A 46-year-old woman presents with cough and dyspnea. A bronchial tumor is found and a biopsy is performed. What is your diagnosis?
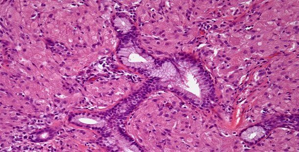
A 46-year-old woman presents with cough and dyspnea. A bronchial tumor is found and a biopsy is performed. According to the histopathology image below, what is your diagnosis?

What is your diagnosis?