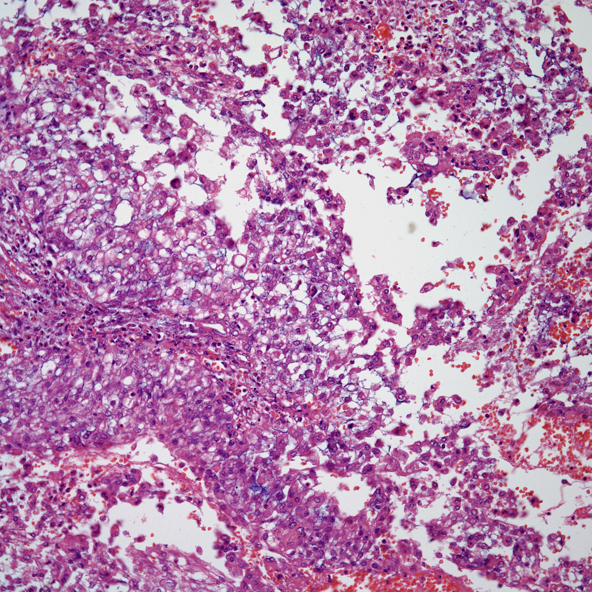
A 62-year-old man presents with back pain. Diagnostic imaging shows a sacral mass. What is your diagnosis?
A 62-year-old man presents with back pain of several weeks duration. Diagnostic imaging showed the presence of a sacral mass. Surgical biopsy of the mass is performed.

Based on the image shown, what is your diagnosis?