With better disease definition, staging, and monitoring, treatment of extranodal NK/T-cell lymphoma is becoming more rational. A large proportion of patients with localized nasal disease may enjoy prolonged disease-free survival. On the other hand, early HSCT or novel therapy may be recommended for aggressive extranasal disease.
Nasal natural killer (NK)/T-cell lymphoma-classified as extranodal NK/T-cell lymphoma (ENKTL), nasal type, by the World Health Organization-is a non-Hodgkin lymphoma that is almost always associated with Epstein-Barr virus. Up to 75% of ENKTL cases occur in the upper aerodigestive tract, primarily the nasal cavity. It is the most common type of peripheral T-cell lymphoma in many Asian countries. Histologic diagnosis is essential, and staging consists of bilateral bone marrow biopsy and imaging of the neck, thorax, abdomen, and pelvis. There is a marked dichotomy in treatment and survival between localized and disseminated disease. Since disease incidence is rare even in prevalent areas, experience is limited and most treatment protocols are consensus-guided. ENKTL is both chemosensitive and radiosensitive. Early-stage, localized nasal disease is highly curable with combination therapy, but the optimal dose, combination, and sequence of radiotherapy and chemotherapy are still undefined. For patients with disseminated and extranasal disease, either at initial presentation or at relapse, the prognosis is poor. For disseminated and refractory cases, the 5-year survival rate is below 10%, and better methods of treatment are needed.
Nasal natural killer (NK)/T-cell lymphoma is a unique type of non-Hodgkin lymphoma (NHL) that is almost always associated with Epstein-Barr virus (EBV). The disease predominantly localizes to the upper aerodigestive tract, most commonly in the nose. It is locally angioinvasive and destructive and was previously called lethal midline granuloma. However, up to 25% of patients have primary extranasal disease, without any apparent antecedent or concomitant nasal involvement by radiology, clinical examination, or biopsy.[1] Both categories are grouped together as extranodal NK/T-cell lymphoma (ENKTL), nasal type, in the World Health Organization (WHO) classification.[2]
Although most lesions of this type show an NK lineage (as evident by CD3s-negative, CD56-positive germline T-cell receptor status), some cases may show a cytotoxic T-cell phenotype, and hence, the designation of NK/T-cell lymphoma. Other entities of putative NK lineage but EBV-negative (eg, chronic T- and NK-cell lymphocytosis, plasmacytoid dendritic-cell tumors, and NK/myeloid leukemia) are pathogenetically unrelated.
The disease shows a dramatic ethnic and geographic predilection, accounting for 7% to 10% of NHL cases in Asian and Latin American countries,[3] but only 1% of Caucasian cases.[4,5] It is the most common type of peripheral T-cell lymphoma (20%–30%) in many Asian countries. Hence, most data come from single-center or national series from Asian countries,[6-8] with smaller Caucasian series.[9,10] Large international series of ENKTL patients will also show predominant Asian dominance in terms of case contribution.[1] However, the clinicopathologic features of the disease have appeared the same in different ethnic groups. The persistent higher incidence of ENKTL in Asian people who immigrate to North America suggests a genetic predisposition.[11] However, preliminary epidemiologic studies in endemic areas of ENKTL disease suggest the existence of some environmental factors for local case clustering.[12]
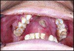
FIGURE 1

Palatal Ulcer in a Patient With Primary Nasal Lymphoma
Up to 75% of ENKTL cases occur in the upper aerodigstive tract, mainly the nasal cavity.[1,6] In Asian series of primary nasal lymphoma, NK/T-cell–related cases outnumber B-lineage disease by 3 to 1.[13] Primary nasal lesions may be ulcerative or tumorous and are locally invasive and necrotic (Figure 1). They cause pain, obstruction, foul smell, discharge, and bleeding. Some cases may be accompanied by fever and other systemic symptoms, possibly as a result of local superinfection. Increased lactate dehydrogenase (LDH) levels and B symptoms are reported in less than half of all cases.[1]
The disease can occur in patients of any age, but the median age of presentation is 40 to 50 years, with a male predominance.[1,6] Hence, the diagnosis of ENKTL must be suspected in any Asian or Hispanic patient with relevant symptoms, and appropriate imaging, biopsy, and biochemical tests should be undertaken. In some cases, however, the problem may masquerade as a local indolent ulcer or chronic sinusitis for many years. The relationship of the subsquent ENKTL to the preceding nasal condition is unclear. Extensive local tissue destruction and inflammation may cause perforation of the palate or nasal septum, spread to the nasopharynx, oral cavity, and paranasal sinuses. It may also threaten the globe and cause proptosis or retinal detachment.[14] Central nervous system involvement is rare.
Interestingly, this aggressive lymphoma remains localized in the nasal primary site in many cases (ie, stage IE), with little documented regional nodal spread (15%–30%). Systemic dissemination (stage III or IV) in primary nasal–primary ENKTL is uncommon (< 20%), and the disease tends to metastasize to the skin, gut, ovaries, testis, and muscle.[8] Bone marrow involvement is uncommon (3%), although the incidence may increase with careful marrow examination using Epstein-Barr virus–expressed RNA (EBER) staining (see below). The marrow may show hemophagocytic syndrome, sometimes as the first clue to occult nasal or extranasal disease.[15]
FIGURE 2

Extranasal NK Lymphoma
In up to 25% of cases, however, the disease appears to be extranasal in origin.[1,7] Interestingly, the sites are reminscent of those involved from nasal metatstases-namely the skin, intestine, muscle, and gonads (Figure 2). This may be due to tissue CD56 surface antigen causing homotyping adhesions with the NK/T lymphoma cells. In some Asian series of primary lymphoma of the skin and gut, primary NK lymphomas contribute up to 16%[16] and 5% of cases,[17] respectively. The clinical symptoms are secondary to local ulceration and soft-tissue swelling. The incidence of B symptoms and high-stage disease is higher (over 60%) in primary extransal ENKTL than in nasal disease.[1] Cases of disseminated NK lymphoma involving the liver, spleen, and marrow with circulating lymphoma cells overlap with aggressive NK leukemia/lymphoma and run a rapid downhill course in a matter of weeks.[7] The distinction between secondary and primary extranasal disease may be artificial, since some patients have preceding or concurrent occult nasal involvement.[18]
Overlapping with the ENKTL spectrum, there are also reports (especially from Japan) of younger patients suffering from chronic active EBV infection and various associated skin conditions (eg, vaccine hydroa and mosquito bite lesions) that show cells in circulation or biopsy bearing morphologic and immunophenotypic similarity to ENKTL cells.[19] The clinical course waxes and wanes. Patients may or may not progress to full-blown ENKTL. Due to the limited number of reports, the natural history and etiologic relationship of these cases to ENKTL is not well defined.
Histologic diagnosis is essential for confirmation of ENKTL, and the histologic features are identical for both nasal and extranasal disease.[2] However, due to the size and location of lesions, the amount of material available on nasal biopsy is often small. The presence of a large amount of necrotic material makes histologic identification of tumor cells difficult. Hence, multiple random biopsies and generous sampling may be advised in suspected cases. In cases of high clinical suspicion (eg, due to ethnicity as well as clinical, imaging, and circulating EBV DNA results), repeated biopsy and tertiary pathology referral may be prudent.
FIGURE 3

Positive EBER Staining of NK Lymphoma
The cytologic size and morphology of the malignant cells may be variable and pleomorphic (polymorphic reticulosis). Their growth is usually diffuse and permeative. The tumor cells show peculiar angioinvasion, and the tissue is characterized by fibrinoid or coagulative necrosis, due to cytokines and cytotoxic molecules expressed by the tumor cells. A heavy infiltration of inflammatory and necrotic cells may be present, sometimes making it difficult to identify active lymphoma cells without CD56 or EBER staining. The ENKTL cells express CD2 and CD3ε, but usually not CD3s antigen or other T-cell markers (CD4, CD5, CD8). They invariably express EBER (Figure 3) and cytotoxic molecules (TIA-1, perforin, or granzyme B); both are used for histologic confirmation.[2]
The absence of CD3 surface antigen as well as T-cell receptor (TCR) expression, together with the germline state of the TCR gene, suggest that the lymphoma is of genuine NK-cell origin. Most cases also express CD56, (a nonspecific NK-cell marker). However, there is evidence of T-cell differentiation either by immunophenotype or clonal TCR rearrangement in some cases.[1] Hence, ENKTL may have derived from an EBV-infected common T/NK precursor cell. There is no current evidence suggesting differences in clinical behavior and prognosis between “T” and “NK” cases.[1] However, cases with more transformed cells and higher mitotic rates may run a more malignant course.[1]
FIGURE 4

Management of ENKTL
Standard staging of lymphoma consists of bilateral bone marrow biopsy and imaging of the neck, thorax, abdomen, and pelvis. For ENKTL, there is a marked dichotomy in treatment and survival between localized and disseminated disease. Hence, heightened sensitivity of extranasal disease detection by histology, imaging, and blood test is of paramount importance (Figure 4).[1,20] Staining for CD56 and EBER are useful in the detection of scattered malignant cells in morphologically normal marrows, which carries the same poor prognosis as overt disseminated disease.[21] On positron-emission tomography (PET), the disease is invariably PET-avid. Thus, the use of PET may upstage (or, rarely, downstage) ENKTL patients.[22,23] Total-body screening can detect subcentimeter lesions in occult extranodal sites such as the adrenals, muscles, and gut. Surprisingly, the maximal standardized uptake value (SUVmax) of ENKTL is usually lower than that of aggressive B-cell lymphomas, and objective criteria for defining positivity and responses are undefined.[22,23]
Despite a nasal primary in most patients, spread to the cerebrospinal fluid is surprisingly uncommon and routine lumbar puncture is not necessary.[24] However, a baseline ophthalmocopic evaluation and thorough ear, nose, and throat examination are recommended. The latter is particularly important in patients with apparent “primary extranasal” disease, where random biopsy may pick out an occult nasal primary, especially in patients with nasal PET uptake. In addition, most patients will have circulating EBV DNA in the plasma or peripheral blood that is derived from the malignant cells. The quantification of EBV DNA is proportional to the overall disease bulk and proliferation. It is useful both for baseline prognostication and longitudinal monitoring.[25] Whether a grossly elevated EBV DNA signifies occult disease dissemination (similar to positive PET or BM EBER staining) remains to be clarified. Moreover, the exact numeric readout and cutoff values for EBV DNA levels will vary according to methodology.
The Ann Arbor system and the International Prognostic Index (IPI) are still heavily used for staging and prognostication.[8] However, most patients have stage IE disease with unimpaired performance, and segregation by IPI is therefore poor. The Italian T-cell–specific index (age, LDH, marrow, extranodal sites)[26] and the Korean nasal NK lymphoma–specific index (B symptoms, nodal spread, LDH, and performance status)[6] are clinical scores that may outperform the IPI for triaging. Patients with higher score may require closer monitoring or upfront consolidation therapy.[27,28] Since the disease is mainly extranodal with rare marrow involvement, the tailored Korean index may be particularly useful for risk-stratifying nasal ENKTL patients, especially in the absence of PET, marrow EBER, and EBV DNA data.
Since disease incidence is rare even in prevalent areas, experience is limited and most treatment protocols are consensus-guided.[29] There has been no randomized controlled trial for ENKTL, and all data are derived from retrospective surveys and small prospective series. This carries an intrinsic referral and reporting bias, and treatment protocols may not be standardized. The prognosis has steadily improved for localized nasal disease, but it remains dismal for patients with extranasal and disseminated lesions.[1]

ENKTL is both chemosensitive and radiosensitive. The experience with radiotherapy (RT) for nasopharyngeal carcinoma in many Asian countries means that accurate in-field doses of 40 to 65 Gy can be delivered with acceptable morbidity. Data dating back to the 1970s with RT monotherapy showed response rates of 70% to 80%, and 5-year failure-free survival (FFS) of 50% to 60%.[30,31] Relapses occur as both in-field (30%–45%) and systemic (20%–60%) failures. Upfront chemotherapy was also previously popular, since immediate upfront RT may be limited by the availability of RT expertise and facility. Anthracycline-based CHOP-like regimens (eg, cyclophosphamide, doxorubicin, vincristine, prednisone) used for aggressive B-cell lymphoma treatment were the mainstay.[32,33] Post-RT relapses are also salvaged with chemotherapy. Despite high initial response rates, chemotherapy alone tends to yield a lower FFS of 25% to 40%.[1,9] In several analyses, the absence of an RT component was often a poor prognostic factor.[1,31] Hence, a combination of RT and chemotherapy is the current accepted standard of care for patients who can tolerate systemic treatment. Monotherapy with RT is reserved for patients with advanced age or comorbidity.
The optimal dose, combination, and sequence of radiotherapy and chemotherapy is still undefined. Some studies have shown that the efficacy of RT depends on field size and dose, and doses of up to 65 Gy with an adequate field appeared to yield better results.[30] There is also a trend to use “sandwich” protocols, with earlier RT after an initial two to three cycles of chemotherapy (with or without early PET reassessment), followed by further “consolidation” cycles of chemotherapy. Mimicking the success in head and neck tumors, investigators have administered chemosensitizing agents such as cisplatin together with concurrent radiotherapy, and this appeared to achieve better local control with a reduced radiation dose.[28,34]
More optimal chemotherapy combinations are also emerging. The high levels of P-glycoprotein in NK cells as a result of multidrug resistance (MDR) gene expression may cause resistance to anthracyline and vinca alkyloids, leading to inferior treatment outcomes.[35] Regimens based on non-P-glycoprotein efflux medications such as ifosfamide (VIPD protocol, see sidebar),[28] and methotrexate and asparaginase (Elspar; SMILE protocol, see sidebar),[36] may further improve response rates and survival (3-year progression-free survival of up to 85%). In particular, asparaginase alone showed promise even in relapsed and refractory disease.[10] In our institute, SMILE multiagent chemotherapy sandwiched with in-field RT is the current protocol for primary nasal ENKTL (Figure 2).
Patients with documented remission by PET–computed tomography (CT) scanning, endoscopic examination, biopsy, and EBV-DNA levels can be considered disease-free. Although some retrospective studies in the anthracycline treatment era showed that high-dose chemotherapy and autologous stem-cell transplantation (ASCT) in first remission may improve survival,[34] the role of this strategy in the current era of staging, treatment, and monitoring is unproven. Upfront ASCT is no longer offered to nasal ENKTL patients in first remission at our institution.[37] However, some apparently early-stage patients with high clinical risks of relapse may still be ASCT candidates on a trial basis.[27]
For patients with disseminated and extranasal disease, either at initial presentation or at relapse (with or without accompanying nasal disease), the prognosis is poor. The disease does not show durable response to aggressive chemotherapy and other treatment modalities. Durable disease control is seldom achieved with anthracycline-based chemotherapy.[1,8] Surprisingly, some patients with apparent stage IE extranasal disease (eg, single lesion in gut or testis) still had a poor eventual clinical outcome, despite a combination of chemotherapy and radiotherapy. In our experience, these patients either have high disease bulk and/or occult disseminated disease, as evident from PET-CT imaging, marrow EBV staining, and peripheral blood EBV DNA load. One exception may be localized stage IE cutaneous disease, which is frequently reported in Japan.[38]
For disseminated and refractory cases, the 5-year survival rate is below 10%, and better methods of treatment are needed. The use of methotrexate- and asparaginase-based chemotherapy may improve the remission rate and duration.[39] However, the response is often not durable, and relapses may be aggressive and uncontrolled. The use of ASCT in the setting of disseminated disease is of no apparent benefit.[34,37] In this setting, allogeneic hematopoietic stem-cell transplantation (HSCT) has shown some initial promise. Durable disease control was reported in up to half of these cases, albeit with heavy case selection.[37,40] It is uncertain whether a graft-vs-lymphoma or graft-vs-EBV effect may play a significant role.
Relapses in ENKTL lymphoma show a homing pattern similar to that of the presenting disease, but are usually more aggressive and chemorefractory. Very late relapses-10 to 30 years after initial presentation-have been reported in “cured” nasal ENKTL patients.[41] It is uncertain whether the disease represents a different primary EBV-related clone or genuine relapsed disease. For patients with localized (especially late) nasal relapse, disease is still susceptible to durable control (or even cure) by chemotherapy and radiotherapy. The utility of autologous and allogeneic ASCT in the nasal relapse setting has to be considered on an individual basis,[37] and stringent disease monitoring is advisable.
Since the prognosis of patients with relapsed or refractory disseminated ENKTL is dismal, novel agents are urgently needed. In vitro studies have shown preliminary activity of proteosome inhibitors, histone deacetylase inhibitors, and monoclonal antibodies (unconjugated, eg, CD52, alemtuzumab [Campath]; or toxin-linked, eg, denileukin diftitox [Ontak]) on ENKTL cell lines.[42] Some of these agents are already in clinical use for other mature T-cell neoplasms. However, no definitive clinical proof of activity has been shown, alone or in combination, for ENKTL.
With better disease definition, staging, and monitoring, treatment of ENKTL is becoming more rational. A large proportion of patients with localized nasal disease may enjoy prolonged disease-free survival. On the other hand, early HSCT or novel therapy may be recommended for aggressive extranasal disease. Unlike aggressive B-cell lymphoma, in dealing with ENKTL, it must be recognized that some patients may run a less predictable or even chronic disease course. Moreover, the need for local reconstructive surgery to repair tissue destruction should be recognized early. Finally, since late relapses are possible, a long-term vigilant follow-up is needed.
This article is part of a Special Series on Peripheral T-cell Lymphomas, guest edited by James O. Armitage, MD, Joe Shapiro Professor of Medicine and Professor and Chair of Oncology, University of Nebraska Medical School, Omaha.
Financial Disclosure:The author has no significant financial interest or other relationship with the manufacturers of any products or providers of any service mentioned in this article.
References
1. Au WY, Weisenburger DD, Intragumtornchai T, et al: Clinical differences between nasal and extranasal NK/T-cell lymphoma: A study of 136 cases from the International Peripheral T-cell Lymphoma Project. Blood 113:3931-3937, 2009.
2. Chan JKC, Quintanilla-Martinez L, Ferry JA, et al: Extranodal NK/T-cell lymphoma, nasal type, in Jaffe ES, Harris NL, Stein H, et al (eds): World Health Organization Classfication of Tumours of Haematopoietic and Lymphoid Tissues, pp 285-288. Lyon, France; IARC Press; 2008.
3. Quintanilla-Martinez L, Kremer M, Keller G, et al: p53 mutations in nasal natural killer/T-cell lymphoma from Mexico: Association with large cell morphology and advanced disease. Am J Pathol 159:2095-2105, 2001.
4. Au WY, Ma SY, Chim CS, et al: Clinicopathologic features and treatment outcome of mature T-cell and natural killer-cell lymphomas diagnosed according to the World Health Organization classification scheme: A single center experience of 10 years. Ann Oncol 16:206-214, 2005.
5. A clinical evaluation of the International Lymphoma Study Group classification of non-Hodgkin’s lymphoma. The Non-Hodgkin’s Lymphoma Classification Project. Blood 89:3909-3918, 1997.
6. Lee J, Suh C, Park YH, et al: Extranodal natural killer T-cell lymphoma, nasal-type: A prognostic model from a retrospective multicenter study. J Clin Oncol 24:612-618, 2006.
7. Oshimi K, Kawa K, Nakamura S, et al: NK-cell neoplasms in Japan. Hematology 10:237-245, 2005.
8. Chim CS, Ma SY, Au WY, et al: Primary nasal natural killer cell lymphoma: Long-term treatment outcome and relationship with the International Prognostic Index. Blood 103:216-221, 2004.
9. Bossard C, Belhadj K, Reyes F, et al: Expression of the granzyme B inhibitor PI9 predicts outcome in nasal NK/T-cell lymphoma: Results of a Western series of 48 patients treated with first-line polychemotherapy within the Groupe d’Etude des Lymphomes de l’Adulte (GELA) trials. Blood 109:2183-2189, 2007.
10. Jaccard A, Petit B, Girault S, et al: L-asparaginase-based treatment of 15 western patients with extranodal NK/T-cell lymphoma and leukemia and a review of the literature. Ann Oncol 20:110-116, 2009.
11. Au WY, Gascoyne RD, Klasa RD, et al: Incidence and spectrum of non-Hodgkin lymphoma in Chinese migrants to British Columbia. Br J Haematol 128:792-796, 2005.
12. Xu JX, Hoshida Y, Yang WI, et al: Life-style and environmental factors in the development of nasal NK/T-cell lymphoma: A case-control study in East Asia. Int J Cancer 120:406-410, 2007.
13. Kitamura A, Yamashita Y, Hasegawa Y, et al: Primary lymphoma arising in the nasal cavity among Japanese. Histopathology 47:523-532, 2005.
14. Hon C, Kwok AK, Shek TW, et al: Vision-threatening complications of nasal T/NK lymphoma. Am J Ophthalmol 134:406-410, 2002.
15. Takahashi N, Miura I, Chubachi A, et al: A clinicopathological study of 20 patients with T/natural killer (NK)-cell lymphoma-associated hemophagocytic syndrome with special reference to nasal and nasal-type NK/T-cell lymphoma. Int J Hematol 74:303-308, 2001.
16. Yasukawa K, Kato N, Kodama K, et al: The spectrum of cutaneous lymphomas in Japan: A study of 62 cases based on the World Health Organization Classification. J Cutan Pathol 33:487-491, 2006.
17. Lee SS, Jang JJ, Cho KJ, et al: Epstein-Barr virus-associated primary gastrointestinal lymphoma in non-immunocompromised patients in Korea. Histopathology 30:234-242, 1997.
18. Au WY, Kwong YL, Chan A: Scrotal skin ulcer in a patient with a previous tonsillectomy because of natural killer cell lymphoma. Am J Dermatopathol 20:582-585, 1998.
19. Iwatsuki K, Satoh M, Yamamoto T, et al: Pathogenic link between hydroa vacciniforme and Epstein-Barr virus-associated hematologic disorders. Arch Dermatol 142:587-595, 2006.
20. Lee J, Park YH, Kim WS, et al: Extranodal nasal type NK/T-cell lymphoma: Elucidating clinical prognostic factors for risk-based stratification of therapy. Eur J Cancer 41:1402-1408, 2005.
21. Lee J, Suh C, Huh J, et al: Effect of positive bone marrow EBV in situ hybridization in staging and survival of localized extranodal natural killer/T-cell lymphoma, nasal-type. Clin Cancer Res 13:3250-3254, 2007.
22. Khong PL, Pang CB, Liang R, et al: Fluorine-18 fluorodeoxyglucose positron emission tomography in mature T-cell and natural killer cell malignancies. Ann Hematol 87:613-621, 2008.
23. Kako S, Izutsu K, Ota Y, et al: FDG-PET in T-cell and NK-cell neoplasms. Ann Oncol 18:1685-1690, 2007.
24. Kim SJ, Oh SY, Hong JY, et al: When do we need central nervous system prophylaxis in patients with extranodal NK/T-cell lymphoma, nasal type? Ann Oncol Oct 22, 2009 (epub ahead of print).
25. Au WY, Pang A, Choy C, et al: Quantification of circulating Epstein-Barr virus (EBV) DNA in the diagnosis and monitoring of natural killer cell and EBV-positive lymphomas in immunocompetent patients. Blood 104:243-249, 2004.
26. Gallamini A, Stelitano C, Calvi R, et al: Peripheral T-cell lymphoma unspecified (PTCL-U): A new prognostic model from a retrospective multicentric clinical study. Blood 103:2474-2479, 2004.
27. Lee J, Au WY, Park MJ, et al: Autologous hematopoietic stem cell transplantation in extranodal natural killer/T cell lymphoma: A multinational, multicenter, matched controlled study. Biol Blood Marrow Transplant 14:1356-1364, 2008.
28. Kim SJ, Kim K, Kim BS, et al: Phase II trial of concurrent radiation and weekly cisplatin followed by VIPD chemotherapy in newly diagnosed, stage IE to IIE, nasal, extranodal NK/T-cell lymphoma: Consortium for Improving Survival of Lymphoma study. J Clin Oncol 27:6027-6032, 2009.
29. Kwong YL, Anderson BO, Advani R, et al: Management of T-cell and natural-killer-cell neoplasms in Asia: Consensus statement from the Asian Oncology Summit 2009. Lancet Oncol 10:1093-1101, 2009.
30. Koom WS, Chung EJ, Yang WI, et al: Angiocentric T-cell and NK/T-cell lymphomas: Radiotherapeutic viewpoints. Int J Radiat Oncol Biol Phys 59:1127-1137, 2004.
31. You JY, Chi KH, Yang MH, et al: Radiation therapy versus chemotherapy as initial treatment for localized nasal natural killer (NK)/T-cell lymphoma: A single institute survey in Taiwan. Ann Oncol 15:618-625, 2004.
32. Ma X, Guo Y, Pang Z, et al: A randomized phase II study of CEOP with or without semustine as induction chemotherapy in patients with stage I(E)/II(E) extranodal NK/T-cell lymphoma, nasal type in the upper aerodigestive tract. Radiother Oncol 93:492-497, 2009.
33. Kim SJ, Kim BS, Choi CW, et al: Treatment outcome of front-line systemic chemotherapy for localized extranodal NK/T cell lymphoma in nasal and upper aerodigestive tract. Leuk Lymphoma 47:1265-1273, 2006.
34. Au WY, Lie AK, Liang R, et al: Autologous stem cell transplantation for nasal NK/T-cell lymphoma: A progress report on its value. Ann Oncol 14:1673-1676, 2003.
35. Wang B, Li XQ, Ma X, et al: Immunohistochemical expression and clinical significance of P-glycoprotein in previously untreated extranodal NK/T-cell lymphoma, nasal type. Am J Hematol 83:795-799, 2008.
36. Yamaguchi M, Suzuki R, Kwong et al: Phase I study of dexamethasone, methotrexate, ifosfamide, l-asparaginase, and etoposide (SMILE) chemotherapy for advanced-stage, relapsed or refractory extranodal natural killer (NK)/T-cell lymphoma and leukemia. Cancer Sci 99:1016-1020, 2008.
37. Kwong YL: High-dose chemotherapy and hematopoietic SCT in the management of natural killer-cell malignancies. Bone Marrow Transplant 44:709-714, 2009.
38. Au WY, Weisenburger DD, Liang R: Prognosis of stage I/II nonnasal, extranodal NK/T cell lymphoma. Blood 113:6261-6262, 2009.
39. Yong W, Zheng W, Zhu J, et al: L-asparaginase in the treatment of refractory and relapsed extranodal NK/T-cell lymphoma, nasal type. Ann Hematol 88:647-652, 2009.
40. Suzuki R, Suzumiya J, Nakamura S, et al: Hematopoietic stem cell transplantation for natural killer-cell lineage neoplasms. Bone Marrow Transplant 37:425-431, 2006.
41. Au WY, Kim SJ, Yiu HH, et al: Clinicopathological features and outcome of late relapses of natural killer cell lymphomas 10-29 years after initial remission. Am J Hematol Jan 27, 2010 (epub ahead of print).
Schrader C, Janssen D, Kneba M, et al: A 38-year history of natural-killer-cell lymphoma. N Engl J Med 350:418-419, 2004.
42. Shen L, Au WY, Guo T, et al: Proteasome inhibitor bortezomib-induced apoptosis in natural killer (NK)-cell leukemia and lymphoma: An in vitro and in vivo preclinical evaluation. Blood 110:469-470, 2007.
Figure 1: Palatal Ulcer in a Patient With Primary Nasal Lymphoma-The adjoining primary lesion in nasal cavity can only be visualized endoscopically. Eventual necrosis after chemotherapy and radiotherapy results in direct perforation between the oral and nasal cavities, requiring use of a temporary obturator followed by flap reconstruction.
Figure 2: Extranasal NK Lymphoma-Extranasal natural killer (NK)-cell lymphoma presenting as a relentless calf lesion over 3 months, initially masquerading as an insect bite. Despite apparent local disease in a single cutaneous site, marrow staining for Epstein-Barr virus expressed RNA and positron-emission tomography scan showed occult marrow and adrenal spread.
Figure 3: Positive EBER Staining of NK Lymphoma-Positive Epstein-Barr virus expressed RNA (EBER) staining of natural killer (NK) lymphoma cells in a testicular biopsy of a patient with concomitant nasal and extranasal disease.
Figure 4: Management of ENKTL-Working algorithm of workup and treatment of extranodal NK/T-cell lymphoma (ENKTL). alloSCT = allogeneic stem cell transplantation; autoSCT = autologous stem cell transplantation; BM = bone marrow biopsy, EBER = EBV-expressed RNA staining; EBV = Epstein-Barr virus; nCR = near-complete remission; PETâ¯=â¯positron-emission tomography; P-Gp = P-glycoprotein efflux; RT = radiotherapy.
Targeted Therapy First Strategy Reduces Need for Chemotherapy in Newly Diagnosed LBCL
December 7th 2025Lenalidomide, tafasitamab, rituximab, and acalabrutinib alone may allow 57% of patients with newly diagnosed LBCL to receive less than the standard number of chemotherapy cycles without compromising curative potential.