Researchers have identified the enzyme PKCζ, which acts as a tumor suppressor in prostate cancer and is part of a pathway that partly controls cell growth and metastasis.
Researchers have identified an enzyme that functions to suppress prostate tumor formation. The laboratories of Maria T. Diaz-Meco, PhD, and Jorge Moscat, PhD, of the Sanford-Burnham Medical Research Institute in La Jolla, California, identified the enzyme PKCζ, which acts as a tumor suppressor and is part of a pathway that partly controls cell growth and metastasis. These results establish PKCζ as a negative regulator of the transcription levels of c-Myc and also regulates the phosphorylation status of c-Myc. The study is published in the Proceedings of the National Academy of Sciences.

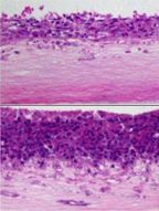
Prostate cancer cells expressing a mutant form of c-Myc that cannot be altered by PKCζ (bottom) are more aggressive and more invasive than prostate cancer cells in which PKCζ is able to keep tabs on c-Myc (top); Source: Sanford-Burnham Medical Research Institute
While previous research had suggested PKCζ could act as a tumor suppressor, there was no direct evidence that this was the case for prostate cancer. Using both cell culture and mouse models, Ji Young Kim, lead author of the paper, also of the Sanford-Burnham Medical Research Institute, and colleagues found that PKCζ can inactivate the oncogene c-Myc, acting as a tumor suppressor.
Using an in vitro system that is physiologically relevant, the team found that the kinase activity of PKCζ is necessary for its tumor suppression functions. A mutant form of PKCζ that has no kinase function results in higher levels of c-Myc suggesting that PKCζ normally functions to regulate c-Myc abundance. The activation of c-Myc has previously been shown to both increase the invasiveness of cancer cells and their proliferation, according to the authors.
To dissect the role of PKCζ in tumor suppression, the researchers created a mouse model with one mutated copy of phosphatase and tensin homolog (PTEN) and a full deletion of both PKCζ genes. This dual deficiency in both PTEN and PKCζ was able to promote invasive prostate carcinoma in the mouse model. PTEN is a known tumor suppressor and one of the most commonly mutated tumor suppressors in cancer.
The levels of c-Myc were increased in the prostates of these double-mutant mice. Higher levels of c-Myc were observed at the “leading edge of [the prostate] glands and in areas where foci were beginning to invade the surrounding stroma,” state the authors, suggesting that higher c-Myc levels in the absence of PKCζ may be important for their invasion of other tissues. Further tissue culture experiments showed that c-Myc does appear to be important for mediating an invasive phenotype when PKCζ is nonfunctional.
Further studies are needed to further dissect the way PKCζ blocks prostate tumor growth and to develop therapeutic approaches that activate PKCζ to potentially inhibit the c-Myc oncogene.