A 30-year-old man who recently underwent induction chemotherapy for bone marrow transplant is admitted with neutropenia and right lower-quadrant abdominal pain. What is your diagnosis?
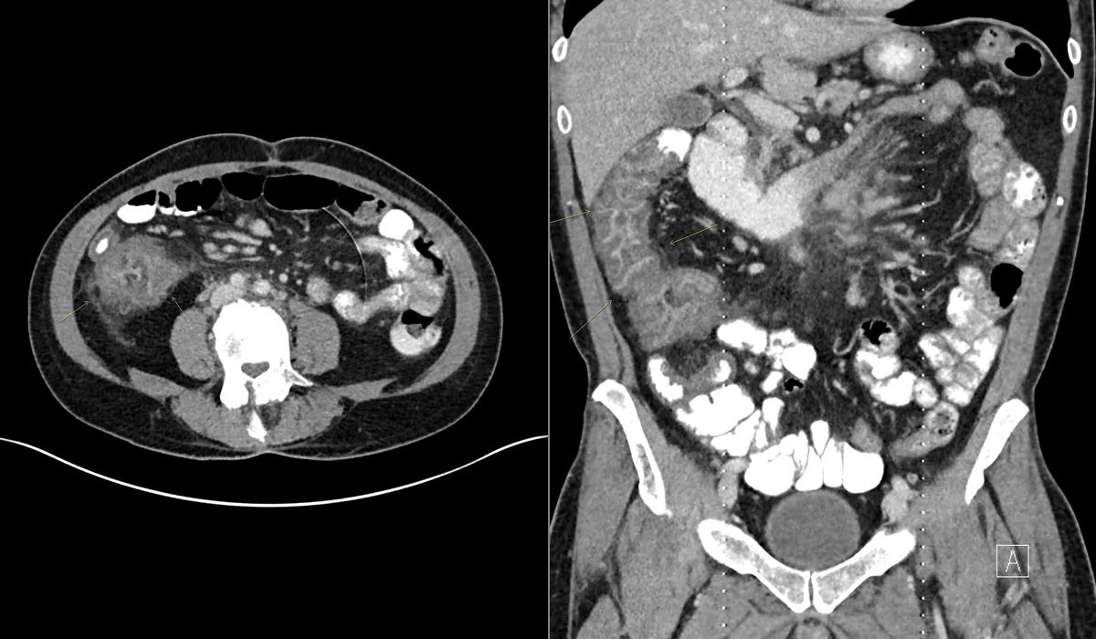
A 30-year-old man who recently underwent induction chemotherapy for bone marrow transplant is admitted with neutropenia and right lower-quadrant abdominal pain. Coronal and axial images from a contrast-enhanced CT scan of the abdomen and pelvis are seen below (white dots and partial circle on images are artifacts).

What is your diagnosis?