A 53-year-old man presents with hematuria and is found to have a bladder mass. What is your diagnosis?
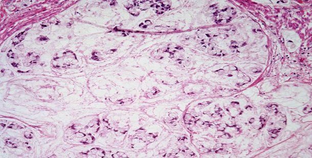
A 53-year-old man presents with hematuria and is found to have a bladder mass. According to the histopathology image below, what is your diagnosis?
_0.JPG?fit=crop&auto=format)
What is your diagnosis?