A 40-year-old premenopausal woman with a new diagnosis of invasive lobular carcinoma occurring in a background of lobular carcinoma in situ presents to a multidisciplinary second opinion clinic.
SECOND OPINION
Multidisciplinary Consultations on Challenging Cases
The University of Colorado Denver School of Medicine faculty hold weekly second opinion conferences focusing on cancer cases that represent most major cancer sites. Patients seen for second opinions are evaluated by an oncologic specialist. Their history, pathology, and radiographs are reviewed during the multidisciplinary conference, and then specific recommendations are made. These cases are usually challenging, and these conferences provide an outstanding educational opportunity for staff, fellows, and residents in training.
The second opinion conferences include actual cases from genitourinary, lung, melanoma, breast, neurosurgery, gastrointestinal, and medical oncology. On an occasional basis, ONCOLOGY will publish the more interesting case discussions and the resultant recommendations. We would appreciate your feedback; please contact us at
second.opinion@uchsc.edu
.
E. David Crawford, MD
Thomas W. Flaig, MD
Guest Editors
University of Colorado Denver School of Medicine
and University of Colorado Cancer Center
Aurora, Colorado
A 40-year-old premenopausal woman with a new diagnosis of invasive lobular carcinoma occurring in a background of lobular carcinoma in situ presents to a multidisciplinary second opinion clinic. Herein, we describe the appropriate management of both noninvasive and invasive lobular carcinoma and provide a literature-based review of this controversial topic.
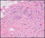
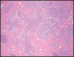
DR. NICOLE KOULANAKIS, surgical oncologist: The patient presented for baseline screening mammogram and was found to have a suspicious area of calcifications in the upper outer quadrant of her right breast (Figures 1 and 2). Stereotactic core needle biopsy revealed pleomorphic lobular carcinoma in situ (LCIS). Her history and physical exam were unremarkable. Family history was significant for two paternal cousins diagnosed with breast cancer in their 50s and a paternal uncle with a “stomach cancer.” The patient underwent a follow-up stereotactic guided biopsy which revealed a 7-mm focus of ER-positive, PR-negative, HER2/neu-negative invasive pleomorphic lobular carcinoma in the setting of diffuse LCIS (Figures 3 and 4). After discussion of her treatment and future cancer-prevention options, the patient elected to undergo bilateral mastectomies, right axillary sentinel lymph node biopsy, and immediate reconstruction. The final pathology demonstrated multiple foci of LCIS present in both mastectomy specimens, and no additional invasive cancer. The sentinel lymph nodes were negative for any metastatic disease.
FIGURE 1

Craniocaudal view of right breast mammogram.FIGURE 2

Mediolateral view of right breast mammogramFIGURE 3

Invasive lobular carcinomaFIGURE 4

Lobular carcinoma in situ
This case brings up the role of LCIS in breast cancer diagnosis, management, and prevention, as well as the unique histologic subtype of pleomorphic lobular carcinomas. Let's start by discussing LCIS, a continuing conundrum in breast cancer.
DR. WENDY HORN, mammographer: LCIS is a clinically and radiographically occult tumor. Detection usually occurs as an incidental finding during surgery, although increased use of mammographic screening has led to a greater identification on core needle biopsy. The incidence of LCIS is low: < 5% of all surgical excisions and approximately 3% of all core needle biopsies are diagnosed as LCIS.[1,2]
DR. NICOLE KOULANAKIS: Although LCIS is usually radiographically silent, are there any specific lesions on mammography associated with LCIS? What is the role of MRI in detection, and of surveillance after the diagnosis is made?
DR. WENDY HORN: Despite its predominantly occult nature, LCIS has been shown to be associated with mammographic calcifications, and radiologic-pathologic concordance must be established after every biopsy.[3,4] Mammographic findings occur more commonly with the pleomorphic variant of LCIS, given its tendency to undergo comedo necrosis and thus form calcifications.[5] This was the case with our patient: she underwent a stereotactic biopsy for abnormal calcifications found on a screening mammogram, which led to her diagnosis of pleomorphic LCIS.
There are no specific findings of LCIS on MRI. Currently, MRI is recommended for screening only in women with a greater than 20% lifetime risk of breast cancer. There are several high-risk groups for which data are insufficient to recommend for or against MRI screening. These are women with a history of breast cancer, ductal or lobular in situ disease, or atypical hyperplasia, and those with dense breasts on mammogram.[6] The presence of atypia, LCIS, or markedly dense breasts can be taken into account when calculating lifetime risk of breast cancer, and so may contribute to the breast cancer risk estimate of greater than 20% for a woman.
DR. NICOLE KOULANAKIS: LCIS is characterized as an indolent disease found predominantly in premenopausal women 40–50 years old. Interestingly, the incidence of LCIS in postmenopausal women has been steadily rising.[7] Older women also have a greater risk of developing a subsequent cancer once they have been diagnosed with LCIS.[8] More than 50% of patients diagnosed with LCIS will have multicentric ipsilateral involvement, and approximately 30% will have contralateral LCIS.[4] This supports the findings in our patient, although the clinical impact of multicentric and contralateral LCIS remains unclear.
DR. SONALI JINDAL AND DR. JOSH WISELL, pathologists: Lobular malignancy represents a spectrum of disease varying from noninvasive lobular proliferations, including atypical lobular hyperplasia (ALH) and LCIS, to invasive lobular carcinoma (ILC).
In ALH, neoplastic cells replace the normal epithelium of a terminal ductal lobular unit, often a relatively subtle finding. With progression to LCIS, the neoplastic proliferation increases and the changes become more prominent, expanding the lobules and extending into larger ducts, but still constrained by a basement membrane. ILC results once the neoplastic cells have extended beyond the basement membrane.
There are two known histologic types of LCIS. The “classic” variant demonstrates small cells with scant cytoplasm and small, round nuclei that lack nucleoli. The more aggressive “pleomorphic” variant has abundant cytoplasm, large variably shaped nuclei, and more prominent nucleoli. As explained earlier in the case discussion, this variant is more likely to undergo comedo necrosis, form calcifications, and be detected on screening mammograms.
Recent investigation has indicated that ILC advances from ALH/LCIS, as they all share a common molecular profile: ER/PR positive, HER2/neu negative, cytokeratin positive, and loss of E-cadherin.[9,10] The risk of progression of LCIS to invasive cancer of either the ductal or lobular type varies from 23%–36% in reported studies, with most demonstrating predominance toward development of ILC.[4,5]
The loss of heterozygosity at 11q13 in LCIS may be a marker for increased risk of developing invasive cancer and may prove to be a useful prognostic tool in the future.[11] Further understanding of the lobular neoplastic spectrum is required to permit improved identification and treatment of noninvasive lesions with greater malignant potential.
DR. VIRGINIA BORGES: What should the surgical management of LCIS be?
DR. NICOLE KOULANAKIS AND DR. CHRISTINA FINLAYSON: The surgical management of LCIS differs based on how the diagnosis is made. When LCIS is diagnosed as an incidental finding on a surgical excision, additional surgery is not indicated. We do not advocate negative margin resection for LCIS. It is well understood that in patients with invasive cancer, detection of LCIS at the margin of the lumpectomy is not associated with an increased risk of local recurrence.[12,13] In a recent analysis of LCIS treated with local excision with microscopically negative margins, the ipsilateral breast cancer recurrence was still 14.4% at 12 years.[14] These outcomes are comparable to those of studies in which patients received local excision without attention to margins: 10%–18% at 10 years.[8,15]
When LCIS is the only pathology found on a core needle biopsy associated with a mammographically detected lesion, a sampling error becomes a valid concern. LCIS may not accurately represent this radiographic finding, and more advanced disease could be present. In several studies, further surgical excision of LCIS revealed either DCIS or invasive cancer in 25%–31% of all cases.[1,2,16] Thus, surgical excision is warranted if LCIS is diagnosed on core needle biopsy.
DR. VIRGINIA BORGES: What is the risk of developing cancer?
DR. NICOLE KOULANAKIS AND DR. CHRISTINA FINLAYSON: In the majority of patients, LCIS is an indolent disease. As discussed, when patients are treated with surgical excision alone, the reported rate of ipsilateral local recurrence ranges from 10%–18% at 10 years.[8,14,15] The risk of subsequent contralateral invasive disease becomes more significant only with longer follow-up: 14% at 10 years and up to 18% at 25 years.[8,17] Older patients with LCIS are at an increased risk for developing an invasive cancer. For patients with LCIS who are younger than 40 years of age, the incidence of invasive breast cancer in either breast is 8.3% after 25 years of follow-up but rises to 25% in patients diagnosed with LCIS who are over the age of 60 years.[8]
The pathology of the subsequent invasive cancers after LCIS differs significantly among the studies, although the most recent data show a trend toward ILC occurring in the previous biopsy site. A SEER (Surveillance, Epidemiology and End Results) database review showed that the histology of invasive breast cancer diagnosed after LCIS was lobular in 23% of patients and ductal in 6.5%.[8] These findings support the histological evidence that ALH/LCIS may serve as a precursor to ILC. This observation at the pathological level has not led to changes in the operative treatment of LCIS. The clinical significance of these pathologic findings will require further investigation and, it is hoped, will lead to means of identifying patients who may benefit from greater local treatment of LCIS.
DR. JENNIFER DIAMOND, medical oncologist: First we will address the issue of primary prevention after a diagnosis of LCIS in the absence of invasive cancer. Chemoprevention with selective estrogen receptor modulators has demonstrated significant risk reduction in this setting. Because of this patient's age, tamoxifen would be the prevention drug of choice, as the STAR (Study of Tamoxifen and Raloxifene) prevention trial comparison with raloxifene (Evista) was restricted to postmenopausal women.[18] Chemoprevention with tamoxifen taken for 5 years, as studied in the National Surgical Adjuvant Breast and Bowel Project Breast Cancer Prevention Trial (BCPT, or NSABP P-1), resulted in an initial 86% reduction in risk of invasive breast cancer, compared with placebo. This 86% reduction occurred in women who had LCIS as a high-risk criterion for study enrollment, reflecting a higher benefit rate for this subgroup than the overall study population. On longer follow-up, the data curves have changed, and the risk reduction for the LCIS has declined to 46% with 7 years of follow-up.[19,20]
In this premenopausal patient with a diagnosis of LCIS and ILC together, we must also consider the role of secondary prevention of future breast cancers. The potential for a contralateral breast cancer (CBC) is approximately 20% at 7 years, nearly double that expected for a case of invasive ductal carcinoma.[21,22] These rates are notably higher than those previously reviewed regarding the risk associated with noninvasive lobular disease. Secondary CBC prevention would be an anticipated added benefit to the standard recommendation for tamoxifen as adjuvant therapy in this patient. The exact protective effect of tamoxifen in premenopausal women must account for the frequent concomitant use of chemotherapy, with a resultant increase in transition to postmenopausal status that is known to influence CBC rates.
The limited available data do suggest that younger age, ER-positive tumor, and use of only tamoxifen as therapy afford significant CBC risk reduction at 5 years of follow-up.[23] One study specific to this patient population demonstrated a 90% reduction in CBC with 2 years of adjuvant tamoxifen treatment in women under 40 years of age, with a mean follow-up of 14 years.[22] The standard duration of antiendocrine treatment for this patient in the US is 5 years of tamoxifen, and this study is highlighted only to emphasize the importance of protection against both CBC and metastasis for young women facing invasive breast cancer.
Bilateral prophylactic mastectomy is a maximal risk-reduction approach for the prevention of future breast cancer in women with LCIS or invasive breast cancer; however, few data are available comparing it to chemoprevention in combination with careful surveillance. Whether or not to undergo bilateral prophylactic mastectomy for LCIS or unilateral invasive breast cancer is a personal decision that patients must make after a careful discussion of the risk of future breast cancer and the benefit of chemoprevention and surveillance.
DR. CATHERINE KLEIN, medical oncologist: A strong hereditary component exists in 5%–10% of all newly diagnosed breast cancers. These are recognized when they occur in very young women, and when clusters of breast cancers, particular combinations of cancers, or multiple tumor types exist in a family.
Hereditary diffuse gastric cancers (HDGC) is a syndrome in which affected individuals harbor a 70% risk for gastric cancer and a 20%–40% risk for the development of lobular breast cancer.[24] Autosomal dominant inheritance of a germ-line mutation in CDH1, an epithelial cadherin gene, is responsible for the syndrome.[25]
Genetic testing for germ-line mutations in any of the recognized syndromes should be undertaken when the benefits of knowing the information are understood by the patient, and when these benefits outweigh the risks of testing. In families with diffuse gastric cancer/lobular breast cancer, when mutations are detected, at-risk individuals can be offered preventive/screening strategies, and unaffected family members can be reassured. For the breast cancer risk, women should be offered annual MRI and mammographic screening to begin at the age of 20–25 years, and some may opt for prophylactic mastectomies. The screening for diffuse gastric cancer in families with HDGC is biannual endoscopy, which unfortunately has a high false-negative rate. Many centers advocate for early prophylactic gastrectomy to be performed 5 years earlier than the age at which the youngest family member who developed gastric cancer was diagnosed. Alhough this is a highly morbid undertaking, it is considered a lifesaving procedure in patients with HDGC. In high-risk families in which no mutation is detected, all members must be screened, but operative intervention is not offered.
Our patient's family history, her young age at diagnosis, and the multifocal nature of her malignancy suggest a hereditary component. Genetic testing should be recommended.
DR. KYLE RUSTHOVEN, radiation oncologist:The presence of invasive lobular carcinoma no longer independently influences local therapy decisions. Multiple studies have reported that the incidence of clinically significant multicentricity and the rate of ipsilateral recurrence after lumpectomy are similar for both invasive lobular and ductal carcinomas.[26-28]
Accelerated partial breast irradiation (APBI) represents a novel strategy for the treatment of early-stage breast cancers. Data from three multi-institutional phase II clinical trials performed in North America have demonstrated favorable rates of ipsilateral breast tumor control for selected patients treated with APBI using multicatheter brachytherapy, balloon brachytherapy, or three-dimensional conformal radiation techniques.[29-31] All three studies, however, excluded patients with invasive lobular cancer. In contrast, several European studies evaluating APBI have included patients with lobular histology. A recent phase II trial from Germany and Austria evaluating multicatheter brachytherapy APBI enrolled 45 patients with invasive lobular carcinoma and reported no significant difference in the incidence of local recurrence, compared with other breast cancer histologies.[31]
Two consensus statements were recently published that address appropriate patient selection for APBI.[32,33] Both the American Society for Therapeutic Radiology and Oncology (ASTRO) and the European Society for Therapeutic Radiology and Oncology (ESTRO) placed patients with invasive lobular carcinoma in the “cautionary” or “intermediate group” and recommended APBI only in the context of a clinical trial.[32,33] When eligible, patients with small lobular cancers (< 3 cm) with 0–3 positive axillary lymph nodes should be considered for enrollment in the ongoing NSABP B-39/RTOG 0413 phase III trial which is comparing whole breast and partial breast radiation therapy after lumpectomy in selected patients with stage I–II breast cancer.
DR. NICOLE KOULANAKIS: What is the medical oncology approach to invasive lobular cancer, and what would the recommended systemic adjuvant therapy be for this patient?
DR. ANTHONY ELIAS, medical oncologist:Invasive lobular cancer is responsible for approximately 10% of all breast cancers. A recent large stage-matched comparison of ILC to IDC using SEER data has reported improved disease-specific survival for ILC, although older reports had shown equivalent or poorer outcomes.[13,34] In concordance with the emerging data on how ER+/PR+ tumors have lower benefit from chemotherapy in general, ILC has also been specifically associated with reduced benefit in achieving pathology complete responses when treated with neoadjuvant chemotherapy, compared with ductal carcinomas.[21,34] In addition, patients often present with larger tumors, have an increased frequency of contralateral cancers (20% vs 11%) compared with invasive ductal carcinoma, and often have a distinct pattern of metastatic spread involving the ovaries and gastrointestinal tract.[21] Pleomorphic invasive lobular carcinoma is an aggressive variant of ILC with a worse prognosis.[35] This subset also shares ER+ tumor biology, although it can be PR negative and shows an increased amplification of HER2/neu. These tumors also frequently demonstrate features of apocrine differentiation.[36]
Current thinking places greater emphasis on biologic characteristics of breast cancers than on the histology alone. Classical invasive lobular cancers usually are ER and PR positive and HER2 negative with a low Ki-67 proliferation index and a lower grade at diagnosis. Pleomorphic lobular cancers are a unique subset in terms of their potential to present with less-favorable features as outlined, as well as a higher grade or measures of proliferative drive. The genomic assays, such as Oncotype Dx or MammaPrint, that are commonly employed to help guide decision-making for T1, ER-positive, node-negative breast cancer do not specifically focus on histologic subtype, but have been used for ILC. The use of these assays requires the assumption that the biologic characteristics of the tumor will encompass its recurrence potential, regardless of a less common histology. Further data on the unique histologic subsets and the validity of using such genomic tools in clinical decision-making would be of benefit. The recently completed TAILORx clinical trial designed to prospectively confirm the validity of this assay and guide interpretation of intermediate-range scores for anticipated benefit from chemotherapy may provide further understanding of the less-common histologic subtypes. One retrospective comparison of ILC versus IDC noted that the overall prognosis of ILC is not better than that of IDC, despite the more common presence of favorable biologic prognostic markers; however, this analysis did not incorporate current genomic risk-assessment tools.[21] This patient opted for antiendocrine therapy with tamoxifen without chemotherapy after consideration of the potential risks, benefits, and unknowns of her cancer.
DR. NICOLE KOULANAKIS: Lobular carcinoma in situ is a clinically and radiographically occult lesion that serves as a marker for increased risk of invasive cancer. Although it is relatively uncommon, it is currently understood to be an indolent disease process showing invasive cancer on long-term follow-up (>10 years). There is currently no indication for greater local control, although negative-margin surgical excision or radiotherapy is recommended if LCIS is the most significant pathologic finding. Emerging pathologic data may help oncologists to define this entity more fully in the future. Once the diagnosis is made, patients should be followed with yearly mammograms and should consider prevention strategies, such as tamoxifen. Given the risk of sampling error, however, LCIS on a core biopsy mandates further excision. When invasive lobular carcinoma is found in conjunction with LCIS, both standard breast cancer treatment guidelines and consideration of secondary prevention interventions for new contralateral primary cancers need to be addressed. Pleomorphic ILC is an identifiable subtype with the potential for poorer prognostic features, including PR negativity, higher grade, and HER2/neu overexpression. An uncommon germline genetic mutation in CDH1 is uniquely associated with lobular histology breast cancer, and a detailed family history needs to include screening for gastric cancer in addition to the more commonly sought breast and ovarian cancer diagnoses.
Financial Disclosure:The authors have no significant interest or other relationship with the manufacturers of any products or providers of any service mentioned in this article.
REFERENCES
1. Elsheikh TM, Silverman JF. Follow-up surgical excision is indicated when breast core needle biopsies show atypical lobular hyperplasia or lobular carcinoma in situ: a correlative study of 33 patients with review of the literature. Am J Surg Pathol. 2005;29:534-43.
2. Foster MC, Helvie MA, Gregory NE, et al. Lobular carcinoma in situ or atypical lobular hyperplasia at core-needle biopsy: is excisional biopsy necessary? Radiology. 2004;231:813-9.
3. Georgian-Smith D, Lawton TJ. Calcifications of lobular carcinoma in situ of the breast: radiologic-pathologic correlation. AJR Am J Roentgenol. 2001;176:
1255-9.
4. Simpson PT, Gale T, Fulford LG, et al. The diagnosis and management of pre-invasive breast disease: pathology of atypical lobular hyperplasia and lobular carcinoma in situ. Breast Cancer Res. 2003;5:258-62.
5. Carder PJ, Shaaban A, Alizadeh Y, et al. Screen-detected pleomorphic lobular carcinoma in situ (PLCIS): risk of concurrent invasive malignancy following a core biopsy diagnosis. Histopathology. 2010;57:472-8.
6. Mann RM, Kuhl CK, Kinkel K, Boetes C. Breast MRI: guidelines from the European Society of Breast Imaging. Eur Radiol. 2008;18:1307-18.
7. Li CI, Anderson BO, Daling JR, Moe RE. Changing incidence of lobular carcinoma in situ of the breast. Breast Cancer Res Treat. 2002;75:259-68.
8. Chuba PJ, Hamre MR, Yap J, et al. Bilateral risk for subsequent breast cancer after lobular carcinoma-in-situ: analysis of surveillance, epidemiology, and end results data. J Clin Oncol. 2005;23:5534-41.
9. Hanby AM, Hughes. In situ and invasive lobular neoplasia of the breast. Histopathology. 2008;52:58-66.
10. Page DL, Schuyler PA, Dupont WD, et al. Atypical lobular hyperplasia as a unilateral predictor of breast cancer risk: a retrospective cohort study. Lancet. 2003;361:125-9.
11. Nayar R, Zhuang Z, Merino MJ, Silverberg SG. Loss of heterozygosity on chromosome 11q13 in lobular lesions of the breast using tissue microdissection and polymerase chain reaction. Hum Pathol. 1997;28:277-82.
12. Ben-David MA, Kleer CG, Paramagul C, et al. Is lobular carcinoma in situas a component of breast carcinoma a risk factor for local failure after breast-conserving therapy? Results of a matched pair analysis. Cancer. 2006;106:28-34.
13. Ciocca RM, Li T, Freedman GM, Morrow M. Presence of lobular carcinoma in situ does not increase local recurrence in patients treated with breast-conserving therapy. Ann Surg Oncol. 2008;15:2263-71.
14. Fisher ER, Land SR, Fisher B, et al. Pathologic findings from the National Surgical Adjuvant Breast and Bowel Project: twelve-year observations concerning lobular carcinoma in situ. Cancer. 2004;100:238-44.
15. Ottesen GL, Graversen HP, Blichert-Toft M, et al. Carcinoma in situ of the female breast. 10 year follow-up results of a prospective nationwide study. Breast Cancer Res Treat. 2000;62:197-210.
16. Brem RF, Lechner MC, Jackman RJ, et al. Lobular neoplasia at percutaneous breast biopsy: variables associated with carcinoma at surgical excision. AJR Am J Roentgenol. 2008;190:637-41.
17. Claus EB, Stowe M, Carter D, Holford T. The risk of a contralateral breast cancer among women diagnosed with ductal and lobular breast carcinoma in situ: data from the Connecticut Tumor Registry. Breast. 2003;12: 451-6.
18. Vogel VG, Costantino JP, Wickerham DL, et al. Effects of tamoxifen vs raloxifene on the risk of developing invasive breast cancer and other disease outcomes: the NSABP Study of Tamoxifen and Raloxifene (STAR) P-2 trial. JAMA. 2006;295:2727-41.
19. Fisher B, Costantino JP, Wickerham DL, et al. Tamoxifen for the prevention of breast cancer: current status of the National Surgical Adjuvant Breast and Bowel Project P-1 study. J Natl Cancer Inst. 2005;97:1652-62.
20. Fisher B, Anderson S, Bryant J, et al. Twenty-year follow-up of a randomized trial comparing total mastectomy, lumpectomy, and lumpectomy plus irradiation for the treatment of invasive breast cancer. N Engl J Med. 2002;347:1233-41.
21. Arpino G, Bardou VJ, Clark GM, Elledge RM. Infiltrating lobular carcinoma of the breast: tumor characteristics and clinical outcome. Breast Cancer Res. 2004;6:R149-56.
22. Alkner S, Bendahl PO, Fernö M, et al. Tamoxifen reduces the risk of contralateral breast cancer in premenopausal women: Results from a controlled randomised trial. Eur J Cancer. 2009;45:2496-502.
23. Bertelsen L, Bernstein L, Olsen JH, et al. Effect of systemic adjuvant treatment on risk for contralateral breast cancer in the Women's Environment, Cancer and Radiation Epidemiology Study. J Natl Cancer Inst. 2008;100:32-40.
24. Cisco RM, Ford JM, Norton JA. Hereditary diffuse gastric cancer: implications of genetic testing for screening and prophylactic surgery. Cancer. 2008;113(7 Suppl):1850-6.
25. Norton JA, Ham CM, Van Dam J, et al. CDH1 truncating mutations in the E-cadherin gene: an indication for total gastrectomy to treat hereditary diffuse gastric cancer. Ann Surg. 2007;245:873-9.
26. Morrow M. Keeney K, Scholtens D, et al. Selecting patients for breast-conserving therapy: the importance of lobular histology. Cancer. 2006;106:2563-8.
27. Sastre-Garau X, Jouve M, Asselain B, et al. Infiltrating lobular carcinoma of the breast. Clinicopathologic analysis of 975 cases with reference to data on conservative therapy and metastatic patterns. Cancer. 1996;77:113-20.
28. Weiss MC, Fowble BL, Solin LJ, et al. Outcome of conservative therapy for invasive breast cancer by histologic subtype. Int J Radiat Oncol Biol Phys. 1992; 23:941-7.
29. Arthur DW, Winter K, Kuske RR, et al., A phase II trial of brachytherapy alone after lumpectomy for select breast cancer: tumor control and survival outcomes of RTOG 95-17. Int J Radiat Oncol Biol Phys. 2008;72:467-73.
30. Benitez PR, Keisch ME, Vicini F, et al. Five-year results: the initial clinical trial of MammoSite balloon brachytherapy for partial breast irradiation in early-stage breast cancer. Am J Surg. 2007;194:456-62.
31. Ott OJ, Lotter M, Sauer R, Strnad V. Accelerated partial breast irradiation with multi-catheter brachytherapy: Local control, side effects and cosmetic outcome for 274 patients. Results of the German-Austrian multi-centre trial. Radiother Oncol. 2007;82:281-6.
32. Smith BD, Arthur DW, Buchholz TA, et al. Accelerated partial breast irradiation consensus statement from the American Society for Radiation Oncology (ASTRO). Int J Radiat Oncol Biol Phys. 2009;74:987-1001.
33. Polgar C, Van Limbergen E, Pötter R, et al. Patient selection for accelerated partial-breast irradiation (APBI) after breast-conserving surgery: recommendations of the Groupe Europeen de Curietherapie-European Society for Therapeutic Radiology and Oncology (GEC-ESTRO) breast cancer working group based on clinical evidence (2009). Radiother Oncol. 2010;94:264-73.
34. Wasif N, Maggard MA, Ko CY, Giuliano AE. Invasive lobular vs. ductal breast cancer: a stage-matched comparison of outcomes. Ann Surg Oncol. 2010;17:1862-9.
35. Buchanan CL, Flynn LW, Murray MP, et al. Is pleomorphic lobular carcinoma really a distinct clinical entity? J Surg Oncol. 2008;98:314-7.
36. Simpson PT, Reis-Filho JS, Lambros MB, et al. Molecular profiling pleomorphic lobular carcinomas of the breast: evidence for a common molecular genetic pathway with classic lobular carcinomas. J Pathol. 2008;215:231-44.