Researchers observed durable responses in patients with renal cell carcinoma treated with the PD-L1 antibody MPDL3280A. The study, which was presented at the 2013 ASCO Annual Meeting, was one of the few immune therapy trials that allowed patients with non-clear cell histologies and some clinical activity was observed in these patients.
Researchers observed durable responses in patients with renal cell carcinoma treated with the PD-L1 antibody MPDL3280A. The study, which was presented at the annual meeting of the American Society of Clinical Oncology (ASCO), was one of the few immune therapy trials that allowed patients with non-clear cell histologies and some clinical activity was observed in these patients.

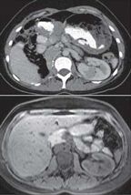
Central posterior medial lesion in the midportion of the left kidney revealed by axial–post-contrast CT (top) and T1 pre-Vibe fat sat MRI (bottom)
Cancer cells have mutations that make them recognizable by the immune system; however, cancer cells have developed a number of ways to evade the immune surveillance with one example being the expression of proteins such as PD-L1.
“PD-L1 is broadly expressed across multiple types of cancers,” said presenter Daniel C. Cho, MD, director of experimental therapeutics program at Beth Israel Deaconess Medical Center. “In renal cancer, PD-L1 is not expressed in normal human kidney cells but is believed to be abhorrently expressed in both primary and metastatic renal cell carcinoma.”
PD-L1 is typically expressed on the surface of tumor cells. When this happens, PD-L1 can bind to its receptors PD-1 and B7.1 on the surface of the T cell and this interaction with the two receptors results in inhibitory immune signal, which can turn the T cell off and allow continued tumor immune evasion and subsequent tumor growth. Researchers believed that by inhibiting the PD-L1/PD-1 interaction, antitumor T-cell activity would be restored, potentially leading to long-lasting antitumor responses.
In this study, Dr. Cho and colleagues studied the PD-L1 antibody MPDL3280A, which binds to PD-L1 on the surface of the tumor cell and, hence, interferes with the interaction of PD-L1 and PD-1 and B7.1.
As part of a larger dose escalation and dose expansion study, 53 patients with renal cell carcinoma received MPDL3280A intravenously three times a week at doses of 10 mg/kg, 15 mg/kg, or 20 mg/kg. Of the renal cell patients, 87% had clear cell carcinoma, 7% had papillary, and 4% had sarcomatoid histologies.
“Overall the treatment was extremely well tolerated with no treatment-related deaths in renal cell carcinoma patients, no maximum tolerated dose achieved and no dose-limiting toxicities reported,” Dr. Cho said. “The majority of adverse events was grade 1/2 and did not require intervention.”
Fifty-one percent of patients did experience a grade 3/4 adverse event, but only 13% had grade 3/4 events that were treatment-related.
“Interestingly, unlike similarly targeted agents, there were no grade 3 to 5 pneumonitis observed and also no grade 3/4 immune-related adverse events observed,” Dr. Cho said.
The overall response rate among the total study population, which included multiple tumor types, was 21%. An additional 16% of patients went on to achieve stable disease of 24 weeks or longer.
When looking at just the renal cancer population, the overall response rate was slightly lower at 13%; however, 32% of patients achieved stable disease of 24 weeks or longer. The 24-week progression-free survival in the renal cell group was 53%. Among patients with non-clear cell histology, the overall response rate was 17%, with a 24-week progression-free survival of 20%.
“Because not all patients respond to immune therapies one of the priorities is to develop a predictive biomarker so we can direct therapies to those most likely to benefit,” Dr. Cho said. “One of the leading hypotheses in terms of PD-L1 and PD-1 antibodies is tumor expression of PD-L1 a priori.”
In the overall study population, the response rate was much higher in PD-L1–positive patients at 36% compared with 13% in PD-L1–negative patients. In the renal cell cancer patient population this correlation persisted with a response rate of 20% in the PD-L1–positive group and 10% in PD-L1–negative group.
When the researchers further broke down clinical benefit as defined by stable disease, partial response, or complete response, in the PD-L1–positive patient population, 80% experienced clinical benefit compared with 62% in PD-L1–negative population. Complete responses occurred only in the PD-L1–positive group
In his discussion of the results, Toni Choueiri, MD, director of the kidney cancer center, Dana-Farber Cancer Institute/Brigham and Women’s Hospital, said that although the data are very preliminary, the safety and efficacy results are encouraging.
Although more mature efficacy data are needed, Dr. Choueiri suggested that the drug’s tolerability indicates that researchers may be able to begin to combine it with other immune checkpoint inhibitors such as CTLA-4 or LAG3.
Other proposed combinations including VEGF-targeted therapies such as bevacizumab (Avastin). In fact, Dr. Choueiri proposed a study looking at bevacizumab plus or minus MPDL3280A stratified by PD-L1 status and risk groups.