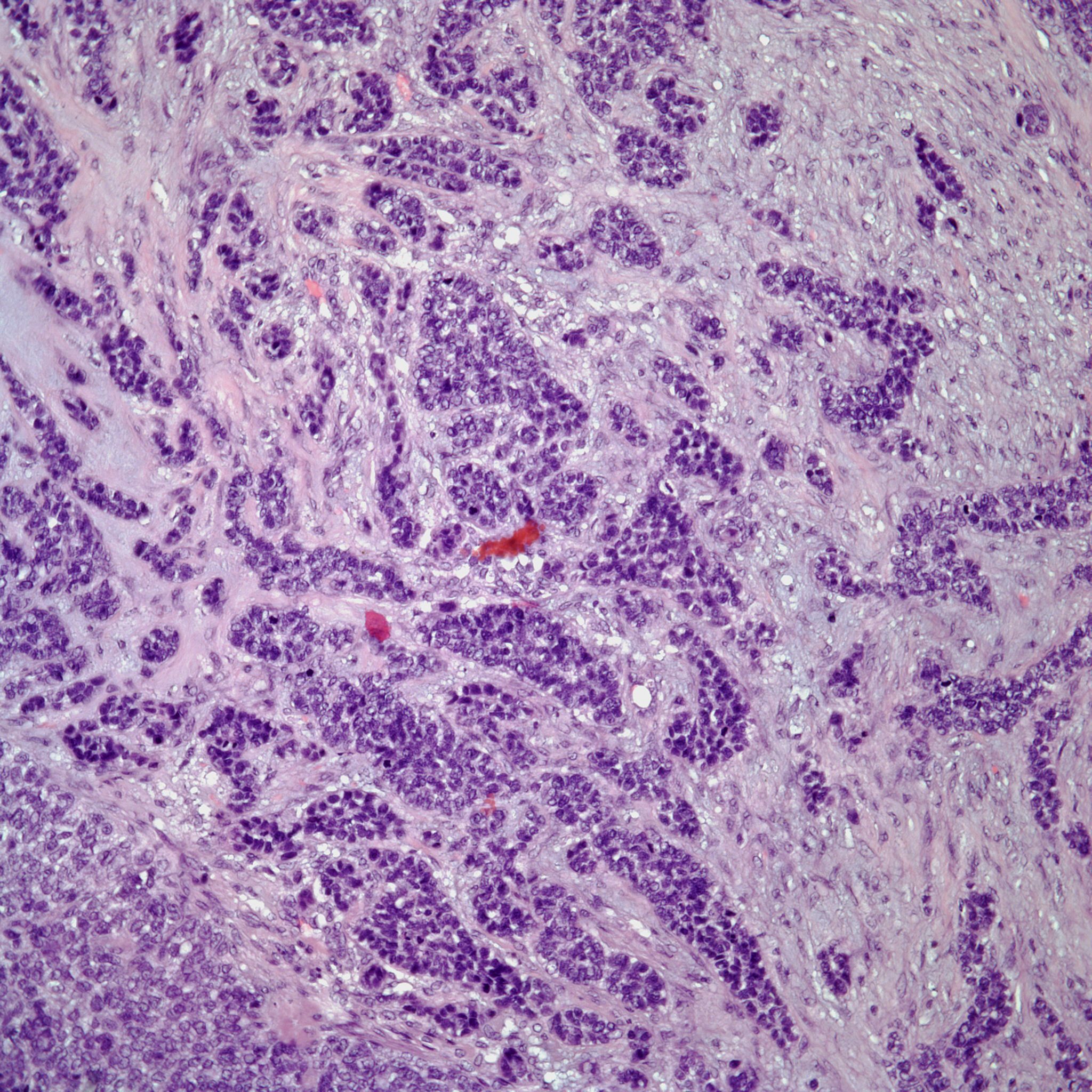
A 52-year-old woman presents with nasal congestion and an intranasal mass. What is your diagnosis?
A 52-year-old woman presents with nasal congestion. Imaging shows the presence of an intranasal mass.

Based on the image shown, what is your diagnosis?