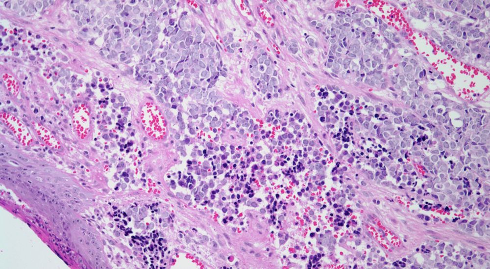
A 56-year-old woman presents with a skin mass on her right leg, and a biopsy is obtained. What is your diagnosis?
A 56-year-old woman presents with a skin mass on her right leg, and a biopsy is obtained.

Based on the image shown, what is your diagnosis?