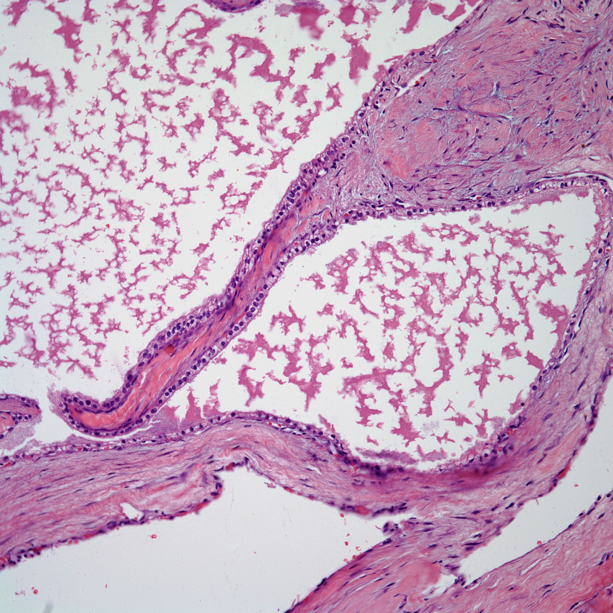
A 68-year-old woman presents with presents with a mass in the tail of the pancreas. What is your diagnosis?
A 68-year-old woman presents with abdominal pain. Imaging shows the presence of a mass in the tail of the pancreas. Based on the image show, what is your diagnosis?

Based on the image shown, what is your diagnosis?