A 56-year-old man presents with an enlarged prostate. After a biopsy is performed, what is your diagnosis?
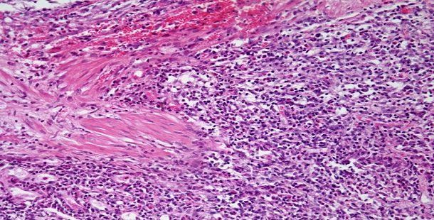
A 56-year-old man presents with an enlarged prostate. According to the histopathology image below, what is your diagnosis?

What is your diagnosis?