A new study found substantial diagnostic variability from pathologists when analyzing a single breast biopsy slide. DCIS and benign lesions with atypia tended to be “overinterpreted,” meaning the risk of the disease was overestimated.
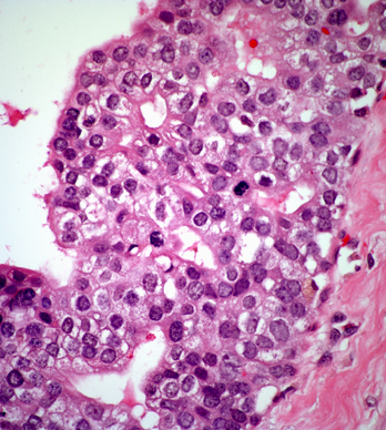
DCIS showing cellular atypia and mitotic activity

A new study found substantial diagnostic variability from pathologists when analyzing a single breast biopsy slide. Ductal carcinoma in situ (DCIS) and benign lesions with atypia tended to be “overinterpreted,” meaning the risk of the disease was overestimated.
The new study involved an analysis of results from the B-Path (Breast Pathology) Study. “The B-Path Study and others have reported high agreement for slides interpreted as invasive breast cancer or benign cases without atypia but much lower for those interpreted as DCIS or atypia,” wrote study authors led by Joann G. Elmore, MD, MPH, of the University of Washington in Seattle.
The new analysis took B-Path results and applied them to population-adjusted estimates, which the authors wrote “provides more clinically relevant estimates of accuracy than previously reported unadjusted estimates.” The results were published in Annals of Internal Medicine.
In total, the study covered 6,900 total interpretations from 240 distinct cases; it involved 115 practicing pathologists. A single slide from a biopsy was used to estimate how many diagnoses would be verified by a reference group of three pathologists.
Overall, when a single slide was used to represent a breast biopsy, the pathologists’ interpretation would be confirmed 92.3% of the time; 4.6% would be overinterpreted, and 3.2% would be underinterpreted.
For invasive breast cancer diagnoses, verification was found to be highly probable. The diagnostic agreement just for this group was 97.7%. Most women in the United States who undergo a breast biopsy will receive a diagnosis of benign without atypia-for these women as well, the diagnostic agreement was high, at 97.1%, with 2.1% interpreted as a higher category of atypia and fewer than 1% interpreted as either DCIS or invasive breast cancer.
In contrast, the majority of diagnoses of atypia on a single slide would be overinterpretations by the pathologist. The reference panel would interpret 53.6% of these as benign without atypia, and 8.6% of them as DCIS. This disagreement remained high whether or not the pathologist considered the diagnosis borderline or asked for a second opinion.
For DCIS diagnosis from the single slide as well, disagreement was high. The reference panel would interpret 9.5% of these as benign without atypia, 9% as atypia, and 11.8% as invasive breast cancer.
In an accompanying editorial, Alexander Borowsky, MD, of the University of California, Davis, and Laura Esserman, MD, of the UCSF Medical Center, wrote that “diagnostic uncertainty implies a need to revise our classification of proliferative lesions to minimize confusion, more appropriately reflect risk, communicate uncertainty, and minimize unnecessary treatment.”