About 9% of pancreatic cancer cases appear to be familial, and the risk of cancer in relatives of these patients does not appear limited to the pancreas.
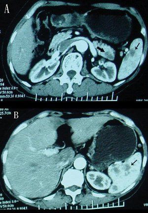
CT scans of the pancreas demonstrating a mass in the pancreatic tail and metastases in the spleen; source: Rong Y, Lou W, Jin D, Wikimedia Commons

About 9% of pancreatic cancer cases appear to be familial, and the risk of cancer in relatives of these patients does not appear limited to the pancreas, according to a new study looking at the clinicopathologic features of familial and sporadic pancreatic malignancy.
Once pancreatic cancer is diagnosed, prognoses tend to be very poor. It is believed that most pancreatic malignancies develop from tiny ductal lesions known as pancreatic intraepithelial neoplasia. “Recent studies estimate that a period of 10 to 20 years is required from the time of an initiating mutation to the establishment of advanced disease, suggesting a prolonged period during which intervention may be possible,” wrote study authors led by Jeremy L. Humphris, MBBS, of the Garvan Institute of Medical Research in Darlinghurst, Australia. Because screening for those initial stages of the malignancy is not deemed possible now (low incidence, lack of a good screening test), finding high-risk individuals such as those with inherited disposition could be a useful strategy.
The new study examined clinicopathologic factors and outcome data from 766 patients with pancreatic ductal adenocarcinoma. The prevalence of familial pancreatic cancer, defined as patients with at least one affected first-degree relative, was 8.9% (68 patients). Results were published online ahead of print on October 14 in Cancer.
Both age at diagnosis and gender were similar in the familial and sporadic cancer groups (65.8 years and 66 years; P = .8952). There was, however, a marked difference in age at diagnosis within parent-child pairs who both were diagnosed with pancreatic cancer. Forty of the 68 familial cases were members of such a pair, and age at diagnosis could be confirmed in parent and child in 28 of those cases; the mean age of the parent at diagnosis was 72.9 years, compared with 60.6 years in the child (P < .0001). The age at diagnosis was more than 5 years younger in 71.4% of cases.
Median survival was similar between the groups, in both resected patients (19.8 months for familial cases vs 17.4 months for sporadic; P = .1433) and non-resected patients (7.2 months vs 6.8 months; P = .6114).
Patients with familial disease were more likely to have first-degree relatives affected by an extrapancreatic malignancy (42.6% vs 21.2%; P < .0001). The most common such malignancies were melanoma and endometrial cancer. Those with sporadic cancer were more likely to be active smokers and had higher cumulative tobacco exposure, and also had fewer precursor lesions than familial cases.
“The occurrence of multiple primary malignancies in familial pancreatic cancer kindreds is suggestive of an underlying genetic predisposition, with variable penetrance, interaction with other modifier alleles, and gene-environment factors,” the authors wrote. “Understanding these complex phenotypes is important for the discovery of novel susceptibility loci, particularly at a time when advances in genomic sequencing have enabled the generation of large numbers of cancer genomes.”