A 43-year-old woman presents with a lesion in the right nipple. After further evaluation, a biopsy is performed. What is your diagnosis?
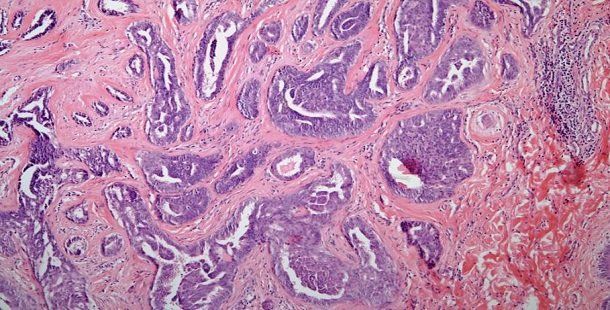
A 43-year-old woman presents with a lesion in the right nipple. After further evaluation, a biopsy is performed. According to the histopathology image below, what is your diagnosis?

What is your diagnosis?