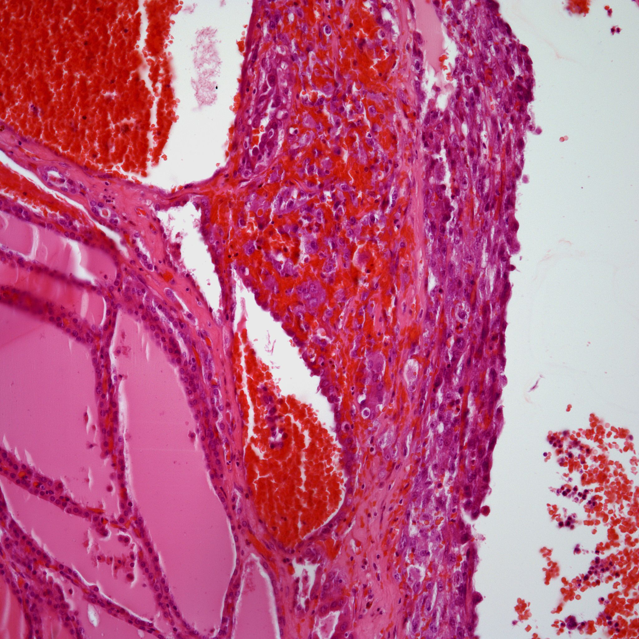
A 73-year-old man presents with neck pain and a mass of possible thyroid origin. What is your diagnosis?
A 73-year-old man presents with neck pain. Physical examination reveals a mass of possible thyroid origin.

Based on the image shown, what is your diagnosis?