An MRI screening program for individuals at high risk for pancreatic cancer may be effective, according to the results of a short-term study.
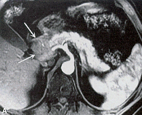
Arterial-phase gadolinium-enhanced MRI showing a pancreatic head mass (arrows)

An MRI screening program for individuals at high risk for pancreatic cancer may be effective, according to the results of a short-term study from researchers at the Karolinska Institute in Stockholm. The results of the study were published in JAMA Surgery.
After a median follow-up of 12.9 months, pancreatic lesions were detected in 40% (16) of the 40 patients who took part in the study. Five of these patients underwent surgery (three for pancreatic ductal adenocarcinoma and two for intraductal papillary mucinous neoplasia, which are both associated with the natural history of familial pancreatic cancer) and 35 remain under surveillance.
Pancreatic cancer is most often diagnosed at a late stage when it is incurable; the 5-year survival rate is less than 20%. It is the fourth leading cause of cancer death in Western countries.
About 10% of patients have a family history of the disease or a related genetic syndrome, according to epidemiological studies. For familial pancreatic cancer, the increased risk is linked to the number of affected family members.
The International Cancer of the Pancreas Screening (CAPS) Consortium has recommended surveillance for those at increased risk since prior research has suggested that early surgery of pancreatic cancer can improve prognosis.
Still, there has not been any consensus reached on clinical surveillance programs, screening tools, and target lesions. According to the study authors, those with a 10-fold relative risk for developing pancreatic cancer have been eligible for screening; CAPS Consortium has suggested broader inclusion criteria-those with a fivefold relative risk.
The average age of the 40 patients enrolled in the study was 49.9 years. Two patients (5%) had five affected relatives, five patients (12.5%) had four, 17 patients (42.5%) had three, 14 patients (35%) had two, and two patients (5%) had one.
Four patients (10%) had a p16 mutation, three patients (7.5%) had a BRCA2 mutation, and one patient (2.5%) had a BRCA1 mutation.
Of the 16 patients who had a detectable lesion by MRI, 14 had an intraductal papillary mucinous neoplasia and two patients had pancreatic ductal adenocarcinoma. One patient had a synchronous intraductal papillary mucinous neoplasia and pancreatic ductal adenocarcinoma.
“The high detection rate of lesions in this study series (40%) is in line with results from previous studies and confirms that high-risk individuals have a higher tendency to develop premalignant precursor lesions,” wrote Marco Del Chiaro, MD, PhD, of the Karolinska Institute, and study coauthors in their discussion.
“An MRI-based protocol for the surveillance of individuals at risk for developing pancreatic cancer seems to detect cancer or premalignant lesions with good accuracy. The exclusive use of MRI can reduce costs, increase availability, and guarantee the safety of the individuals under surveillance compared with protocols that are based on more aggressive methods,” concluded the study authors.
Still, because of the small number of participants in this study, further studies are required to better evaluate the effectiveness of MRI as a screening modality for pancreatic cancer.
In his accompanying commentary to this study, Mark S. Talamonti, MD, of the NorthShore University HealthSystem in Evanston, Illinois, noted that the real challenge is the 90% of patients who have “sporadic cancer cases” with no known risk factors. “In current clinical practice, no biomarkers exist for diagnosing early-stage disease,” he wrote. “There is a clear and unequivocal need for affordable screening strategies based on reliable biomarkers and efficient imaging modalities.”