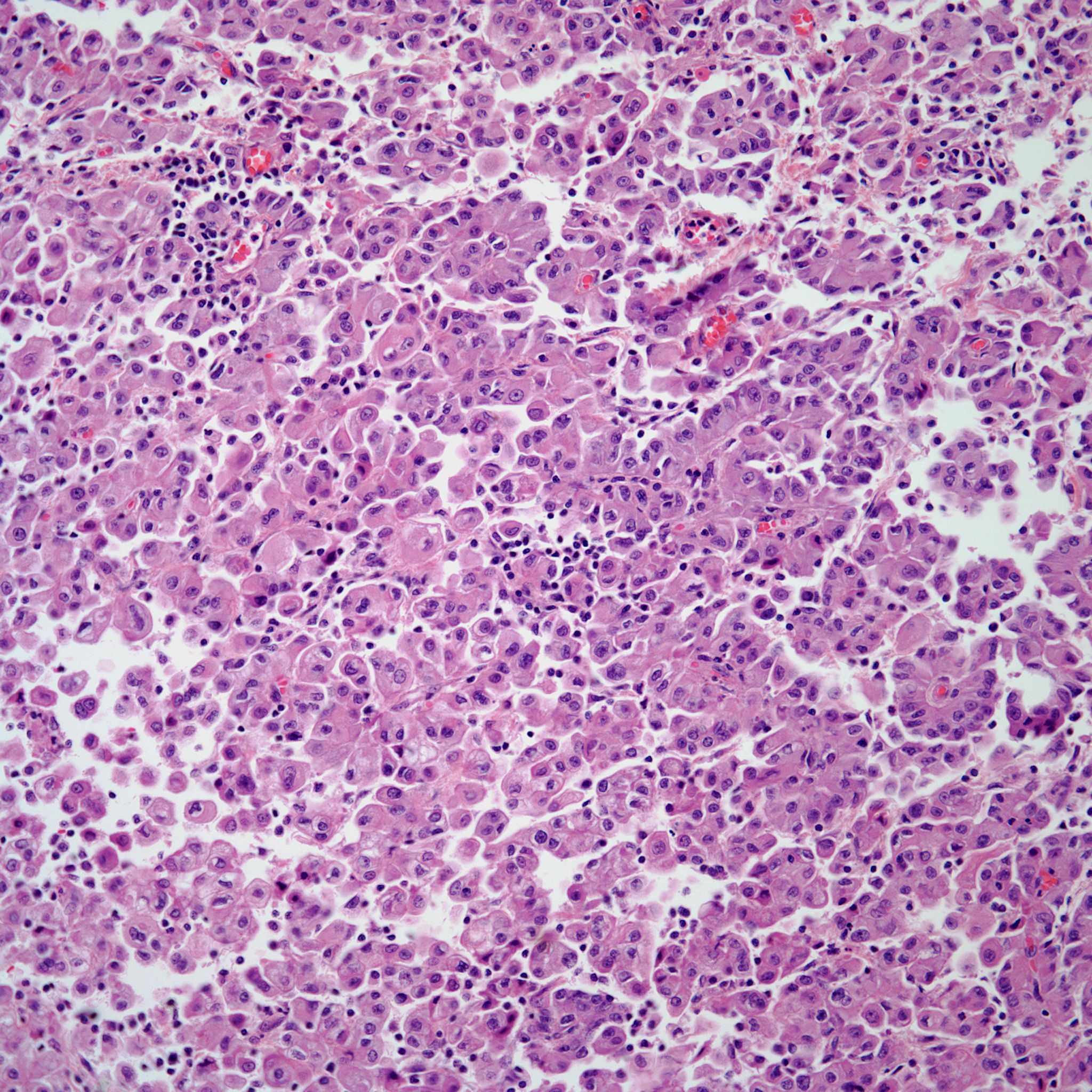
A 58-year-old man presents with a cough, dyspnea, and chest pain. Chest imaging shows the presence of pleural effusion, and a biopsy is obtained. What is your diagnosis?
A 58-year-old man presents with a cough, dyspnea, and chest pain. Chest imaging shows the presence of pleural effusion, and a biopsy is obtained.

Based on the image shown, what is your diagnosis?