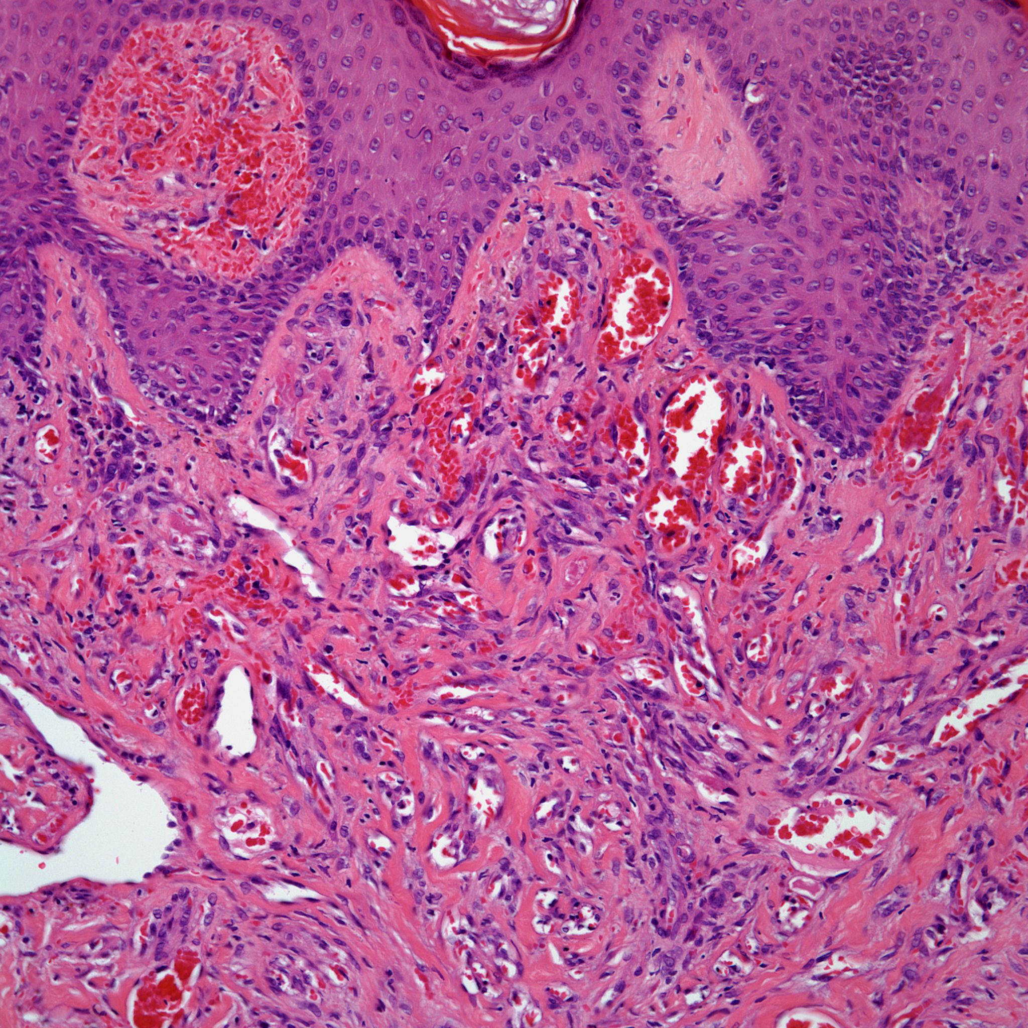
A 58-year-old man presents with a history of several purpuric nodules on the right leg and foot. What is your diagnosis?
A 58-year-old man presents with a history of several purpuric nodules on the right leg and foot.

Based on the image shown, what is your diagnosis?