A 37-year-old Lebanese male with no significant past medical history initially presented with an increase in abdominal girth over a few weeks with worsening shortness of breath, nausea, and intermittent vomiting.
Figure 1. Abdomen CT without contrast revealing a hypodense lesion in the left lobe of the liver with moderate ascites.

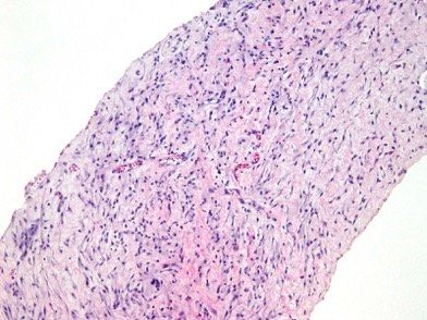
Figure 2. Histologic section of the tissue sample showing myofibroblasts in a myxoid background.

Figure 3. Immunohistochemical stain of the tissue sample with actin positivity.

Inflammatory myofibroblastic tumors are rare soft-tissue neoplasms most often found in the visceral organs of children and young adults.[1] Although first identified in the lung, tumors have been reported in almost all organ systems of the body. Inflammatory myofibroblastic tumors, especially of the abdomen, are extremely rare in adults.[2]
A 37-year-old Lebanese male with no significant past medical history initially presented with an increase in abdominal girth over a few weeks with worsening shortness of breath, nausea, and intermittent vomiting. He denied hematemesis, melena, changes in his urine or stool, weight loss, or a previous history of hepatitis. He has no history of alcohol or illicit drug abuse.
Physical examination was significant for massive abdominal ascites. Initial workup revealed an elevated blood urea nitrogen level of 27, white blood cell count of 13,500, platelet count of 652,000, and creatinine 2.2, and a reduced glomerular filtration rate of 56. Other investigations including serum electrolytes, hemoglobin, liver function tests, and hepatitis screen were all within normal limits.
Ultrasound of the abdomen showed multiple hypoechoic and hyperechoic masses in both lobes of the liver with abdominal ascites and mild left hydronephrosis. Subsequent CT scan of the abdomen (Figure 1) and pelvis showed at least three low-density masses within the left lobe of the liver with peritoneal and omental thickening. Ascitic fluid analysis revealed an exudative picture with serum-ascites albumin gradient less than 1.1, a cell count of 306 with neutrophil predominance at 88%, and no identifiable malignant cells.
The patient was started on cefoxitin for suspicions of spontaneous bacterial peritonitis, but this was eventually discontinued as the fluid cultures were negative. Differential diagnosis at that time included intestinal, testicular, and hepatic malignancy. Gastrointestinal and testicular lesions were excluded through negative esophagogastroduodenoscopy, colonoscopy, and ultrasound of scrotum. A diagnostic laparoscopy showed numerous scattered nodules over the peritoneal surface and a 4-cm, reddish-yellow mass over the anterior surface of the left lobe of the liver.
Biopsies of the peritoneal and hepatic nodules and omentum confirmed the diagnosis of inflammatory myofibroblastic tumor characterized by spindled myofibroblasts in a myxoid background and inflammatory infiltrate composed of lymphocytes, eosinophils and mast cells (Figure 2). The immunohistochemical stain was diffusely positive for actin (Figure 3) and focally positive for desmin. The immunohistochemical stains for S100, ALK-1, EMA, CAM5.2, and AE1/AE3 were negative.
Patient received symptomatic treatment with fluid restriction and diuretics. Although surgery is the definitive treatment, a decision was made to closely follow the progression of the tumor given the extent of the disease with no further intervention.
From classification to diagnosis to treatment, the ambiguous nature of inflammatory myofibroblastic tumors makes them challenging to manage. There is much debate about the true nature of these tumors.[1] Although the histologic morphology reflects a benign inflammatory picture, its aggressive behavior as seen in our patient with features of metastatic disease and exudative ascites at presentation is unique. Standard of therapy is surgery despite high rates of local recurrence. Several studies have reported success with corticosteroids, non-steroidal inflammatory agents, and systemic chemotherapy.[2] As more and more cases are uncovered, the variability in the behavior of these tumors prompts clinicians to tailor therapy on an individual basis.
1. Gleason BC, Hornick JL. Inflammatory myofibroblastic tumours: where are we now? J Clin Pathol. 2008;61:428–437.
2. Dulskas A, Klivickas A, Kilius A, et al. Multiple malignant inflammatory myofibroblastic tumors of the jejunum: A case report and literature review. Oncol Lett. 2016;11:1586–1588.
Sarcoma Awareness Month 2023 with Brian Van Tine, MD, PhD
August 1st 2023Brian Van Tine, MD, PhD, speaks about several agents and combination regimens that are currently under investigation in the sarcoma space, and potential next steps in research including immunotherapies and vaccine-based treatments.