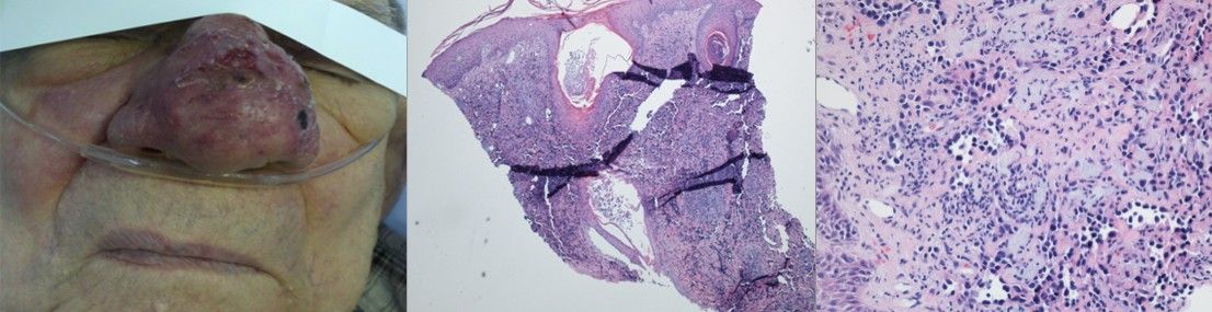
A 90-year-old man presented with a 6-month history of swelling and redness of his nose. He had persistent erythematous macules, plaques, and partially confluent nodules with irregular borders developing on his nose over the past 6-month period. What is your diagnosis?
A 90-year-old man presented with a 6-month history of swelling and redness of his nose. He had persistent erythematous macules, plaques, and partially confluent nodules with irregular borders developing on his nose over the past 6-month period. He was initially seen by his dermatologist and treated with antibiotics and steroids, but with no major improvement. Physical examination revealed large, infiltrative, edematous, erythematous plaques and rare nodules, with superficial telangiectasia, but was negative for pathologic lymphadenopathy or organomegaly. Routine laboratory analysis was normal. A punch biopsy of the nose lesion was performed, revealing atypical proliferative cells infiltrating the skin in many areas, with a poorly vasoformative pattern. Immunohistochemical stain was positive for CD31.

What is your diagnosis?
This study presents a male breast cancer case with a germline BRCA2 mutation and discusses the epidemiologic, pathologic, and clinical characteristics along with treatment and follow-up recommendations in view of our recent understanding of the disease.
Oncology Peer Review On-The-Go: COVID-19, Cancer, and the Potential of mRNA Vaccines
March 30th 2021Mehmet Sitki Copur, MD, discussed his article in the Journal ONCOLOGY® focusing on COVID-19, messenger RNA vaccines, and the excitement surrounding its integration into the future of cancer treatment.
ABSTRACT: Breast metastasis from extramammary malignancy is rare, with a reported incidence rate of 0.4% to 1.3% in the published literature. The primary malignancies that most commonly metastasize to the breast are leukemia, lymphoma, and malignant melanoma. Here, we report a very rare case of metastatic EGFR-mutated non–small cell lung cancer (NSCLC) in the breast detected by screening mammography. The patient had initially been diagnosed with a clinical stage IIIA NSCLC and had been treated with neoadjuvant chemoradiation followed by curative-intent surgery. Several interesting aspects of the case, along with a discussion of evolving adjuvant and frontline metastatic management options in EGFR-mutated NSCLC, will be presented.
Locally Advanced Gastrointestinal Stromal Tumor in a 33-Year-Old Woman Seeking to Conceive
ABSTRACT Gastrointestinal stromal tumors (GISTs) are rare neoplasms of the gastrointestinal tract. They commonly present with nonspecific symptoms and thus are often discovered incidentally. They are best identified by CT scan and most stain positive for CD117 (C-Kit), CD34, and/or DOG-1. Several risk stratification classification systems have been developed based on tumor size, mitotic rate, location, and perforation. Traditional chemotherapy and radiation therapy have been very ineffective, making surgery the mainstay of treatment. The discovery of mutations associated with these tumors has revolutionized the treatment approach. Imatinib mesylate, a selective tyrosine kinase receptor inhibitor, used as adjuvant or neoadjuvant therapy, has greatly improved the morbidity and mortality associated with GISTs. As the survival of patients has increased with the long-term use of targeted therapies, quality-of-life issues now have become much more relevant and have come to the forefront of care. We present a young woman who was successfully treated for GIST but now faces associated long-term adverse effects of imatinib, including the challenge of preserving fertility and the potential for childbearing.