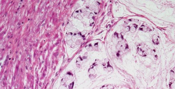
A 72-year-old man is found to have a bladder mass. After further evaluation, a biopsy is performed. What is your diagnosis?
A 72-year-old man is found to have a bladder mass. According to the histopathology image below, what is your diagnosis?

What is your diagnosis?