Hypofractionated stereotactic radiotherapy (SRT) appears to be safe and effective in preventing recurrence at resection cavities following surgical resection of brain metastasis and may spare many patients from whole brain radiotherapy (WBRT) and its adverse effects.
Hypofractionated stereotactic radiotherapy (SRT) appears to be safe and effective in preventing recurrence at resection cavities following surgical resection of brain metastasis and may spare many patients from whole brain radiotherapy (WBRT) and its adverse effects, according to Hsiang-Hsuan M. Yu, MD, of the Moffitt Cancer Center in Tampa, Florida (AACR abstract 737).

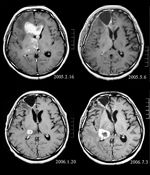
MRI of brain. (Top left) Initial MRI shows a tumor in the right and left frontal lobe as well as the right thalamus. (Top right) MRI after surgery, radiation, and chemotherapy. The tumor has completely disappeared except for slight enhancement adjacent to the surgical margin. (Bottom left) Increase in size of the thalamic tumor two months after stereotactic radiotherapy. (Bottom right) After 6 cycles of TMZ therapy, the thalamic lesion enlarged, and the patient developed dysarthria and hemiparesis. Source: Fujimaki T, Ishii H, Matsuno A, Arai H, Nakagomi T. Effectiveness of interferon-beta and temozolomide combination therapy against temozolomide-refractory recurrent anaplastic astrocytoma.World J Surg Oncol. 2007 Aug 4;5:89.
To investigate the efficacy of postoperative hypofractionated SRT after resection of brain metastasis, investigators retrospectively analyzed 52 consecutive patients with brain metastasis from solid tumors who underwent surgical resection followed by SRT to the resection cavity for at least 1 metastasis.
A total of 25 to 30 Gy in 5 daily fractions over a 1-week period was prescribed to the resection cavity with a margin of 2 mm expansion (median dose 28.5 Gy) between 2 to 4 weeks postoperatively.
Synchronous oligometastasis, if present, was treated with radiosurgery. No patients received upfront WBRT. All patients were followed up for at least 6 months. The radiographic end point was local tumor control at resection cavity.
Preliminary analyses showed a local control rate of 86% at 12 months at the resection site; none of the patients developed radiation-induced injury at the resection site.
Although WBRT decreases the risk of recurrence at the resection site, it is also associated with neurocognitive complications. Postoperative radiosurgery is a new technique aimed at decreasing recurrence and sparing patients from WBRT, but a single high-dose fraction may increase radiation-induced necrosis.
“Hypofractionated SRT delivers a higher radiobiological dose which may potentially provide higher local tumor control, and fractionation may lower risk of radiation-induced injury,” explained Dr. Yu.