A meta-analysis study of 3784 clinical trial patients from five clinical trials taking bevacizumab for breast cancer published in the Journal of Clinical Oncology has found that although the incidence for significant heart failure is low, patients have an increased risk of developing significant heart failure.
A meta-analysis study of 3784 clinical trial patients from five clinical trials taking bevacizumab for breast cancer published in the Journal of Clinical Oncology (DOI: 10.1200/JCO.2010.31.9129) has found that although the incidence for significant heart failure is low, patients have an increased risk of developing significant heart failure.

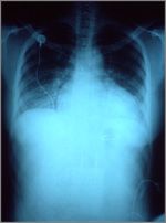
The enlarged cardiac silhouette on this AP x-ray is due to congestive heart failure. Fluid has accumulated in the lungs in what is known as pulmonary congestion.
The study was first published online in January, a few weeks after the announcement by the FDA that it planned to take off the breast cancer label for Avastin because four new trials in women with HER-2 negative metastatic breast cancer showed that the drug did not prolong overall survival and the potentially dangerous side effects outweighed any potential benefit of disease-slowing. The FDA has since granted Roche a two-day hearing on June 28th and 29th in front of the FDA Oncological Drugs Advisory Committee, the same committee that voted 12 to 1 last year for removal of the breast cancer label. When Roche petitioned for a new hearing, it requested that breast cancer experts be part of the panel, which the FDA has denied. If the label is finally removed, it would not prevent doctors from prescribing the drug for breast cancer. It will, however, make it easy for health insurance companies to deny coverage and will prevent Roche from promoting bevacizumab for breast cancer.
The meta-analysis results
The study researchers, from Dana Farber Cancer Institute, found that the overall incidence of congestive heart failure (CHF) was 1.6% vs. 0.4% for patients receiving Avastin compared to the placebo-treated group. This equated to an overall relative risk of developing CHF of 4.74 (P=0.001) on bevacizumab compared to patients who did not take the medication. No statistically significant difference was seen between patients taking high or low dose bevacizumab, or those taking concomitant chemotherapy. However, these results should be taken with caution as these subgroups had limited sample sizes.
The Study’s Caveats
Although the study included a large patient cohort, the data used was extracted from published or presented clinical trial results. Therefore, individual patient information including any pre-existing risk factors for CHF development, death, or timing of CHF was not available. Particularly, information on prior exposure to cardiotoxic agents in the adjuvant or metastatic setting that may substantially increase risk of CHF was missing.
Currently, there is no data on the risk of cardiotoxicity in the adjuvant setting for bevacizumab among breast cancer patients. The authors point out that final data on cardiotoxicity of bevacizumab will not be available until the completion of several ongoing, randomized adjuvant trials, ECOG 5103 and BETH, and should provide extensive additional data on the role of bevacizumab and development of heart conditions.
As the accompanying editorial highlights (DOI:10.1200/JCO.2010.32.9060) heart failure is a complex disease that manifests itself in many different symptoms. A consistent and knowledgeable definition of heart failure is necessary in order to pool patients from different trials that assess heart failure by different conditions. In assessing the details of the 5 clinical trial used for the study, the editorial authors point out discrepancies in the way heart failure was classified.
Need for better data of cardiovascular risk with bevacizumab
The study is a step in the right direction, but one problem among clinical trials is the lack of data on incidence of low-grade CHF, considered to be asymptomatic, but which can lead to symptomatic heart failure at a rate of 9.7% per year. The authors point out that this risk is likely to be greatest in earlier-stage breast cancer because the safety of adjuvant bevacizumab exposure is still unknown and the only data is initial cardiac assessment of greater than 1 year after finishing adjuvant treatment, which shows no delayed cardiac events.
Cardiac toxicity is coming to the forefront of significant complications arising in treated oncology patients. Chemotherapy anthracyclines can cause irreversible myocardial damage while trastuzumab, a monoclonal antibody against the ErbB2 receptor has been shown to cause reversible toxicity. As the editorial authors emphasize, the current JCO study should be interpreted with caution. What we really need are randomized, rigorous, large-scale studies to better determine whether bevacizumab breast cancer patients are truly at risk for CHF or if the risk manifests itself only with bevacizumab use after initial treatment with anthracyclines.