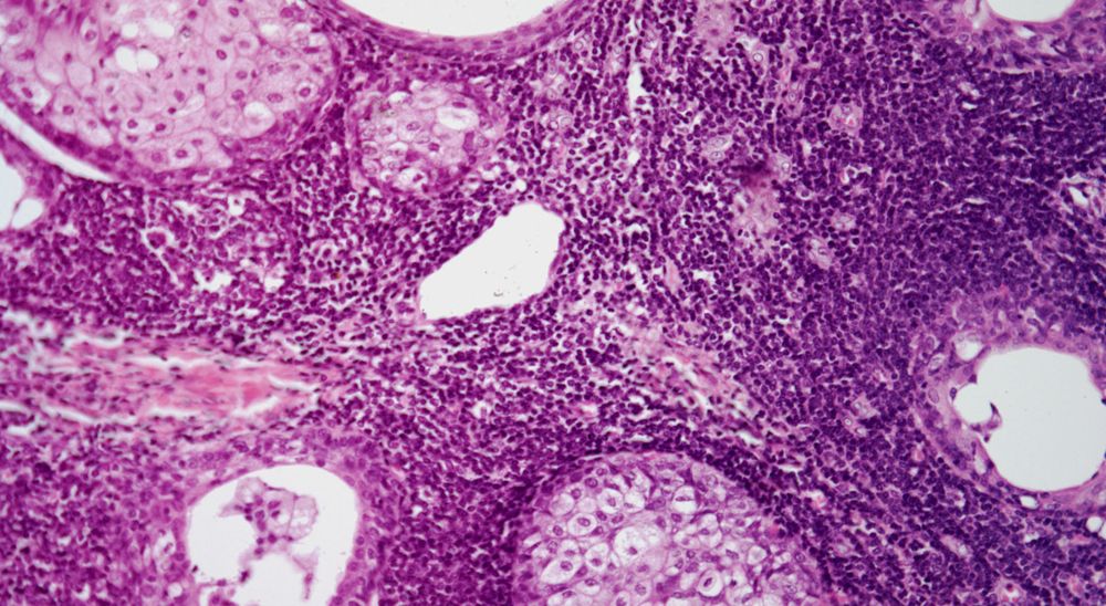
A 42-year-old woman presents with a lesion in the parotid gland, and a biopsy is obtained. What is your diagnosis?
A 42-year-old woman presents with a lesion in the parotid gland, and a biopsy is obtained.

Based on the image shown, what is your diagnosis?