A 32-year-old woman presents with a cutaneous nodule and a biopsy is performed. What is your diagnosis?
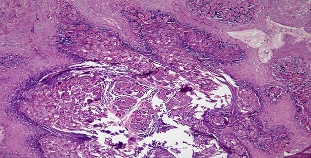
A 32-year-old woman presents with a cutaneous nodule and a biopsy is performed. According to the histopathology image below, what is your diagnosis?

What is your diagnosis?