the appendix, colon, stomach, and pancreaticobiliary tract must always be considered in the differential diagnosis. Lastly, transitional cell tumors of the ovary, specifically malignant Brenner tumors, are quite uncommon. High-grade serous carcinoma often has a transitional cell pattern, and adequate sampling in most cases shows more typical areas of serous carcinoma. Immunohistochemical markers are routinely employed in the diagnosis of epithelial ovarian carcinomas. However, molecular testing of these tumors, unlike in endometrial carcinoma, is not routinely used in clinical practice.
Ovarian cancer is the second most common cancer of the female genital tract. In the United States, it is responsible for more cancer deaths than all other gynecologic tumors.[1] Malignant epithelial tumors are the most common type of ovarian cancer and comprise almost 90% of cases.[2-4] The treatment of ovarian cancer has been based mainly on tumor grade and stage, but it is now apparent that the histologic subtype is just as important in patient management. The various histologic subtypes are different in terms of risk factors, precursor lesions, clinical course, patterns of spread, molecular genetics, response to conventional chemotherapy, and prognosis.[2-4] Hence, it is imperative to accurately subtype these tumors based primarily on morphology and immunohistochemistry tests, when necessary. We now know that high-grade serous carcinoma (HGSC), the most common subtype of epithelial ovarian carcinoma, is a different disease from low-grade serous carcinoma (LGSC). HGSC presents in older women and responds at least initially to chemotherapy but has a worse overall prognosis than LGSC. In contrast, LGSC presents in younger women and does not respond well to chemotherapy but has a better prognosis.[5-8] Endometrioid adenocarcinoma (EC) and clear cell carcinoma (CCC) typically present as stage I/II disease and are frequently associated with pelvic endometriosis. Lastly, mucinous carcinoma (MUC) of the ovary is a fairly uncommon disease if metastasis has been excluded, and its outcome is highly variable, based on stage at presentation and type of invasion.[9-11] This review focuses on the clinicopathologic and molecular features of epithelial ovarian cancer, with specific attention to genetic predisposition, morphologic challenges, immunohistochemistry, and molecular features.
In young women with HGSC or CCC, the possibility of hereditary conditions such as BRCA1 or BRCA2 mutations or Lynch syndrome must be considered. While the majority of ovarian cancers are sporadic, family history is one of the strongest risk factors. Of these hereditary conditions, breast and ovarian cancer syndrome associated with germline mutations in the BRCA1 and BRCA2 tumor suppressor genes, and hereditary nonpolyposis colorectal cancer (HNPCC; Lynch syndrome) associated with germline mutations in the DNA mismatch repair genes, are the most studied to date.[12] Overall, approximately 10% of ovarian cancers are hereditary; 90% of these hereditary tumors are associated with BRCA mutations and the remainder are related predominantly to HNPCC syndrome.[12] Two large meta-analyses have shown that the cumulative risk of developing ovarian cancer is higher in patients with BRCA1 mutations compared with those with BRCA2 mutations. Antoniou et al performed a meta-analysis on 22 studies and found that the cumulative risk for ovarian cancer was 39% in patients with BRCA1 mutation and 11% in patients with BRCA2 mutation, by the age of 70 years.[13] Chen and colleagues reviewed 10 studies and estimated the cumulative risk to be 40% for BRCA1 mutation carriers and 18% for BRCA2 mutation carriers, again by 70 years of age.[14] Studies have shown the incidence, clinical features, and outcomes of ovarian cancer to be different in patients with BRCA1 mutation compared with BRCA2 mutation carriers and patients with sporadic ovarian cancers.[15-18] Patients with BRCA-related ovarian cancers have been shown to present at a more advanced disease stage, but they respond better to platinum-based chemotherapy and have longer disease-free intervals and overall survival compared with patients with sporadic cancers.[17,18] Reitsma et al, in a study of 55 cases of BRCA1 mutation carriers and 16 cases of BRCA2 mutation carriers, found that patients with BRCA2 mutations tended to have longer time to first relapse and fewer relapses.[19] BRCA2 mutation carriers had longer disease-free and overall survival compared with BRCA1 mutation carriers; however, the authors noted that these findings were not statistically significant, perhaps due to small sample size.[19] In terms of histologic subtype, tumor grade, and International Federation of Gynecology and Obstetrics (FIGO) stage, no significant differences have been reported between BRCA1 and BRCA2 mutation carriers.[18-20]
With regard to ovarian cancer in Lynch syndrome patients, several series have been published.[21-27] In separate studies, Bonadona et al and Engel et al reported a lifetime ovarian cancer risk of 8% in patients with Lynch syndrome.[25,26] Watson et al analyzed Lynch syndrome registries in Denmark, Holland, Finland, and the United States, reporting a 6.7% overall risk of ovarian cancer among these patients.[27] Watson et al also found that these patients were diagnosed with ovarian cancer at a younger age than the general population (mean age at diagnosis, 43 years vs 59 years) and that 22% of these patients presented with synchronous endometrial cancer.[27] Screening and surveillance for patients with hereditary ovarian cancer has been a challenge, and currently there are no definite recommendations based on randomized prospective data.[23] There are no reliable screening methods for ovarian cancer, since cancer antigen 125 (CA-125) is highly nonspecific for ovarian cancer, and radiologic evaluation is neither feasible nor sensitive. In patients with BRCA1/2 mutations or deleterious mutations associated with Lynch syndrome who have completed childbearing, risk-reducing prophylactic hysterectomy with bilateral salpingo-oophorectomy (BSO) in the former, and BSO in the latter, are typically recommended.[23] Meta-analysis of 10 studies by Rebbeck et al showed an approximately 80% reduction in ovarian and fallopian tube cancer in patients who underwent risk-reducing BSO.[28] The current National Comprehensive Cancer Network guidelines recommend risk-reducing BSO in women “ideally between 35 and 40 years, and upon completion of childbearing, or individualized based on earliest age of onset of ovarian cancer in the family.”[29]
Of the most common histologic subtypes of ovarian cancer, serous carcinoma occurs most often, followed by CCC and EC, which are diagnosed with almost equal frequency. Seidman et al found that among 220 consecutive patients with surface epithelial carcinoma, almost 80% of cases of intra-abdominal carcinomatosis were of serous histology, especially when peritoneal carcinomas, carcinosarcomas, and mixed carcinomas with serous component were included.[30] Thus, it is now well-established that serous carcinomas represent the majority of advanced-stage ovarian cancers. The second most common subtype has been variable between EC and CCC.[4,31,32] In the previously described study by Seidman et al, CCC was found to be the second most common ovarian carcinoma, followed by EC.[32] The reason for these differences could be overlapping features between HGSC and EC. Primary ovarian MUC, previously considered to be the second most common epithelial ovarian tumor, is now known to be much less common, because the majority of these tumors represent metastases.[33] Familiarity with the morphologic spectrum of metastatic tumors in the ovary and use of immunohistochemistry has resulted in a marked decrease in the reported incidence of primary ovarian MUCs.[33-35] Other subtypes include transitional cell carcinomas, mixed carcinomas, and undifferentiated carcinomas. Less common are tumors such as squamous cell carcinoma, papillary thyroid carcinoma, sebaceous carcinoma, and carcinoid tumors that are typically associated with mature cystic teratomas; these tumor types are beyond the scope of this review. Briefly, the management of ovarian carcinoma has evolved significantly in the past decade-from primary definitive surgery and debulking followed by chemotherapy, to treating patients with neoadjuvant chemotherapy, especially in the setting of miliary disease that cannot be optimally debulked.[36,37] Pathologic review of post-treatment resections poses some problems-including typing of tumors that have undergone therapy-related changes, such as marked atypia and clear cell changes, as well as identifying minimal residual disease in the presence of inflammation and necrosis.
HGSCs are characterized by papillary (Figure 1A), glandular, solid, and transitional (Figure 1B) patterns. The diagnosis of HGSC is typically straightforward, especially when there is a predominantly papillary pattern with associated psammoma bodies. The solid pattern can cause difficulty in distinguishing HGSC from EC. However, morphologic features such as glands that are slit-like rather than smooth/round, with prominent cellular budding and bizarre nuclei, are more typical of serous carcinoma. ECs, on the other hand, are associated with squamous differentiation, adenofibromatous background, and endometriosis. Furthermore, staining for the Wilms tumor 1 (WT1) protein, a characteristic immunohistochemical marker of serous neoplasms, can assist in making the correct diagnosis, since ECs are typically negative or only weakly positive for this marker.[38] Other useful immunohistochemical markers include p16 and p53, both of which are more likely to be diffusely and strongly positive in HGSC rather than EC.[39,40]
As previously noted, it is now well-established that HGSC and LGSC represent two distinctly different disease entities rather than grades of the same tumor.[3,6-8,41-43] Serous carcinomas were traditionally graded as well-differentiated, moderately differentiated, and poorly differentiated. However, in 2004 Malpica et al proposed a two-tier grading system that assesses only nuclear atypia and mitotic activity; this approach has since been found to be highly reproducible and is now fairly widely accepted.[42,44] Based on this system, HGSCs are characterized by marked nuclear pleomorphism (nuclei 3 times the size of others) and mitotic activity of > 12 mitoses per 10 high-power fields. LGSC, on the other hand, is characterized by tumor cells with relative nuclear uniformity, absence of nuclear pleomorphism, and mitotic activity typically < 12 mitoses per 10 high-power fields. The tumors are generally characterized by micropapillae surrounded by clear spaces (Figure 1C); however, glandular, macropapillary, and single cell patterns can also be seen.
Although HGSCs are thought to arise from the ovarian surface epithelium or cortical inclusion cysts, no definite precursor lesions have been identified. There is emerging evidence that the majority of ovarian HGSCs arise from the epithelium of the fimbrial end of the fallopian tube.[45-49] Evidence for this lies in the detection of serous tubal intraepithelial carcinoma (STIC) in the fallopian tubes of asymptomatic BRCA mutation–positive women,[50] as well as identifying STIC in patients with advanced-stage ovarian cancer.[51] Recent studies suggest the presence of a dualistic model of HGSC-that is, patients whose tumors had a pseudoendometrioid morphology that was less likely to be associated with STIC vs patients whose tumors had a more classic morphology that was frequently associated with STIC.[52] This is an evolving area of investigation, and it would be reasonable to suggest that at least a subset of ovarian and pelvic HGSCs arise from the fallopian tube epithelium.
Conversely, LGSC is thought to arise from preexisting cystadenoma or serous borderline tumor (SBT) that eventually progresses to invasive carcinoma. While the majority of typical SBTs do not show frankly invasive carcinoma, microinvasion is not uncommon. In some reports, LGSC has been associated with SBT in up to 60% of cases.[53] There are important considerations regarding the micropapillary pattern in SBT: While some authors propose using the term “micropapillary serous carcinoma,” most acknowledge that the micropapillary pattern must be noted in the patient report rather than labeling it as a carcinoma, given that this pattern is frequently associated with bilateral ovarian involvement, surface involvement, and peritoneal implants.
Although patients with low-grade neoplasms usually have recurrences that are low-grade tumors, we have encountered cases of LGSC either coexisting with HGSC or recurring as HGSC. Boyd and McCluggage have reported seven cases of LGSC that either coexisted with HGSC or recurred as either HGSC or undifferentiated carcinoma.[5] Close examination of the tumor is recommended, since the areas of HGSC may be focal or admixed with areas resembling SBT.
In most cases, immunohistochemical stains are not necessary for making a diagnosis of either HGSC or LGSC. However, they are useful in the assessment of post-therapy specimens, in which CCC is often considered in the differential diagnosis, or when a diagnosis must be made using small biopsies. As previously mentioned, most patients with peritoneal carcinomatosis are likely to receive neoadjuvant chemotherapy, so establishing a diagnosis of a Müllerian/gynecologic primary based on a limited biopsy is becoming standard practice. Typically only a small amount of tumor is present in these biopsies, and numerous immunohistochemical tests are often performed to exclude other entities. Both HGSCs and LGSCs have some overlapping characteristics, as well as some distinct immunophenotypic features. Both tumor types are positive for paired box gene 8 (PAX8) and WT1 expression, as well as estrogen receptor (ER) and progesterone receptor (PR) expression. When the morphologic features are suggestive of serous carcinoma, use of these four markers is sufficient to establish the diagnosis in most cases, and an extensive panel of immunomarkers is usually not necessary. In small biopsies, mesothelioma can enter the differential diagnosis; PAX8, MOC-31, Ber-EP4, and ER are useful markers because they are positive in HGSC but not in mesotheliomas.[54-56] In small-core biopsies with limited tumor, accurate grading may not be possible in some cases. Immunohistochemical stains for p16, p53, and Ki-67 are helpful, since HGSCs show diffuse staining for p16 and p53 and an elevated Ki-67 proliferation index, whereas LGSCs show patchy staining for p16, wild-type staining for p53, and a low Ki-67 proliferation index.[38,57,58] This panel is also helpful in detecting focal HGSC in the background of a tumor that is predominantly an LGSC. The immunophenotypes of the major epithelial ovarian cancer types are summarized in Table 1.
The molecular features of HGSC and LGSC are distinctly different. HGSC is associated with TP53 mutations or p53 dysfunction in almost all cases. Ahmed et al identified TP53 mutations in almost 97% of 145 patients with HGSCs.[59] In mutation-negative cases, p53 dysfunction associated with copy number gain in MDM2 or MDM4 was noted, or the cases were excluded because they represented LGSCs or other malignancies. Therefore, the mutation status in these tumors almost approached 100%. LGSC is typically associated with mutations in either KRAS or BRAF, but mutations in HER2 have also been reported.[42,60,61] Mutations of KRAS and BRAF are mutually exclusive; only one of these mutation types is present in a given tumor.
Lastly, from a clinical standpoint, although LGSC presents in younger women and is resistant to chemotherapy, overall survival is better than that of patients who have HGSC.[7,8,41,62] While HGSC responds well to chemotherapy initially, patients frequently experience recurrence and succumb to the disease. Recent Gynecologic Oncology Group 10-year follow-up data suggest improved survival with intraperitoneal chemotherapy in optimally debulked patients with HGSC who still had gross residual disease (< 1.0 cm).[63]
EC of the ovary is usually associated with endometriosis or an endometrioid adenofibroma/borderline tumor. It typically presents as a unilateral mass confined to the ovary-that is, as stage I disease. The diagnosis of EC in the majority of cases is based on the presence of back-to-back glands rather than infiltrative invasion (Figure 1D). Several characteristic histologic features are seen in EC, including squamous morules, mucinous differentiation, clear cell change, spindle morphology, and secretory change, with the latter sometimes mimicking CCC. The most important differential diagnosis for EC is metastatic colonic adenocarcinoma; the distinction between these two cancers can be made with immunohistochemical stains, since EC is positive for cytokeratin 7 (CK7), PAX8, ER, and PR, while colonic adenocarcinoma is positive for cytokeratin 20 (CK20) and caudal-type homeobox 2 (CDX2) protein. Of note, CDX2 can be positive in the squamous morules of EC.[64] Distinguishing high-grade EC from HGSC can be difficult, especially when the tumor is predominantly solid. Immunostains for WT1, p53, and p16 are helpful; these markers are usually diffusely and strongly positive in HGSC, while WT1 staining is negative in EC, which also shows patchy staining for p16 and wild-type staining for p53.[38,39,58,65-67]
Lastly, it is important to mention the concept of de-differentiated carcinoma, which is the presence of an undifferentiated carcinoma adjacent to a low-grade EC.[68] These tumors are often misdiagnosed as EC, FIGO grade 3. The entity was first described by Silva and colleagues, who found that the presence of the undifferentiated carcinoma component in ovarian and endometrial endometrioid carcinoma, regardless of the percentage, conferred a much worse prognosis.[69,70] In the ovary, such tumors may represent the far end of the spectrum of HGSC carcinoma or can be associated with low-grade EC. Undifferentiated carcinoma is characterized by the presence of discohesive, monotonous cells resembling lymphoma. Recognizing the morphologic features of these tumors-particularly when associated with low-grade EC-is important, given that these patients have a significantly worse prognosis. Undifferentiated carcinoma can express neuroendocrine markers, but the staining is typically less than 10%. Diffuse staining for neuroendocrine markers favors diagnosis of a high-grade neuroendocrine carcinoma.[71] EC, especially when confined to the ovary, has an excellent prognosis. If patients have been adequately staged, close follow-up is an acceptable therapeutic option.

W. Glenn McCluggage, MD
Department of Pathology
Belfast Health and Social Care Trust
Belfast, United KingdomWhat Has Changed in the Management of EOC? For many years, epithelial ovarian cancer (EOC) was basically considered a single disease originating from the ovarian surface epithelium or the epithelium of cortical inclusion cysts, with the potential for divergent differentiation resulting in the common occurrence of mixed carcinomas. However, it is now recognized that there are five main subtypes of EOC (based on the 2014 World Health Organization [WHO] Classification): High-grade serous carcinoma (HGSC), clear cell carcinoma, endometrioid carcinoma, mucinous carcinoma, and low-grade serous carcinoma (LGSC) account for approximately 68%, 12%, 11%, 3%, and 3% of EOCs, respectively. Mixed carcinomas are uncommon, probably accounting for < 1% of EOCs, and most represent mixed endometrioid and clear cell carcinomas. Each of the five main subtypes of EOC has a different underlying pathogenesis and is associated with distinct molecular events, clinical behavior, response to traditional chemotherapeutic agents, and prognosis. There is now compelling evidence that the most common subtype, HGSC, arises in most cases from the epithelium of the distal fallopian tube. Most clear cell and endometrioid carcinomas arise from endometriosis, and most cases of LGSC arise from serous borderline tumors.While previous interobserver variability in EOC classification was significant-even among specialist gynecologic pathologists-when modern diagnostic techniques (including immunohistochemical markers, such as Wilms tumor 1 [WT1] and p53, if necessary) are used, there is good interobserver agreement. This is important to optimize patient management; while treatment of EOC is currently more dependent on tumor stage and grade, this approach is rapidly changing. It is likely that in the near future, different surgical procedures, chemotherapeutic regimens, and targeted therapies will be employed for different morphologic subtypes of EOC especially since some of the less common subtypes do not respond well to traditional chemotherapeutic agents. Because of differences in EOC management based on tumor type, pathologists will have an increasingly pivotal role and will be required to make an accurate diagnosis, sometimes using small biopsy specimens.It is hoped that the widespread adoption of opportunistic salpingectomy will reduce the incidence of HGSC in the future; indeed, prophylactic salpingo-oophorectomy is already widely undertaken in women with a hereditary predisposition to developing HGSC. It is likely that nonsurgical management (adjuvantly or at recurrence) of the more uncommon tumor types will be directed against specific molecular aberrations identified within individual neoplasms. It is also likely that all patients with tubo-ovarian HGSC will undergo testing for germline mutations of BRCA1 and BRCA2, and it is possible that all patients with ovarian endometrioid and clear cell carcinomas will be investigated for underlying Lynch syndrome.
Approximately 10% of patients with ovarian cancer present with synchronous endometrial tumors.[72-74] These can represent metastasis from the ovary or endometrium to either site, or may be synchronous ovarian and endometrial primaries. Histologic features that favor synchronous primaries include: (1) histologic dissimilarity of tumors, (2) noninvasive or superficially invasive endometrial tumor, (3) no lymphovascular space invasion, (4) no surface involvement in the ovarian tumor, (5) presence of ovarian endometriosis, and (6) absence of spread of either tumor type to other sites. Conversely, a deeply invasive myometrial tumor with lymphovascular invasion, bilateral multinodular ovaries with hilar and surface involvement, or direct extension to adnexa and absence of ovarian endometriosis would favor a diagnosis of metastasis from the endometrial primary. Despite these established criteria for diagnosis, in some cases it is not possible to determine the primary site with certainty.[73] In such cases the pathologist can, at best, favor one site over another, and can explain the challenges precluding definite distinction between metastasis and synchronous ovarian and endometrial primaries. Soliman and colleagues found that patients with synchronous endometrial and ovarian primaries had distinct clinical characteristics, such as younger age, nulliparity, obesity, and premenopausal status.[73] They also found that patients with synchronous primaries had an excellent overall survival approaching 10 years, especially when both tumors had endometrioid histology.
Ovarian ECs are most commonly associated with somatic mutations of the catenin β1 (CTNNB1) and phosphatase and tensin homolog (PTEN) genes.[75] When compared with endometrial EC, ovarian ECs have a similar frequency of CTNNB1 abnormalities, but microsatellite instability and PTEN alterations are less common.
CCC comprises approximately 10% of ovarian carcinomas. CCCs are often associated with endometriosis, similar to EC. They are rarely bilateral, and patients usually present with stage I or II disease. Histologically, CCCs are characterized by solid, papillary, and tubulocystic patterns (Figure 2A). The papillae are typically short with hyalinized fibrovascular cores and are lined by hobnail cells with clear cytoplasm (Figure 2B). The nuclei of CCC are usually uniformly atypical, with large nucleoli; notably, bizarre atypia is not frequently identified in HGSC.[3,4,76] The diagnosis of CCC is challenging because both EC and HGSC can have prominent clear cell change, particularly in the solid and papillary areas. Studies have shown that tumors with clear cell change without the characteristic architectural pattern of CCC likely represent either EC or HGSC.[77,78] Clear cell change is also a common histologic feature associated with therapy effect; therefore, careful consideration of architectural and cytologic features is necessary prior to making a diagnosis of CCC. Immunohistochemical stains may be helpful in the differential diagnosis. CCCs are typically negative for WT1 and ER staining, whereas HGSCs are positive for both markers and ECs are positive for ER. Other markers that have recently been reported to be positive in CCC include hepatocyte nuclear factor-1 beta (HNF1ò) (Figure 2C) and napsin A (Figure 2D).[79-83] In a study of 279 ovarian tumors, Fadare et al found HNF1ò and napsin A to be expressed in 92% and 82%, respectively, of 65 cases of CCC; in 7% and 1%, respectively, of 101 serous carcinomas; and in 37% and 5.3%, respectively, of 19 patients with EC.[79] While HNF1ò was a highly sensitive marker, its specificity was low. The converse was true of napsin A. In our experience, use of a panel of markers that includes WT1, ER, HNF1ò, and napsin A is optimal when trying to establish a diagnosis of CCC and exclude it from other tumors with clear cell change.
The most common molecular genetic alterations in ovarian CCC include somatic inactivating mutations of AT-rich interactive domain 1A (ARID1A), activating mutations of phosphatidylinositol-4,5-bisphosphate 3-kinase catalytic subunit alpha (PIK3CA), and deletion of PTEN. The latter suggests that an aberrant PI3K/PTEN pathway plays a role in the development of CCC.[84,85] Wiegand and colleagues showed that ARID1A mutations were present in 55 of 119 (46%) ovarian CCCs.[86] In their study, two cases showed ARID1A mutations and loss of BAF250a expression in tumor, as well as contiguous foci of atypical endometriosis but not in distant endometriosis; therefore, they postulated that ARID1A mutations represent an early event in transformation of endometriosis to carcinoma.
Although the outcome for early-stage CCC is favorable, patients with advanced-stage disease have a poor prognosis. Additionally, CCC does not respond well to conventional chemotherapy, further contributing to poor overall outcomes.
As previously mentioned, primary ovarian MUC is now known to be an uncommon tumor. The reason for overdiagnosis of primary ovarian MUC in the past was the lack of a means to reliably distinguish them from metastatic tumors, particularly from the gastrointestinal tract. Improved understanding of the gross, morphologic, and immunohistochemical features of primary and metastatic mucinous tumors of the ovary over the past few decades has now resulted in a much lower reported incidence of primary MUC, estimated to be approximately 3%.[4,32,33] From a gross examination perspective, primary MUC is usually considered when the patient presents with a large unilateral mass. Metastasis is considered with bilateral small multinodular ovaries. However, unilateral large tumors can represent metastasis from the appendix, colon, and pancreas, rather than ovarian primaries; therefore, careful histologic evaluation is necessary.
Ovarian MUCs often show a spectrum of changes that include areas resembling cystadenoma and borderline tumor. MUCs can show two patterns of invasion, namely expansile type (Figure 3A) and infiltrative type (Figure 3B). The expansile pattern is characterized by the presence of back-to-back glands, with minimal to no intervening stroma measuring at least 5 mm in one dimension. In addition, there is no evidence of stromal invasion or desmoplastic reaction. Infiltrative invasion is characterized by the presence of infiltrating glands with associated desmoplasia.
Histologically, there are two major types of MUC and mucinous borderline tumor (MBT): intestinal and endocervical. The intestinal type often has goblet cells but this is not required for diagnosis, since the epithelium may resemble pancreatic- or gastric-type epithelium. Endocervical MBT is much less common than the intestinal type, and its malignant counterpart, seromucinous carcinoma (SMC), is even less common. The revised World Health Organization (WHO) Classification of Tumours of the Female Reproductive Organs defines SMC as “a carcinoma composed predominantly of serous and endocervical-type mucinous epithelium” and states that “foci containing clear cells and areas of endometrioid and squamous differentiation are not uncommon.”[87] SMC is a relatively newly described entity. The largest series was recently reported by Taylor et al.[88] The authors found that almost half of the 19 cases they studied occurred in women younger than 40 years of age, and (unlike intestinal-type MUC) the tumors were bilateral in one-sixth of cases. The tumors were composed of endocervical-like mucinous, endometrioid, and eosinophilic “indifferent” (serous-like) cells. However, hobnail cells, squamous cells, clear cells, and signet ring cells were also identified in a subset of cases. An acute inflammatory infiltrate is often seen within the epithelium. These tumors are frequently associated with endometriosis.
Distinguishing primary from metastatic MUC can be particularly challenging on the basis of morphology alone. Histologic features such as intraluminal necrotic debris are characteristic of metastatic colonic carcinoma, and the presence of pseudomyxoma ovarii/peritonei is almost always associated with an appendiceal primary (Figure 3C). Immunohistochemical stains can be helpful in distinguishing primary MUC, intestinal type, from metastases (Table 2). CK7 and CK20 are often employed in this differential, since primary ovarian MUCs are typically diffusely positive for CK7 and only focally positive for CK20, but the converse is true for metastasis from the appendix and lower gastrointestinal tract.[29,32,89,90] CDX2 is often positive in ovarian MUCs and limits its utility in this differential.[90] Right-sided microsatellite unstable colonic adenocarcinomas can be diffusely positive for CK7 and negative for CK20, and this must be taken into consideration when interpreting these stains.[91] Distinguishing primary ovarian MUC from pancreaticobiliary tract primary can be quite challenging due to overlapping morphologic features (Figure 3D) and is often a diagnosis of exclusion.[92,93] Both aforementioned tumors are positive for CK7 and negative for CK20, thus other markers are necessary. Ovarian MUCs can be positive for PAX8 and ER; however, the low sensitivity of these markers limits their utility. Similarly, while expression of SMAD4 or DPC4 is lost in about 50% of pancreatic cancers, ovarian MUCs typically retain expression of this marker. Thus, SMAD4 is useful only when there is negative staining in the tumor cells.[92] Despite several immunomarkers now available, in some cases it is not possible to distinguish primary from metastatic tumors, and correlation with clinical and radiologic findings becomes necessary to determine the primary site. Endocervical-type/SMC ovarian tumors have a Mullerian phenotype, in that they are diffusely positive for PAX8, ER, and PR. The main differential diagnosis for SMC is EC. However, EC can have significant mucinous differentiation, and in this case, the distinction is both challenging and somewhat arbitrary.[88] Both SMC and EC arise in the background of endometriosis, and in many cases the diagnosis of malignancy is made based on the presence of back-to-back glands, similar to the expansile pattern of invasion in MUC, rather than on destructive stromal invasion. In the few case series reported, the prognosis of stage I SMC appears to be favorable; however, patients with advanced-stage disease are expected to have a worse outcome.[88,94,95]
Molecular alterations in ovarian mucinous neoplasms are limited primarily to KRAS mutations, which can be seen in benign, borderline, and carcinoma components within the same tumor.[96-98] Stage I MUC, intestinal type, has a favorable prognosis overall; however, recurrences have been reported. Advanced-stage ovarian MUCs are uncommon but nevertheless respond poorly to chemotherapy and usually have an adverse outcome. The infiltrative type of invasion, even when focal, has a much worse prognosis than the expansile pattern of invasion; thus, the importance of tumor sampling cannot be overemphasized.[99]
Transitional cell neoplasms comprise approximately 1% to 2% of ovarian tumors. They are broadly classified as benign, borderline, and malignant Brenner tumor; and transitional cell carcinomas (TCCs).[100,101] Malignant Brenner tumor is characterized by the presence of epithelium resembling urothelial neoplasms and shows the presence of stromal invasion. Most importantly, when diagnosing this subtype, areas of benign Brenner tumor must be identified and metastasis from the urinary tract should be excluded.[100,101] TCC, on the other hand, is now widely considered to be a variant of HGSC and is typically positive for WT1, further supporting this impression.[100] Furthermore, similar to HGSC, TCCs typically overexpress p53 and p16 and are ER-positive. Patients with malignant Brenner tumors usually present with stage I disease and have excellent 5-year survival; in contrast, survival rates for patients with TCCs are similar to those for advanced-stage HGSCs.[102]
Published reports indicate that malignant Brenner tumors show activation of the PI3K/AKT signaling pathway through epidermal growth factor receptor (EGFR), while TCCs are high-grade tumors with p53 mutations.[103]
In summary, epithelial ovarian neoplasms are a heterogeneous group of tumors, with subtypes that have distinct clinicopathologic and molecular features. Familiarity with the unique morphologic features of each subtype, as well as overlapping microscopic features, will allow accurate diagnosis. Problematic areas in diagnosis usually involve distinguishing HGSC from high-grade EC, undifferentiated carcinoma, and tumors with clear cell change. In challenging cases, judicious use of immunohistochemical stains is recommended. The need for accurate histologic typing is particularly important in the current era of personalized therapy, in which many patients are participating in clinical trials that often have histologic type as a selection criterion. Unlike endometrial cancer, molecular testing of ovarian cancer is not currently part of routine practice; however, ongoing research and clinical trials may identify actionable biomarkers in the future.
Financial Disclosure:The author has no significant financial relationship with the manufacturer of any product or provider of any service mentioned in this article.
1. National Cancer Institute; Surveillance, Epidemiology, and End Results [SEER] Program. SEER stat fact sheets: ovary cancer. http://seer.cancer.gov/statfacts/html/ovary.html. Accessed January 29, 2016.
2. Gilks CB, Prat J. Ovarian carcinoma pathology and genetics: recent advances. Hum Pathol. 2009;40:1213-23.
3. McCluggage WG. My approach to and thoughts on the typing of ovarian carcinomas. J Clin Pathol. 2008;61:152-63.
4. McCluggage WG. Morphological subtypes of ovarian carcinoma: a review with emphasis on new developments and pathogenesis. Pathology. 2011;43:420-32.
5. Boyd C, McCluggage WG. Low-grade ovarian serous neoplasms (low-grade serous carcinoma and serous borderline tumor) associated with high-grade serous carcinoma or undifferentiated carcinoma: report of a series of cases of an unusual phenomenon. Am J Surg Pathol. 2012;36:368-75.
6. Diaz-Padilla I, Malpica AL, Minig L, et al. Ovarian low-grade serous carcinoma: a comprehensive update. Gynecol Oncol. 2012;126:279-85.
7. Gershenson DM, Sun CC, Bodurka D, et al. Recurrent low-grade serous ovarian carcinoma is relatively chemoresistant. Gynecol Oncol. 2009;114:48-52.
8. Gershenson DM, Sun CC, Lu KH, et al. Clinical behavior of stage II-IV low-grade serous carcinoma of the ovary. Obstet Gynecol. 2006;108:361-8.
9. Riopel MA, Ronnett BM, Kurman RJ. Evaluation of diagnostic criteria and behavior of ovarian intestinal-type mucinous tumors: atypical proliferative (borderline) tumors and intraepithelial, microinvasive, invasive, and metastatic carcinomas. Am J Surg Pathol. 1999;23:617-35.
10. Ronnett BM, Kajdacsy-Balla A, Gilks CB, et al. Mucinous borderline ovarian tumors: points of general agreement and persistent controversies regarding nomenclature, diagnostic criteria, and behavior. Hum Pathol. 2004;35:949-60.
11. Yemelyanova AV, Vang R, Judson K, et al. Distinction of primary and metastatic mucinous tumors involving the ovary: analysis of size and laterality data by primary site with reevaluation of an algorithm for tumor classification. Am J Surg Pathol. 2008;32:128-38.
12. Prat J, Ribe A, Gallardo A. Hereditary ovarian cancer. Hum Pathol. 2005;36:861-70.
13. Antoniou A, Pharoah PD, Narod S, et al. Average risks of breast and ovarian cancer associated with BRCA1 or BRCA2 mutations detected in case series unselected for family history: a combined analysis of 22 studies. Am J Hum Genet. 2003;72:1117-30.
14. Chen S, Parmigiani G. Meta-analysis of BRCA1 and BRCA2 penetrance. J Clin Oncol. 2007;25:1329-33.
15. Boyd J, Sonoda Y, Federici MG, et al. Clinicopathologic features of BRCA-linked and sporadic ovarian cancer. JAMA. 2000;283:2260-5.
16. Rijnsburger AJ, Obdeijn IM, Kaas R, et al. BRCA1-associated breast cancers present differently from BRCA2-associated and familial cases: long-term follow-up of the Dutch MRISC Screening Study. J Clin Oncol. 2010;28:5265-73.
17. Vencken PM, Kriege M, Hoogwerf D, et al. Chemosensitivity and outcome of BRCA1- and BRCA2-associated ovarian cancer patients after first-line chemotherapy compared with sporadic ovarian cancer patients. Ann Oncol. 2011;22:1346-52.
18. Vencken PM, Reitsma W, Kriege M, et al. Outcome of BRCA1- compared with BRCA2-associated ovarian cancer: a nationwide study in the Netherlands. Ann Oncol. 2013;24:2036-42.
19. Reitsma W, de Bock GH, Oosterwijk JC, et al. Clinicopathologic characteristics and survival in BRCA1- and BRCA2-related adnexal cancer: are they different? Int J Gynecol Cancer. 2012;22:579-85.
20. Lakhani SR, Manek S, Penault-Llorca F, et al. Pathology of ovarian cancers in BRCA1 and BRCA2 carriers. Clin Cancer Res. 2004;10:2473-81.
21. Chui MH, Ryan P, Radigan J, et al. The histomorphology of Lynch syndrome-associated ovarian carcinomas: toward a subtype-specific screening strategy. Am J Surg Pathol. 2014;38:1173-81.
22. Crispens MA. Endometrial and ovarian cancer in lynch syndrome. Clin Colon Rectal Surg. 2012;25:97-102.
23. Lu KH, Daniels M. Endometrial and ovarian cancer in women with Lynch syndrome: update in screening and prevention. Fam Cancer. 2013;12:273-7.
24. Nakamura K, Banno K, Yanokura M, et al. Features of ovarian cancer in Lynch syndrome (Review). Mol Clin Oncol. 2014;2:909-16.
25. Bonadona V, Bonaiti B, Olschwang S, et al. Cancer risks associated with germline mutations in MLH1, MSH2, and MSH6 genes in Lynch syndrome. JAMA. 2011;305:2304-10.
26. Engel C, Loeffler M, Steinke V, et al. Risks of less common cancers in proven mutation carriers with Lynch syndrome. J Clin Oncol. 2012;30:4409-15.
27. Watson P, Vasen HF, Mecklin JP, et al. The risk of extra-colonic, extra-endometrial cancer in the Lynch syndrome. Int J Cancer. 2008;123:444-9.
28. Rebbeck TR, Kauff ND, Domchek SM. Meta-analysis of risk reduction estimates associated with risk-reducing salpingo-oophorectomy in BRCA1 or BRCA2 mutation carriers. J Natl Cancer Inst. 2009;101:80-7.
29. National Comprehensive Cancer Network. NCCN flash updates. NCCN guidelines updated. Version1.2015. www.nccn.org/about/news/ebulletin/ebulletindetail.aspx?ebulletinid=535. Accessed January 28, 2016.
30. Seidman JD, Elsayed AM, Sobin LH, Tavassoli FA. Association of mucinous tumors of the ovary and appendix. A clinicopathologic study of 25 cases. Am J Surg Pathol. 1993;17:22-34.
31. Koonings PP, Campbell K, Mishell DR, Jr, Grimes DA. Relative frequency of primary ovarian neoplasms: a 10-year review. Obstet Gynecol. 1989;74:921-6.
32. Seidman JD, Horkayne-Szakaly I, Haiba M, et al. The histologic type and stage distribution of ovarian carcinomas of surface epithelial origin. Int J Gynecol Pathol. 2004;23:41-4.
33. Seidman JD, Kurman RJ, Ronnett BM. Primary and metastatic mucinous adenocarcinomas in the ovaries: incidence in routine practice with a new approach to improve intraoperative diagnosis. Am J Surg Pathol. 2003;27:985-93.
34. Lee KR, Young RH. The distinction between primary and metastatic mucinous carcinomas of the ovary: gross and histologic findings in 50 cases. Am J Surg Pathol. 2003;27:281-92.
35. Lewis MR, Deavers MT, Silva EG, Malpica A. Ovarian involvement by metastatic colorectal adenocarcinoma: still a diagnostic challenge. Am J Surg Pathol. 2006;30:177-84.
36. Groen RS, Gershenson DM, Fader AN. Updates and emerging therapies for rare epithelial ovarian cancers: one size no longer fits all. Gynecol Oncol. 2015;136:373-83.
37. Kehoe S, Hook J, Nankivell M, et al. Primary chemotherapy versus primary surgery for newly diagnosed advanced ovarian cancer (CHORUS): an open-label, randomised, controlled, non-inferiority trial. Lancet. 2015;386:249-57.
38. Hirschowitz L, Ganesan R, McCluggage WG. WT1, p53 and hormone receptor expression in uterine serous carcinoma. Histopathology. 2009;55:478-82.
39. O’Neill CJ, McBride HA, Connolly LE, et al. High-grade ovarian serous carcinoma exhibits significantly higher p16 expression than low-grade serous carcinoma and serous borderline tumour. Histopathology. 2007;50:773-9.
40. Vang R, Gown AM, Zhao C, et al. Ovarian mucinous tumors associated with mature cystic teratomas: morphologic and immunohistochemical analysis identifies a subset of potential teratomatous origin that shares features of lower gastrointestinal tract mucinous tumors more commonly encountered as secondary tumors in the ovary. Am J Surg Pathol. 2007;31:854-69.
41. Ali RH, Kalloger SE, Santos JL, et al. Stage II to IV low-grade serous carcinoma of the ovary is associated with a poor prognosis: a clinicopathologic study of 32 patients from a population-based tumor registry. Int J Gynecol Pathol. 2013;32:529-35.
42. Malpica A, Deavers MT, Lu K, et al. Grading ovarian serous carcinoma using a two-tier system. Am J Surg Pathol. 2004;28:496-504.
43. Vang R, Shih IeM, Kurman RJ. Ovarian low-grade and high-grade serous carcinoma: pathogenesis, clinicopathologic and molecular biologic features, and diagnostic problems. Adv Anat Pathol. 2009;16:267-82.
44. Malpica A, Deavers MT, Tornos C, et al. Interobserver and intraobserver variability of a two-tier system for grading ovarian serous carcinoma. Am J Surg Pathol. 2007;31:1168-74.
45. Herrington CS, McCluggage WG. The emerging role of the distal fallopian tube and p53 in pelvic serous carcinogenesis. J Pathol. 2010;220:5-6.
46. Przybycin CG, Kurman RJ, Ronnett BM, et al. Are all pelvic (nonuterine) serous carcinomas of tubal origin? Am J Surg Pathol. 2010;34:1407-16.
47. Zeppernick F, Meinhold-Heerlein I, Shih IeM. Precursors of ovarian cancer in the fallopian tube: serous tubal intraepithelial carcinoma--an update. J Obstet Gynaecol Res. 2015;41:6-11.
48. Kuhn E, Kurman RJ, Vang R, et al. TP53 mutations in serous tubal intraepithelial carcinoma and concurrent pelvic high-grade serous carcinoma--evidence supporting the clonal relationship of the two lesions. J Pathol. 2012;226:421-6.
49. Vang R, Visvanathan K, Gross A, et al. Validation of an algorithm for the diagnosis of serous tubal intraepithelial carcinoma. Int J Gynecol Pathol. 2012;31:243-53.
50. Crum CP, Drapkin R, Miron A, et al. The distal fallopian tube: a new model for pelvic serous carcinogenesis. Curr Opin Obstet Gynecol. 2007;19:3-9.
51. Lee Y, Miron A, Drapkin R, et al. A candidate precursor to serous carcinoma that originates in the distal fallopian tube. J Pathol. 2007;211:26-35.
52. Howitt BE, Hanamornroongruang S, Lin DI, et al. Evidence for a dualistic model of high-grade serous carcinoma: BRCA mutation status, histology, and tubal intraepithelial carcinoma. Am J Surg Pathol. 2015;39:287-93.
53. Malpica A, Deavers MT. Ovarian low-grade serous carcinoma involving the cervix mimicking a cervical primary. Int J Gynecol Pathol. 2011;30:613-9.
54. Laury AR, Hornick JL, Perets R, et al. PAX8 reliably distinguishes ovarian serous tumors from malignant mesothelioma. Am J Surg Pathol. 2010;34:627-35.
55. Ordonez NG. Value of PAX8, PAX2, claudin-4, and h-caldesmon immunostaining in distinguishing peritoneal epithelioid mesotheliomas from serous carcinomas. Mod Pathol. 2013;26:553-62.
56. Pu RT, Pang Y, Michael CW. Utility of WT-1, p63, MOC31, mesothelin, and cytokeratin (K903 and CK5/6) immunostains in differentiating adenocarcinoma, squamous cell carcinoma, and malignant mesothelioma in effusions. Diagn Cytopathol. 2008;36:20-5.
57. Phillips V, Kelly P, McCluggage WG. Increased p16 expression in high-grade serous and undifferentiated carcinoma compared with other morphologic types of ovarian carcinoma. Int J Gynecol Pathol. 2009;28:179-86.
58. Vang R, Gown AM, Farinola M, et al. p16 expression in primary ovarian mucinous and endometrioid tumors and metastatic adenocarcinomas in the ovary: utility for identification of metastatic HPV-related endocervical adenocarcinomas. Am J Surg Pathol. 2007;31:653-63.
59. Ahmed AA, Etemadmoghadam D, Temple J, et al. Driver mutations in TP53 are ubiquitous in high grade serous carcinoma of the ovary. J Pathol. 2010;221:49-56.
60. Ho CL, Kurman RJ, Dehari R, et al. Mutations of BRAF and KRAS precede the development of ovarian serous borderline tumors. Cancer Res. 2004;64:6915-8.
61. Singer G, Oldt R 3rd, Cohen Y, et al. Mutations in BRAF and KRAS characterize the development of low-grade ovarian serous carcinoma. J Natl Cancer Inst. 2003;95:484-6.
62. Gershenson DM, Sun CC, Iyer RB, et al. Hormonal therapy for recurrent low-grade serous carcinoma of the ovary or peritoneum. Gynecol Oncol. 2012;125:661-6.
63. Tewari D, Java JJ, Salani R, et al. Long-term survival advantage and prognostic factors associated with intraperitoneal chemotherapy treatment in advanced ovarian cancer: a gynecologic oncology group study. J Clin Oncol. 2015;33:1460-6.
64. Houghton O, Connolly LE, McCluggage WG. Morules in endometrioid proliferations of the uterus and ovary consistently express the intestinal transcription factor CDX2. Histopathology. 2008;53:156-65.
65. Chiesa-Vottero AG, Malpica A, Deavers MT, et al. Immunohistochemical overexpression of p16 and p53 in uterine serous carcinoma and ovarian high-grade serous carcinoma. Int J Gynecol Pathol. 2007;26:328-33.
66. Yemelyanova A, Ji H, Shih IeM, et al. Utility of p16 expression for distinction of uterine serous carcinomas from endometrial endometrioid and endocervical adenocarcinomas: immunohistochemical analysis of 201 cases. Am J Surg Pathol. 2009;33:1504-14.
67. McCluggage WG. WT1 is of value in ascertaining the site of origin of serous carcinomas within the female genital tract. Int J Gynecol Pathol. 2004;23:97-9.
68. Tafe LJ, Garg K, Chew I, et al. Endometrial and ovarian carcinomas with undifferentiated components: clinically aggressive and frequently underrecognized neoplasms. Mod Pathol. 2010;23:781-9.
69. Silva EG, Deavers MT, Malpica A. Patterns of low-grade serous carcinoma with emphasis on the nonepithelial-lined spaces pattern of invasion and the disorganized orphan papillae. Int J Gynecol Pathol. 2010;29:507-12.
70. Silva EG, Tornos C, Bailey MA, Morris M. Undifferentiated carcinoma of the ovary. Arch Pathol Lab Med. 1991;115:377-81.
71. Taraif SH, Deavers MT, Malpica A, Silva EG. The significance of neuroendocrine expression in undifferentiated carcinoma of the endometrium. Int J Gynecol Pathol. 2009;28:142-7.
72. Soliman PT, Broaddus RR, Schmeler KM, et al. Women with synchronous primary cancers of the endometrium and ovary: do they have Lynch syndrome? J Clin Oncol. 2005;23:9344-50.
73. Soliman PT, Slomovitz BM, Broaddus RR, et al. Synchronous primary cancers of the endometrium and ovary: a single institution review of 84 cases. Gynecol Oncol. 2004;94:456-62.
74. Storey DJ, Rush R, Stewart M, et al. Endometrioid epithelial ovarian cancer: 20 years of prospectively collected data from a single center. Cancer. 2008;112:2211-20.
75. Catasus L, Bussaglia E, Rodriguez I, et al. Molecular genetic alterations in endometrioid carcinomas of the ovary: similar frequency of beta-catenin abnormalities but lower rate of microsatellite instability and PTEN alterations than in uterine endometrioid carcinomas. Hum Pathol. 2004;35:1360-8.
76. Soslow RA. Histologic subtypes of ovarian carcinoma: an overview. Int J Gynecol Pathol. 2008;27:161-74.
77. Han G, Gilks CB, Leung S, et al. Mixed ovarian epithelial carcinomas with clear cell and serous components are variants of high-grade serous carcinoma: an interobserver correlative and immunohistochemical study of 32 cases. Am J Surg Pathol. 2008;32:955-64.
78. Silva EG, Young RH. Endometrioid neoplasms with clear cells: a report of 21 cases in which the alteration is not of typical secretory type. Am J Surg Pathol. 2007;31:1203-8.
79. Fadare O, Zhao C, Khabele D, et al. Comparative analysis of napsin A, alpha-methylacyl-coenzyme A racemase (AMACR, P504S), and hepatocyte nuclear factor 1 beta as diagnostic markers of ovarian clear cell carcinoma: an immunohistochemical study of 279 ovarian tumours. Pathology. 2015;47:105-11.
80. Iwamoto M, Nakatani Y, Fugo K, et al. Napsin A is frequently expressed in clear cell carcinoma of the ovary and endometrium. Hum Pathol. 2015;46:957-62.
81. O’Keefe M, Longacre TA, Kong CS, Folkins AK. Napsin A has utility in the diagnosis of clear cell carcinoma in the ovary but may be less valuable in the endometrium. Mod Pathol. 2015;28:300A.
82. Cuff J, Esheba GE, Soslow RA, Longacre TA. HNF-1 beta expression in ovarian clear cell carcinoma. Mod Pathol. 2008;21:201A.
83. Kato N, Toukairin M, Asanuma I, Motoyama T. Immunocytochemistry for hepatocyte nuclear factor-1beta (HNF-1beta): a marker for ovarian clear cell carcinoma. Diagn Cytopathol. 2007;35:193-7.
84. Jones S, Wang TL, Shih IeM, et al. Frequent mutations of chromatin remodeling gene ARID1A in ovarian clear cell carcinoma. Science. 2010;330:228-31.
85. Sato N, Tsunoda H, Nishida M, et al. Loss of heterozygosity on 10q23.3 and mutation of the tumor suppressor gene PTEN in benign endometrial cyst of the ovary: possible sequence progression from benign endometrial cyst to endometrioid carcinoma and clear cell carcinoma of the ovary. Cancer Res. 2000;60:7052-6.
86. Wiegand KC, Shah SP, Al-Agha OM, et al. ARID1A mutations in endometriosis-associated ovarian carcinomas. N Engl J Med. 2010;363:1532-43.
87. Kurman RJ, Carcangiu ML, Herrington CS, Young RH, editors. WHO classification of tumours of female reproductive organs. Vol 6, ed 4. Geneva, Switzerland: International Agency for Research on Cancer; 2014.
88. Taylor J, McCluggage WG. Ovarian seromucinous carcinoma: report of a series of a newly categorized and uncommon neoplasm. Am J Surg Pathol. 2015;39:983-92.
89. Vang R, Gown AM, Barry TS, et al. Cytokeratins 7 and 20 in primary and secondary mucinous tumors of the ovary: analysis of coordinate immunohistochemical expression profiles and staining distribution in 179 cases. Am J Surg Pathol. 2006;30:1130-9.
90. Vang R, Gown AM, Wu LS, et al. Immunohistochemical expression of CDX2 in primary ovarian mucinous tumors and metastatic mucinous carcinomas involving the ovary: comparison with CK20 and correlation with coordinate expression of CK7. Mod Pathol. 2006;19:1421-8.
91. Gurzu S, Szentirmay Z, Toth E, et al. Serrated pathway adenocarcinomas: molecular and immunohistochemical insights into their recognition. PLoS One. 2013;8:e57699.
92. Ji H, Isacson C, Seidman JD, et al. Cytokeratins 7 and 20, Dpc4, and MUC5AC in the distinction of metastatic mucinous carcinomas in the ovary from primary ovarian mucinous tumors: Dpc4 assists in identifying metastatic pancreatic carcinomas. Int J Gynecol Pathol. 2002;21:391-400.
93. McCluggage WG, Wilkinson N. Metastatic neoplasms involving the ovary: a review with an emphasis on morphological and immunohistochemical features. Histopathology. 2005;47:231-47.
94. Lee KR, Nucci MR. Ovarian mucinous and mixed epithelial carcinomas of mullerian (endocervical-like) type: a clinicopathologic analysis of four cases of an uncommon variant associated with endometriosis. Int J Gynecol Pathol. 2003;22:42-51.
95. Shappell HW, Riopel MA, Smith Sehdev AE, et al. Diagnostic criteria and behavior of ovarian seromucinous (endocervical-type mucinous and mixed cell-type) tumors: atypical proliferative (borderline) tumors, intraepithelial, microinvasive, and invasive carcinomas. Am J Surg Pathol. 2002;26:1529-41.
96. Cuatrecasas M, Erill N, Musulen E, et al. K-ras mutations in nonmucinous ovarian epithelial tumors: a molecular analysis and clinicopathologic study of 144 patients. Cancer. 1998;82:1088-95.
97. Gemignani ML, Schlaerth AC, Bogomolniy F, et al. Role of KRAS and BRAF gene mutations in mucinous ovarian carcinoma. Gynecol Oncol. 2003;90:378-81.
98. Scott M, McCluggage WG. Current concepts in ovarian epithelial tumorigenesis: correlation between morphological and molecular data. Histol Histopathol. 2006;21:81-92.
99. Tabrizi AD, Kalloger SE, Kobel M, et al. Primary ovarian mucinous carcinoma of intestinal type: significance of pattern of invasion and immunohistochemical expression profile in a series of 31 cases. Int J Gynecol Pathol. 2010;29:99-107.
100. Ali RH, Seidman JD, Luk M, et al. Transitional cell carcinoma of the ovary is related to high-grade serous carcinoma and is distinct from malignant Brenner tumor. Int J Gynecol Pathol. 2012;31:499-506.
101. Austin RM, Norris HJ. Malignant Brenner tumor and transitional cell carcinoma of the ovary: a comparison. Int J Gynecol Pathol. 1987;6:29-39.
102. Kommoss F, Kommoss S, Schmidt D, et al. Survival benefit for patients with advanced-stage transitional cell carcinomas vs other subtypes of ovarian carcinoma after chemotherapy with platinum and paclitaxel. Gynecol Oncol. 2005;97:195-9.
103. Cuatrecasas M, Catasus L, Palacios J, Prat J. Transitional cell tumors of the ovary: a comparative clinicopathologic, immunohistochemical, and molecular genetic analysis of Brenner tumors and transitional cell carcinomas. Am J Surg Pathol. 2009;33:556-67.
Late Hepatic Recurrence From Granulosa Cell Tumor: A Case Report
Granulosa cell tumors exhibit late recurrence and rare hepatic metastasis, emphasizing the need for lifelong surveillance in affected patients.