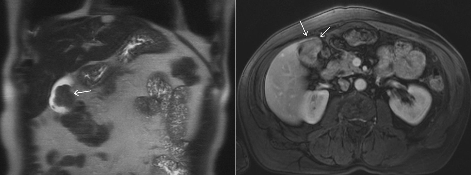
A 60-year-old woman presents with vague abdominal pain in the right upper quadrant. An ultrasound reveals a gallbladder abnormality. Based on the images from the abdomen MRI, what is the diagnosis?
A 60-year-old woman presents with vague abdominal pain in the right upper quadrant. An ultrasound reveals a gallbladder abnormality. Abdomen magnetic resonance imaging (MRI) from this patient is shown below (coronal T2-weighted and axial postcontrast T1-weighted), with the abnormality depicted with arrows.

What is the diagnosis?