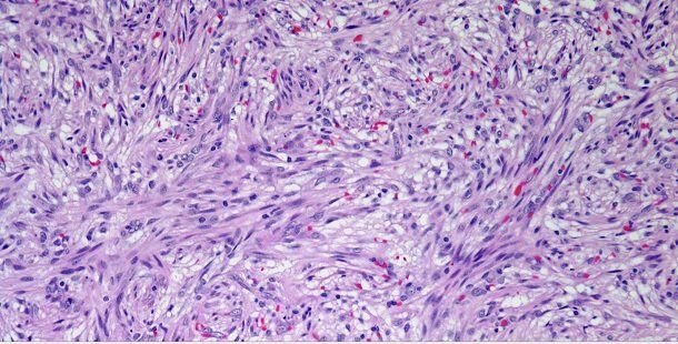
A 41-year-old woman presents with cough and dyspnea. After further evaluation, a bronchial mass is identified and a biopsy is performed. What is your diagnosis?
A 41-year-old woman presents with cough and dyspnea. After further evaluation, a bronchial mass is identified. According to the histopathology image below, what is your diagnosis?

What is your diagnosis?