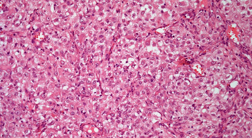
A 53-year old woman presents with multiple peritoneal nodules, and a biopsy is obtained. What is your diagnosis?
A 53-year old woman presents with multiple peritoneal nodules, and a biopsy is obtained.

Based on the image shown, what is your diagnosis?