Researchers have discovered that individuals carrying a mutation in the BAP1 gene are at greater risk of developing mesothelioma and uveal melanoma.
Eye and Ocular Adnexa: Malignant Melanoma. Variably pigmented, mushroom-shaped choroidal tumor has ruptured the Bruch membrane and grown into the subretinal space.

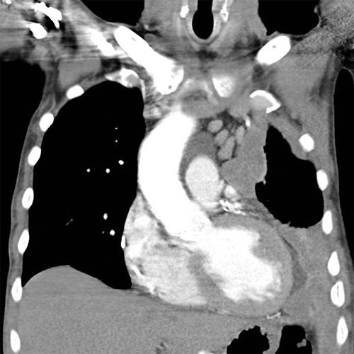
Coronal reformat of a CT of the chest in a patient with right sided medial mesothelioma. Note the extensive pleural mass with contraction of the right hemithorax. Source: Frank Gaillard, Radiopaedia

Under a high magnification of 1200X, this scanning electron micrograph (SEM) revealed some of the microcrystalline ultrastructure exhibited by a piece of raw chrysotile.

Researchers have discovered that individuals carrying a mutation in the BAP1 gene are at greater risk of developing mesothelioma and uveal melanoma.
The study-which was funded by the National Cancer Institute (NCI) and conducted by scientists at the University of Hawaii Cancer Center, Honolulu, and Fox Chase Cancer Center, Philadelphia-was published online August 28, 2011 in the journal Nature Genetics (doi:10.1038/ng.912).
“The discovery that the BAP1 gene is involved in a new cancer syndrome characterized especially by uveal melanoma and mesothelioma provides yet another example of the critical importance of the detailed genetic analysis of human tumors,” said Donald Blair, PhD, in the NCI press release.
Malignant mesotheliomas are aggressive tumors associated with poor survival outcomes. Mesothelioma is often diagnosed in older patients and 5-year survival is rare, limited to cases where discovery of the tumor is made during the early stages of the disease and cytoreductive surgery can be performed. About 3,000 people die each year from mesothelioma.
Mesothelioma is linked to mineral fiber carcinogenesis. According to the study, approximately 27 million U.S. workers were exposed to asbestos from 1940 to 1979 and incidence rates vary (as low as 1–2 per 100,000 in some U.S. states and as high as 15 per 100,000 in others), depending on how much asbestos was used. Erionite shares physical characteristics with asbestos and also causes the disease.
Some individuals who are exposed to small amounts of asbestos develop mesothelioma while others who are exposed to heavy amounts do not. This and the fact that mesothelioma clustering has been observed in some families (up to 50% of family members in certain cases) led the researchers to search for genetic predisposing factors.
The researchers focused on two families from the United States, both of whom had high incidence of mesothelioma and were not exposed to erionite nor asbestos in the work place. However, chrysotile asbestos was found in all five of the homes of one affected family-this was consistent with the high percentage of asbestos-containing houses in the town where they resided-and traces of tremolite and chrysotile asbestos were found in the home where the other affected family were raised.
Members from the two families developed various malignancies-pancreatic, prostate, breast, renal, and skin cancers-although mesothelioma predominated. In every affected family member, the researchers found mutations in the BAP1 gene. In addition to mesothelioma, some BAP1 mutation carriers developed uveal melanoma. They also found germline BAP1 mutations in 2 of 26 sporadic mesotheliomas; both individuals with mutant BAP1 were previously diagnosed with uveal melanoma.
The researchers noted that an association between uveal melanoma, breast cancer, and ovarian cancer has been proposed, and that perhaps mesothelioma too if asbestos exposure is present.
“This discovery is a first step in understanding the role of the BAP1 gene and its potential utility when screening for mutations in those at high risk,” said Michele Carbone, MD, PhD, study co-leader and director of the University of Hawaii Cancer Center, in the press release.
As use of asbestos increases across the globe exponentially, greater rates of mesothelioma are expected. “Identifying people at greatest risk for developing mesothelioma, especially those exposed to dangerous levels of asbestos and erionite worldwide, is a task made easier by virtue of this discovery,” said Carbone.
As is the case with BRCA1 and BRCA2, which account for some hereditary breast carcinomas (about 10%), the researchers hypothesize that other gene mutations, in addition to BAP1, will be found to be associated with mesothelioma.
“Such analysis can lead to the discovery of genes involved in the same tumors that arise spontaneously," said Blair. "This is an important advance in developing our understanding of the biological mechanisms underlying these tumors.”
Late Hepatic Recurrence From Granulosa Cell Tumor: A Case Report
Granulosa cell tumors exhibit late recurrence and rare hepatic metastasis, emphasizing the need for lifelong surveillance in affected patients.