A 63-year-old man complains of blood in his urine. A lesion in the right ureter is identified and a biopsy is performed. What is your diagnosis?
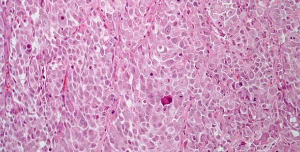
A 63-year-old man complains of blood in his urine. A lesion in the right ureter is identified and a biopsy is performed. According to the histopathology image below, what is your diagnosis?

What is your diagnosis?