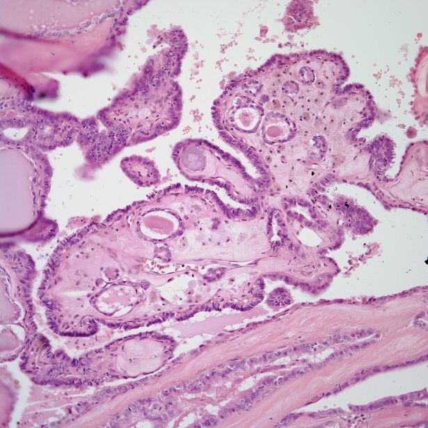
A 42-year-old man notes feeling a lump in the anterior part of his neck. Imaging detects a mass in the thyroid gland. What is your diagnosis?
A 42-year-old man notes feeling a lump in the anterior part of his neck. Imaging detects a mass in the thyroid gland.

Based on the image shown, what is your diagnosis?