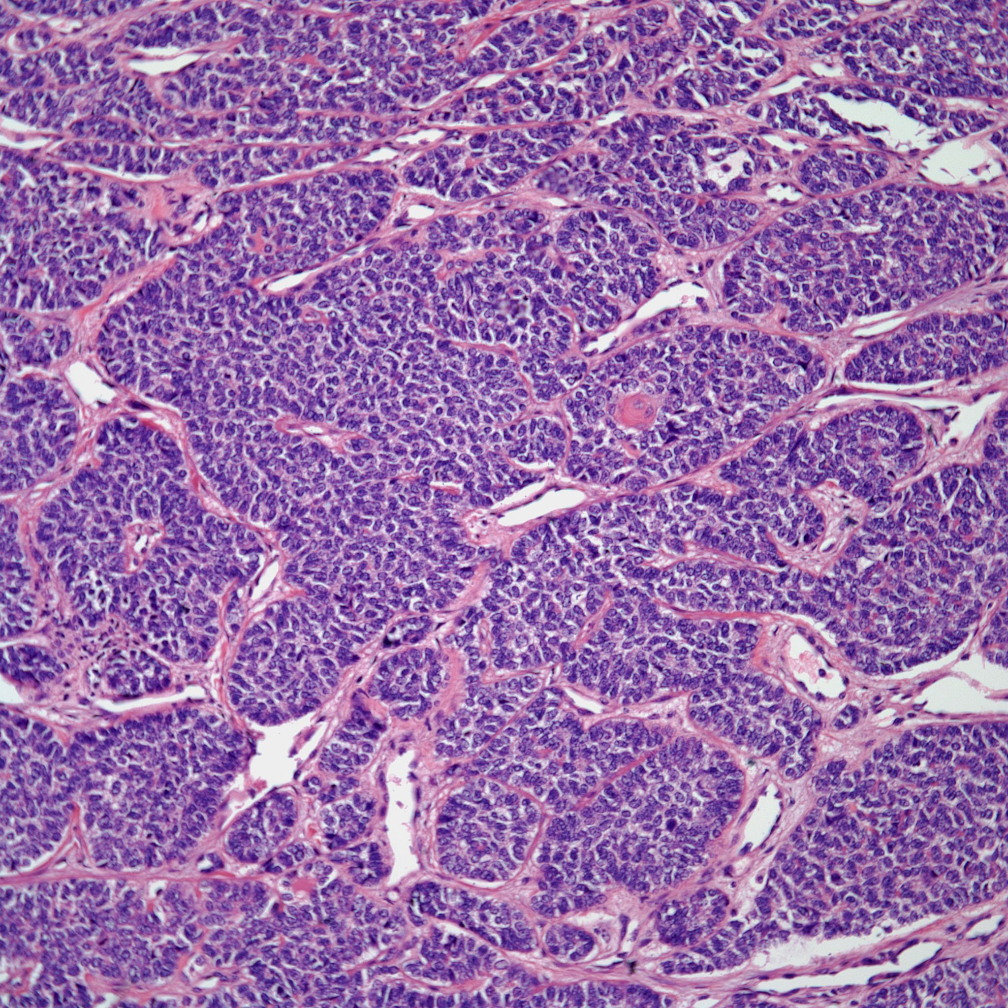
A 45-year-old man presents with neck pain and a mass in the thyroid gland. What is your diagnosis?
A 45-year-old man presents with neck pain of several weeks duration. Physical and imaging evaluation reveals a mass in the thyroid gland.

Based on the image shown, what is your diagnosis?