A 42-year-old woman presents with bilateral cystic changes in the lungs. What is your diagnosis?
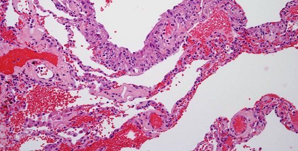
A 42-year-old woman presents with bilateral cystic changes in the lungs. According to the histopathology image below, what is your diagnosis?

What is your diagnosis?