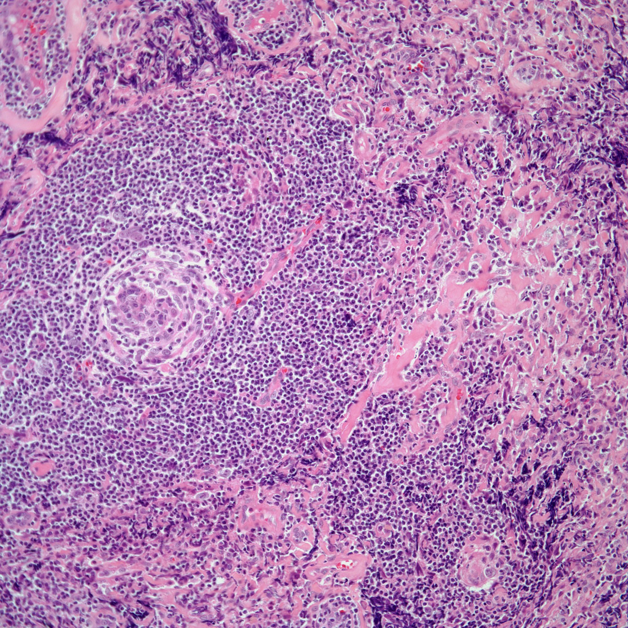
An otherwise healthy 38-year-old man presents with an enlarged lymph node in the right side of the neck. Surgical resection of the lymph node is performed. What is your diagnosis?
An otherwise healthy 38-year-old man presents with an enlarged lymph node in the right side of the neck. Surgical resection of the lymph node is performed.

Based on the image shown, what is your diagnosis?