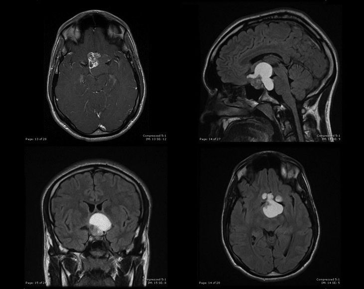
A healthy 24-year-old male presented with a history of several months of poorly localized headaches and blurred vision. Evaluation by an ophthalmologist detected the presence of bitemporal hemianopsia. MRI of the brain demonstrated a multi-lobulated mass with both cystic and solid components causing significant superior displacement of the optic chiasm. The patient subsequently underwent a subtotal resection.
The T1-weighted post-contrast image (top left), and the T2-weighted images (top right, bottom left and right) are shown here.

Based on the radiographic appearance of the mass, what is the most likely diagnosis?