A 34-year-old woman presents with a coin lesion in the right upper lobe of the lung. What is your diagnosis?
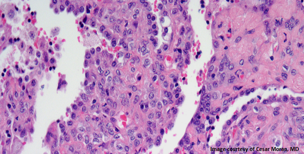
A 34-year-old woman presents with a coin lesion in the right upper lobe of the lung. Looking at the pathology slide below, what is your diagnosis?
.PNG?fit=crop&auto=format)
What is your diagnosis?