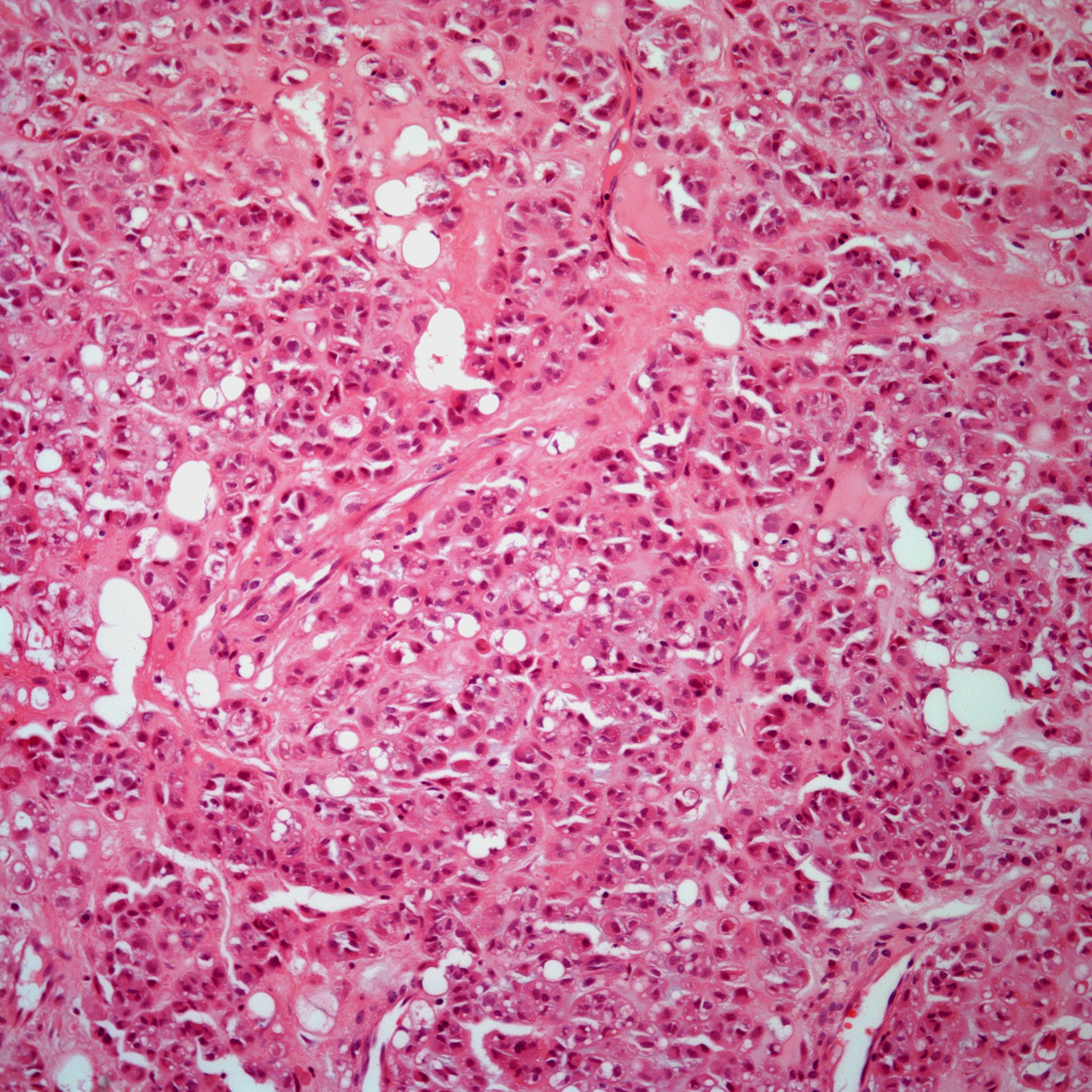
A 45-year-old man presents with a movable, mildly painful mass on the right side of his back, which he noticed a couple of weeks prior to presentation. A biopsy is obtained. What is your diagnosis?
A 45-year-old man presents with a tumoral mass on the right side of his back. He noticed the mass a couple of weeks ago; it is movable and not very painful. A biopsy of the mass is obtained.

Based on the image shown, what is your diagnosis?