A 45-year-old man presents with a mass in the right neck. After the biopsy is performed, what is your diagnosis?
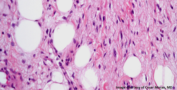
A 45-year-old man presents with a mass in the right neck. According to the pathology slide below, what is your diagnosis?
.PNG?fit=crop&auto=format)
What is your diagnosis?