A 60-year-old man with a history of coronary artery disease and JAK2 V617F–positive polycythemia vera presented to our bone marrow transplantation clinic with progressive fatigue, splenomegaly, and cytopenias.
Oncology (Williston Park). 31(2):122-128.

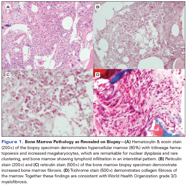
Figure 1. Bone Marrow Pathology as Revealed on Biopsy

Figure 2. Patient’s Hemoglobin, Reticulocyte, and LDH Trends While Receiving Therapy with Ipilimumab

A 60-year-old man with a history of coronary artery disease and JAK2 V617F–positive polycythemia vera presented to our bone marrow transplantation clinic with progressive fatigue, splenomegaly, and cytopenias. He had been in good health up until 14 years prior, when he was found to have polycythemia on routine blood work. He was treated with low-dose aspirin and serial phlebotomies for many years without complications. However, he eventually developed worsening thrombocytosis that required treatment with hydroxyurea and anagrelide. A bone marrow biopsy was performed; this demonstrated post–polycythemia vera myelofibrosis, World Health Organization grade 3/3, with 80% cellularity and 2% blasts. Cytogenetics revealed deletion of chromosome 20q. JAK2 V617F mutation testing was performed, and the patient was found to harbor this mutation. Treatment with ruxolitinib was initiated, which within 2 months resulted in resolution of his splenomegaly and improvement in his anemia. However, 1 year later, he developed progressive fatigue, splenomegaly, and worsening anemia, and he was referred for evaluation for hematopoietic stem cell transplantation.
On presentation to our clinic, he complained of significant fatigue and abdominal fullness. Laboratory analysis revealed a white blood cell count of 9,100/μL, a hemoglobin level of 9.6 g/dL, and a platelet count of 271,000/μL. His spleen measured 22 cm longitudinally on cross-sectional CT imaging. Human leukocyte antigen (HLA) typing was performed on the patient and his siblings, but this did not identify any matched related donors. A search was initiated with the National Marrow Donor Program, but no matched unrelated donors were identified. His two daughters then underwent HLA typing, and both were found to be haploidentical.
He subsequently underwent a haploidentical hematopoietic transplantation with fludarabine/cyclophosphamide/total body irradiation conditioning, followed by posttransplantation cyclophosphamide. His posttransplant course was complicated by polyarticular inflammatory arthritis. Unfortunately, 30 days after transplantation, autologous hematopoietic stem cell recovery was identified through testing for chimerism. Sixty days after his first transplant, he underwent a second haploidentical transplantation utilizing his other daughter’s stem cells. He first received conditioning with fludarabine and alemtuzumab and again received posttransplantation cyclophosphamide. His posttransplant course was complicated by BK virus–associated cystitis and mild grade 1 cutaneous graft-vs-host disease (GVHD), treated with topical corticosteroids. He continued to have cytopenias, and a bone marrow biopsy (Figure 1) performed 90 days after his second transplant showed persistent myelofibrosis, with deletion 20q on cytogenetics in 3 of 20 metaphase cells. Despite tapering of immunosuppression, he developed progressive loss of donor myeloid chimerism. However, he retained donor T-cell chimerism (> 90%).
Due to progressive disease, he was offered enrollment in a clinical trial utilizing the cytotoxic T-lymphocyte–associated antigen 4 (CTLA-4) checkpoint inhibitor ipilimumab for patients with relapsed hematologic malignancies following allogeneic stem cell transplantation (ClinicalTrials.gov identifier: NCT01822509). On day 395 after his second transplant, he began treatment with ipilimumab at 5 mg/kg. He tolerated the first infusion well, without toxicity. His hemoglobin level was 9.5 g/dL. Twenty-one days later he was given his second dose of ipilimumab; his hemoglobin level was 8.6 g/dL. Fifteen days after his second dose of ipilimumab, his hemoglobin level dropped to 7.7 g/dL and his reticulocyte count increased to 10.1%; his white blood cell and platelet counts remained stable. His lactate dehydrogenase (LDH), total bilirubin, and indirect bilirubin levels rose to 449 U/L, 2.33 mg/dL, and 2.13 mg/dL, respectively. Two days later, his hemoglobin dropped further-to 7.0 g/dL.
A. Bone marrow biopsy
B. Peripheral blood flow cytometry for CD55 and CD59
C. Direct Coombs test
D. Further donor chimerism studies
The priming and activation of T lymphocytes is regulated by immune checkpoints that prevent immune hyperstimulation and autoimmunity. Monoclonal antibodies that block these immune checkpoints have been demonstrated to induce durable responses in a growing list of solid tumors, including melanoma,[1-4] non–small-cell lung cancer,[5-7] renal cell carcinoma,[8] and bladder cancer.[9] More recently, these antibodies have been shown to have efficacy in hematologic malignancies.[10,11] Impressive results have been seen in classical Hodgkin lymphoma. Response rates in heavily pretreated Hodgkin lymphoma patients who received single-agent programmed death 1 (PD-1) blockade range from 65% to 87%.[10-13]
Signaling through CTLA-4, the first immune checkpoint to be targeted in cancer, results in inhibition of T-cell–mediated immune responses.[14] CTLA-4 is expressed exclusively on T cells, and competes with CD28 for binding to B7-1 and/or B7-2. Interaction of CTLA-4 with B7-1 or B7-2 results in inhibitory signaling, T-cell anergy, and apoptosis.[10,15] Ipilimumab is a fully human monoclonal antibody (immunoglobulin [Ig] G1) that blocks the interaction between CTLA-4 on the surface of activated T lymphocytes and B7-1 and/or B7-2 on antigen-presenting cells, resulting in immune activation.[1] Ipilimumab is currently approved as monotherapy and in combination with nivolumab for the treatment of patients with metastatic melanoma.[1,16,17]
Recently, trials have evaluated the safety and efficacy of checkpoint blockade following allogeneic transplant.[18,19] An obvious concern with regard to the use of these agents in this setting is the induction of severe GVHD. Indeed, preclinical evidence in mouse models has demonstrated the PD-1/programmed death ligand 1 (PD-L1) axis to be critical to the initiation of alloreactive T-cell apoptosis and amelioration of GVHD.[10,20,21] Furthermore, in murine models, PD-1 blockade induces T-cell proliferation and worsening of GVHD. However, unlike PD-1 blockade, selective blockade of CTLA-4 in mice has been shown to induce a graft-vs-tumor (GVT) effect without the induction of severe GVHD.[2]
Ipilimumab was first evaluated in the post–allogeneic transplant setting in 29 patients with various hematologic malignancies.[18] All patients received a single dose of ipilimumab (between 0.1 and 3.0 mg/kg). There were no dose-limiting toxicities (DLTs), and no one developed acute or chronic GVHD. Three patients had an objective response, including complete remissions in two patients with Hodgkin lymphoma, and a partial response in one patient with mantle cell lymphoma. This study was followed by a larger multicenter phase I/Ib study evaluating ipilimumab in 28 patients with relapsed hematologic malignancies post–allogeneic stem cell transplantation, at 3.0 mg/kg or 10 mg/kg once weekly for 4 doses, followed by maintenance ipilimumab.[19] Five DLTs occurred that led to permanent discontinuation of ipilimumab. Toxicities included three cases of chronic GVHD in the liver and one case of acute GVHD in the gut. One patient died of presumed sepsis in the setting of grade 4 pneumonitis and grade 3 colitis. Of 22 patients who received a dose of 10 mg/kg, 5 (23%) had a complete response and 2 (9%) had a partial response. Four of these patients had responses lasting longer than 1 year. These data provide strong evidence that the GVT effect can be stimulated posttransplant with checkpoint blockade, with a limited risk of GVHD induction.
Our patient with relapsed myelofibrosis post–allogeneic stem cell transplantation was treated with ipilimumab 5 mg/kg per week. However, after his first two doses of ipilimumab, he developed anemia, accompanied by an elevated reticulocyte count and elevations in his LDH and indirect bilirubin levels-findings strongly suggestive of an immune-mediated hemolytic anemia.
Treatment with ipilimumab is well known to stimulate autoimmunity, resulting in numerous types of immune-related adverse events (irAEs), with an overall incidence rate of 72%.[14] Common irAEs associated with ipilimumab treatment include skin lesions (rash and vitiligo), colitis, hepatitis, hypophysitis, and thyroiditis. More rare irAEs include sarcoidosis, uveitis, and Guillain-Barré syndrome. In addition, checkpoint blockade has been reported to cause immune-mediated thrombocytopenia, neutropenia, pancytopenia, and pure red cell aplasia.[22-27]
Immune-mediated hemolytic anemia is a rare irAE that can result from treatment with checkpoint blockade. Cases have been reported both after treatment with PD-1 blockade[28-30] and after CTLA-4 blockade.[31] Patients present with the classic findings of an autoimmune hemolytic anemia: rapid onset of anemia combined with an elevated reticulocyte count, and elevated LDH and indirect bilirubin levels. The diagnosis is made via identification of the foregoing findings combined with a positive result on a direct antiglobulin (Coombs) test. Thus, Answer C is correct here. A direct Coombs test is indicated in order to confirm the suspected diagnosis of immune-mediated hemolytic anemia.
The direct Coombs test is performed by incubation of the patient’s washed red blood cells with antihuman globulin (Coombs reagent). If there is IgG and/or complement (C)3 bound to the patient’s red blood cells, the addition of antihuman globulin will result in agglutination of the red blood cells and a positive Coombs test.
In our patient, a bone marrow biopsy (Answer A) would be performed to evaluate for progressive myelofibrosis or progression to acute leukemia. However, a rapid drop in hemoglobin, in conjunction with stable white blood cell and platelet counts, argues against worsening myelofibrosis. Furthermore, progressive myelofibrosis would be associated with a hypoproliferative anemia (low reticulocyte count) as opposed to the hyperproliferative anemia (elevated reticulocyte count) seen in immune-mediated hemolytic anemia-and which was seen in this man. Also, cytopenias secondary to myelofibrosis do not typically respond to corticosteroid treatment.
Peripheral blood flow cytometry for CD55 and CD59 (Answer B) would be performed if there was concern for paroxysmal nocturnal hemoglobinuria (PNH). CD55 and CD59 block formation of the complement membrane attack complex (C5b-C9) and are important in preventing complement-mediated cell lysis. PNH is caused by acquired mutations in PIGA in hematopoietic stem cells, resulting in decreased expression of glycosylphosphatidylinositol (GPI) anchors.[32] GPI anchors are critical in tethering proteins, including CD55 and CD59, to the cell surface. The loss of GPI anchors causes decreased cell-surface expression of CD55 and CD59, resulting in increased susceptibility of blood cells to complement-mediated cell lysis. PNH commonly coexists with other hematopoietic stem cell disorders, including aplastic anemia and myelofibrosis.[33,34] However, PNH results in a Coombs-negative hemolytic anemia and typically does not respond to corticosteroids. Treatment with eculizumab, a human monoclonal antibody directed against the terminal complement protein C5, has been shown to induce durable responses in patients with PNH.[32] Since our patient’s findings were most strongly suggestive of immune-mediated hemolytic anemia, a direct Coombs test would be the first-choice study to pursue. If the results of his Coombs test were negative, however, blood flow cytometry to investigate for PNH might be considered next.
Donor chimerism studies (Answer D) are typically performed after allogeneic stem cell transplantation to assess the degree of donor contribution to hematopoiesis (engraftment). These studies can evaluate both donor T-cell and myeloid engraftment. Falling percentages of donor T cells and myeloid cells are indicative of impending relapse and autologous recovery. There is no known connection between the development of hemolytic anemia and autologous recovery.
A direct Coombs test was ordered and was positive for IgG and C3. Autoimmune hemolytic anemia can result from production of either warm or cold autoantibodies. When the red blood cells are coated with IgG, or IgG and C3, the antibody is usually warm.[35] The etiology of our patient’s anemia was believed to be a warm antibody immune-mediated hemolytic anemia triggered by treatment with ipilimumab. A smear of peripheral blood demonstrated numerous spherocytes without any schistocytes, lending further support for the diagnosis.
Treatment with ipilimumab was held and the patient was started on prednisone, 1 mg/kg daily, and 2 units of transfused red blood cells. Within 12 days of starting prednisone, his hemoglobin level increased to 10.1 g/dL, his reticulocyte count decreased to 7.2%, and his LDH and total bilirubin levels fell to 338 U/L and 1.3 mg/dL, respectively (Figure 2). His prednisone was tapered over 21 days, and once the taper was complete, he received a third dose of ipilimumab. Fifteen days after his third dose of ipilimumab his hemoglobin again dropped-this time to 6.4 g/dL-while his LDH level rose to 578 U/L. Prednisone at 1 mg/kg daily was resumed and ipilimumab was permanently discontinued. Treatment with corticosteroids resulted in a rapid response in our patient, and he was successfully weaned off the steroids after permanent discontinuation of ipilimumab. Thirty-five days after his last dose of ipilimumab his hemoglobin had increased to 11.6 g/dL.
This case presents a unique and potentially life-threatening complication of checkpoint blockade. To our knowledge, it is the first-ever reported case of ipilimumab-induced autoimmune hemolytic anemia in the post–allogeneic transplant setting. However, it is a phenomenon that is likely to be seen with increasing frequency, given the expanding indications for checkpoint blockade.
Checkpoint blockade has the potential to revolutionize the treatment of refractory hematologic malignancies post–allogeneic stem cell transplantation, and further studies are ongoing with both PD-1 and CTLA-4 blockade in the posttransplant setting (ClinicalTrials.gov identifiers: NCT01822509 and NCT02846376). Clinicians must remain vigilant and prepared to diagnose atypical as well as typical irAEs. Prompt recognition and management with corticosteroids and cessation of therapy will help reduce morbidity and maximize success with these agents.
Financial Disclosure:The authors have no significant financial interest in or other relationship with the manufacturer of any product or provider of any service mentioned in this article.
If you have a case that you feel has particular educational value, illustrating important points in diagnosis or treatment, you may send the concept to Dr. Crawford at david.crawford@ucdenver.edu for consideration for a future installment of Clinical Quandaries.
1. Hodi FS, O’Day SJ, McDermott DF, et al. Improved survival with ipilimumab in patients with metastatic melanoma. N Engl J Med. 2010;363:711-23.
2. Robert C, Long GV, Brady B, et al. Nivolumab in previously untreated melanoma without BRAF mutation. N Engl J Med. 2015;372:320-30.
3. Weber JS, D’Angelo SP, Minor D, et al. Nivolumab versus chemotherapy in patients with advanced melanoma who progressed after anti-CTLA-4 treatment (CheckMate 037): a randomised, controlled, open-label, phase 3 trial. Lancet Oncol. 2015;16:375-84.
4. Topalian SL, Sznol M, McDermott DF, et al. Survival, durable tumor remission, and long-term safety in patients with advanced melanoma receiving nivolumab. J Clin Oncol. 2014;32:1020-30.
5. Borghaei H, Paz-Ares L, Horn L, et al. Nivolumab versus docetaxel in advanced nonsquamous non-small-cell lung cancer. N Engl J Med. 2015;373:1627-39.
6. Brahmer JR, Tykodi SS, Chow LQ, et al. Safety and activity of anti-PD-L1 antibody in patients with advanced cancer. N Engl J Med. 2012;366:2455-65.
7. Garon EB, Rizvi NA, Hui R, et al. Pembrolizumab for the treatment of non-small-cell lung cancer. N Engl J Med. 2015;372:2018-28.
8. Motzer RJ, Escudier B, McDermott DF, et al. Nivolumab versus everolimus in advanced renal-cell carcinoma. N Engl J Med. 2015;373:1803-13.
9. Rosenberg JE, Hoffman-Censits J, Powles T, et al. Atezolizumab in patients with locally advanced and metastatic urothelial carcinoma who have progressed following treatment with platinum-based chemotherapy: a single-arm, multicentre, phase 2 trial. Lancet. 2016;387:1909-20.
10. Goodman A, Patel SP, Kurzrock R. PD-1-PD-L1 immune-checkpoint blockade in B-cell lymphomas. Nat Rev Clin Oncol. 2016 Nov 2. [Epub ahead of print]
11. Lesokhin AM, Ansell SM, Armand P, et al. Nivolumab in patients with relapsed or refractory hematologic malignancy: preliminary results of a phase Ib study. J Clin Oncol. 2016;34:2698-704.
12. Ansell SM, Lesokhin AM, Borrello I, et al. PD-1 blockade with nivolumab in relapsed or refractory Hodgkin’s lymphoma. N Engl J Med. 2015;372:311-9.
13. Armand P, Shipp M, Ribrag V, et al. PD-1 blockade with pembrolizumab in patients with classical Hodgkin lymphoma after brentuximab vedotin failure: safety, efficacy, and biomarker assessment (KEYNOTE-013). Blood. 2015;126:abstr 584.
14. Bertrand A, Kostine M, Barnetche T, et al. Immune related adverse events associated with anti-CTLA-4 antibodies: systematic review and meta-analysis. BMC Med. 2015;13:211.
15. Chen L, Flies DB. Molecular mechanisms of T cell co-stimulation and co-inhibition. Nat Rev Immunol. 2013;13:227-42.
16. Postow MA, Chesney J, Pavlick AC, et al. Nivolumab and ipilimumab versus ipilimumab in untreated melanoma. N Engl J Med. 2015;372:2006-17.
17. Wolchok JD, Kluger H, Callahan MK, et al. Nivolumab plus ipilimumab in advanced melanoma. N Engl J Med. 2013;369:122-33.
18. Bashey A, Medina B, Corringham S, et al. CTLA4 blockade with ipilimumab to treat relapse of malignancy after allogeneic hematopoietic cell transplantation. Blood. 2009;113:1581-8.
19. Davids MS, Kim HT, Bachireddy P, et al. Ipilimumab for patients with relapse after allogeneic transplantation. N Engl J Med. 2016;375:143-53.
20. Blazar BR, Carreno BM, Panoskaltsis-Mortari A, et al. Blockade of programmed death-1 engagement accelerates graft-versus-host disease lethality by an IFN-α-dependent mechanism. J Immunol. 2003;171:1272-7.
21. Blazar BR, Taylor PA, Panoskaltsis-Mortari A, et al. Opposing roles of CD28:B7 and CTLA-4:B7 pathways in regulating in vivo alloresponses in murine recipients of MHC disparate T cells. J Immunol. 1999;162:6368-77.
22. Gordon IO, Wade T, Chin K, et al. Immune-mediated red cell aplasia after anti-CTLA-4 immunotherapy for metastatic melanoma. Cancer Immunol Immunother. 2009;58:1351-3.
23. Nair R, Gheith S, Nair SG. Immunotherapy-associated hemolytic anemia with pure red-cell aplasia. N Engl J Med. 2016;374:1096-7.
24. du Rusquec P, Saint-Jean M, Brocard A, et al. Ipilimumab-induced autoimmune pancytopenia in a case of metastatic melanoma. J Immunother. 2014;37:348-50.
25. Ahmad S, Lewis M, Corrie P, Iddawela M. Ipilimumab-induced thrombocytopenia in a patient with metastatic melanoma. J Oncol Pharm Pract. 2012;18:287-92.
26. Akhtari M, Waller EK, Jaye DL, et al. Neutropenia in a patient treated with ipilimumab (anti-CTLA-4 antibody). J Immunother. 2009;32:322-4.
27. Kopecky J, Trojanova P, Kubecek O, Kopecky O. Treatment possibilities of ipilimumab-induced thrombocytopenia-case study and literature review. Jpn J Clin Oncol. 2015;45:381-4.
28. Tardy MP, Gastaud L, Boscagli A, et al. Autoimmune hemolytic anemia after nivolumab treatment in Hodgkin lymphoma responsive to immunosuppressive treatment. A case report. Hematol Oncol. 2016 Aug 19. [Epub ahead of print]
29. Kong BY, Micklethwaite KP, Swaminathan S, et al. Autoimmune hemolytic anemia induced by anti-PD-1 therapy in metastatic melanoma. Melanoma Res. 2016;26:202-4.
30. Schwab KS, Heine A, Weimann T, et al. Development of hemolytic anemia in a nivolumab-treated patient with refractory metastatic squamous cell skin cancer and chronic lymphatic leukemia. Case Rep Oncol. 2016;9:373-8.
31. Simeone E, Grimaldi AM, Esposito A, et al. Serious haematological toxicity during and after ipilimumab treatment: a case series. J Med Case Rep. 2014;8:240.
32. Hillmen P, Young NS, Schubert J, et al. The complement inhibitor eculizumab in paroxysmal nocturnal hemoglobinuria. N Engl J Med. 2006;355:1233-43.
33. Hansen NE, Killmann SA. Paroxysmal nocturnal hemoglobinuria in myelofibrosis. Blood. 1970;36:428-31.
34. Scheinberg P, Young NS. How I treat acquired aplastic anemia. Blood. 2012;120:1185-96.
35. Lechner K, Jäger U. How I treat autoimmune hemolytic anemias in adults. Blood. 2010;116:1831-8.
Navigating AE Management for Cellular Therapy Across Hematologic Cancers
A panel of clinical pharmacists discussed strategies for mitigating toxicities across different multiple myeloma, lymphoma, and leukemia populations.
Late Hepatic Recurrence From Granulosa Cell Tumor: A Case Report
Granulosa cell tumors exhibit late recurrence and rare hepatic metastasis, emphasizing the need for lifelong surveillance in affected patients.