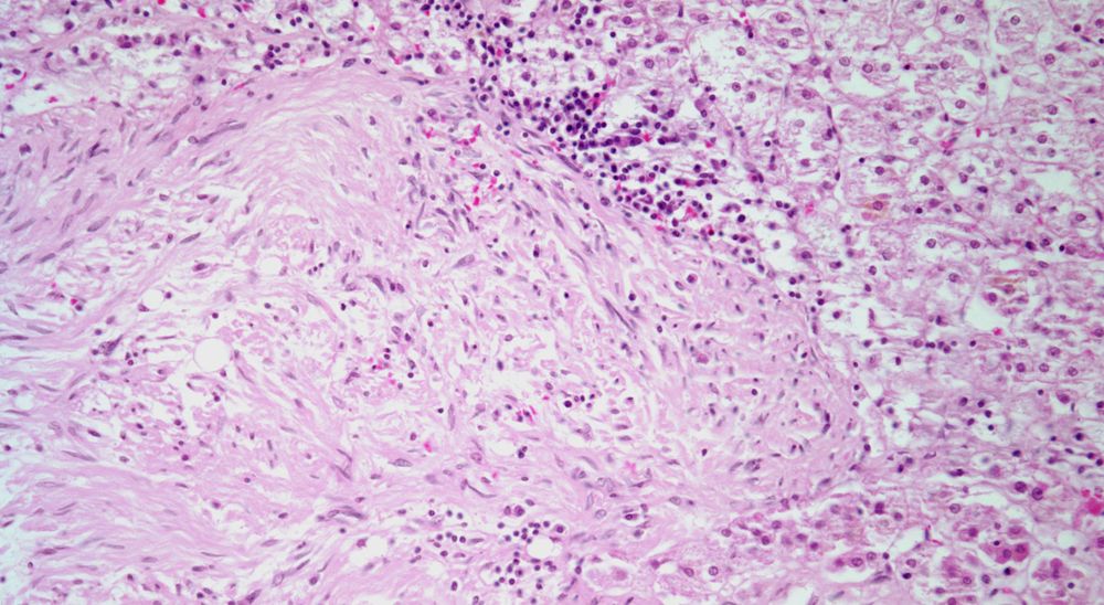
A 47-year-old woman presents with a nodule of the right adrenal gland, and a biopsy is obtained. What is your diagnosis?
A 47-year-old woman presents with a nodule of the right adrenal gland, and a biopsy is obtained.

Based on the image shown, what is your diagnosis?