Therapy of patients with brain metastases requires a combination of measures to achieve local control at the site of metastasis and to reduce the subsequent risk of recurrences elsewhere in the brain. In the current review, we discuss recent developments in the management of patients with brain metastases.
Metastatic lesions to the brain occur commonly in oncology patients and portend a very poor outcome, as they often occur in the setting of progressive systemic metastatic disease and can result in neurologic deterioration that may preclude therapy. Therapy of patients with brain metastases requires a combination of measures to achieve local control at the site of metastasis (e.g., with surgical resection or radiosurgery) and to reduce the subsequent risk of recurrences elsewhere in the brain (e.g., with whole-brain radiation). Successful therapy of extracranial systemic metastases is required for optimal outcomes. Clinical trials are currently underway to define the optimal role of whole-brain radiation and radiosurgery in different subsets of patients. Novel therapies to enhance radiation responsiveness are also under investigation. In the current review, we discuss recent developments in the management of patients with brain metastases.
The development of brain metastases is an unfortunate and common complication in oncology patients. Data from several studies suggest that up to 40% of patients with certain metastatic cancers (eg, lung cancer) may develop brain metastases over their lifetime. Even this relatively high figure is probably an underestimate, as these lesions may remain asymptomatic, to be detected only on autopsy; may be misdiagnosed since they present with atypical findings (eg, with hemorrhage); and often occur in terminally ill patients, in whom a thorough diagnostic evaluation may not be desired or tolerated. Even when brain metastases are suspected, the detection rate may depend on the availability of appropriate imaging technology.
Patients with brain metastases have a very poor prognosis-the median survival of untreated patients is approximately 1 month.[1] Death can be attributed to neurologic complications in around half of all patients, and to progression of systemic metastases in the rest. Since brain metastases result in a significant degree of morbidity and mortality, therapy of this complication assumes importance in the overall care of the patient. The status of systemic metastases-their presence and rate of progression-is an important prognostic factor. Therefore, therapy directed toward extracranial metastases is also an essential component of treatment.
The exact population incidence of brain metastases is unknown, and the studies done to assess this issue are fraught with methodologic issues that make identification of time trends difficult. The annual population incidence of central nervous system (CNS) metastases in Iceland was found to be 2.8 per 100,000 in a survey conducted in the 1950s to 1960s. A more recent population-based survey (from 1972) suggested an annual incidence of 11.1 per 100,000.[2] Other studies from autopsy series suggest that up to 25% of all oncology patients will have developed brain metastases at the time of their death.[2,3] One-third of these were clinically silent antemortem. Several investigators have speculated that brain metastases have become an increasingly common problem in oncology patients due to improvements in diagnostic techniques as well as improvements in survival as a result of better therapies.[2] Due to the high prevalence of this problem, it is critical for the practicing oncologist to become aware of the issues involved in managing this complication.
The most common primary solid tumors that are responsible for brain metastases are lung cancer (50%-60%), breast cancer (10%-15%), melanoma and renal cell cancer (5%-10% each), with a variety of other malignancies (eg, gastrointestinal cancers) producing the rest.[4-6] Patients with certain hematologic malignancies (eg, subtypes of non-Hodgkin's lymphoma) have an extraordinarily high (> 25%) lifetime risk of brain involvement[7]; further discussion of the management of these hematologic malignancies is outside the scope of this review. Certain commonly occurring cancers (eg, colon cancer) uncommonly metastasize to the brain, whereas some less prevalent cancers (eg, melanoma and renal cell cancer) seem to present with brain metastases relatively commonly. These observations would support the hypothesis that metastases to the brain are caused by specific receptor-ligand interactions between tumor cells and the cerebral vasculature, rather than the effect of tumor emboli randomly lodging in narrow cerebral arterioles.[8]
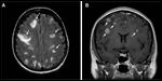
FIGURE 1

MRI of Brain Metastases
Patients with brain metastases typically present with signs of focal neurologic dysfunction. These symptoms include seizures and focal motor or sensory deficits. The diagnosis requires use of imaging studies (magnetic resonance imaging [MRI] is the most sensitive method) and possibly a pathologic confirmation (surgical biopsy or resection), and infrequently involves the need to sample the cerebrospinal fluid (Figure 1).
The extent of the diagnostic work-up required depends on the clinical situation. For example, invasive procedures may not be required in a patient with known cancer with widespread metastases who presents with neurologic deficits and has characteristic imaging findings. Several clinical prognostic factors have been identified in this patient group that result in poor outcomes; the best validated of these are advanced age, poor performance status, lack of response to steroid therapy, and concurrent progression of extracranial metastases.[9,10] Therapeutic decisions require an understanding of an individual patient's baseline prognosis, especially so that futile therapy can be avoided for patients with a very poor prognosis.
The treatment of patients with brain metastases is almost always administered with palliative intent, given the small likelihood of achieving long-term survival. The realistic goals of therapy for most patients with brain metastases are to improve symptoms and quality of life. Some of the interventions discussed below have been demonstrated to moderately prolong survival in selected patient subsets.
Appropriate management of brain metastases requires a multidisciplinary approach, with input from several medical and ancillary specialties such as radiology, radiation and medical oncology, neurosurgery, neurology, psychiatry, and physical therapy. Optimal supportive care represents the minimum therapy required for all patients. Therapy directed toward the brain metastases (radiation and surgery) should be offered only to selected patients-the best candidates for such therapy are younger patients with a good baseline prognostic status (good performance status) and limited and/or well-controlled extracranial metastatic disease (Figure 2).
FIGURE 2

Suggested Algorithm for the Management of Brain Metastases
Palliative therapy directed at the brain metastases can result in high rates of response and symptomatic improvement (usually > 90%), with a significant reduction in the risk of disease recurrence in the brain,[11] prolongation of the duration that patients can remain functional neurologically,[6] and in a small fraction of patients (usually 1%-2%), long-term disease control.[12-15] Successful treatment of systemic metastases is essential for optimal long-term cancer-related outcomes and should be offered in conjunction with therapy directed at the brain metastases. The availability of systemic therapy options and the likelihood of response to such therapy depends on the nature of the primary tumor (eg, patients with metastatic breast cancer are more likely to have effective treatment options for systemic metastases than are those with metastatic melanoma).
Optimal supportive care of a patient with brain metastases involves the use of steroids for cerebral edema (which occurs in almost all patients) and anticonvulsants for those who develop seizures (which occur in 20% to 30% of patients). Corticosteroids play a central role in the treatment of brain metastases. The benefits of steroid therapy occur rapidly, with a decrease in cerebral edema documented to occur within a few hours of therapy.[16] Approximatley two-thirds of patients will notice a significant improvement in their performance status with steroid therapy.[17]
The most common steroid used is dexamethasone-the choice of this particular agent is empiric, and other corticosteroids can be used effectively in this situation as well. The usual practice is to begin therapy with a total daily dose of 12 to 24 mg of dexamethasone (eg, 4 to 6 mg orally, every 6 hours), and to taper the dose as tolerated. Steroids have multiple adverse effects, of which weight gain, psychosis, infection risk, long-term steroid dependence, and gastrointestinal bleeding are most troubling in this patient population. Once definitive therapy (eg, radiation) for the metastases is delivered, the steroid dose should be reduced as rapidly as tolerated in order to avoid these toxicities.
Patients who present with or develop seizures require therapy with anticonvulsant drugs to control symptoms. No comparative studies have tested which of the available agents (eg, phenytoin, phenobarbital) is the most effective in this patient population. Newer anticonvulsants (eg, levetiracetam [Keppra]) are being used more commonly, as they have fewer adverse effects and do not interfere with cytochrome p450-induced drug metabolism (which may be a consideration in some patients). However, these newer agents are significantly more expensive than the standard drugs. Although medical therapy with these agents effectively reduces the frequency of subsequent seizures, prophylaxis with anticonvulsant drugs (in those who have not suffered from seizures) does not seem to be effective and has the disadvantage of exposing patients to their adverse effects.[18]
TABLE 1

Important Published and Ongoing Clinical Trials Relevant to the Management of Brain Metastases
The therapeutic modalities that can be used to treat metastases are surgery and radiation (Table 1). Modalities to enhance responses to radiation and to reduce therapy-induced neurocognitive deficits are currently being evaluated. Since brain metastases respond only occasionally to systemically delivered anticancer therapies (eg, intravenous chemotherapy), such therapy does not yet have an established role in the management of brain metastases-this issue will be discussed below.
Patients with multiple brain metastases (generally defined as more than four lesions) do not benefit from surgical resection, given the associated morbidity. The benefits of extensive surgery may also be limited as there may be several other, yet undiagnosed, microscopic metastases at other sites in the brain, which result in a very high rate of relapse in the brain. The main roles of surgery in this patient population are to relieve mass effect from a large dominant lesion and to obtain a tissue diagnosis if necessary (when the identity of the lesion is unknown).
The optimal therapy is to deliver whole-brain radiation therapy (WBRT), with the most commonly used schedule being 30 Gy in 10 daily fractions.[19] Other fractionation schedules are frequently utilized in specific situations, such as 20 Gy in 5 fractions for patients with a poorer prognosis and 37.5 Gy in 15 fractions for those with a better prognosis. With such therapy, up to 50% will have an improvement in neurologic symptoms and 50% to 70% of patients have an objective response.[5,20,21] The role of stereotactic radiation (SRS) boost in this population is controversial, and the approach should not be used routinely.
• Safety of WBRT-The acute effects of WBRT are reversible and usually well tolerated. These include alopecia, fatigue, and scalp erythema. Some less common complications, primarily attributed to increased cerebral edema, are headache, nausea, emesis, and worsening of preexisting focal symptoms. Treatment of these symptoms with steroids usually results in symptomatic improvement. Of more concern, especially for patients with a better prognosis who may be expected to have longer survival, is the development of late delayed effects (generally appearing more than 6 months after WBRT) such as neurocognitive deficits.
Several early retrospective studies have emphasized the late neurotoxicity of radiotherapy.[22] However, these retrospective studies have several methodologic flaws, the most important of which is the lack of detailed baseline neurocognitive testing for comparative purposes. Such testing would be imperative when trying to determine the etiology of any cognitive deficits posttreatment. It has long been clinically recognized that patients with brain metastases often have cognitive difficulties at baseline. The high prevalence and severity of these deficits was confirmed in a recent large prospective clinical trial of patients with brain metastases. This study noted significant cognitive impairment at baseline (ie, even before WBRT) in one or more neurocognitive domains in 90% of those enrolled.[23]
In addition, prospective studies with baseline and serial neurocognitive testing have found tumor progression to be the dominant cause of cognitive decline in patients with brain metastases. Patients with stable or decreasing tumor volumes after therapy have stable or improving cognitive function.[23,24] Some studies have found that larger radiation fraction sizes appear to be associated with dementia and cognitive decline after WBRT.[25] Therefore, dose-fractionation schedules should be determined according to the patient's prognosis, with more protracted schedules used in those with the possibility of long-term survival.[22]
Although these prospective trials do not rule out detrimental neurocognitive effects of WBRT or even individual patient declines after WBRT,[5] they do suggest that, on the whole, any detrimental effects on cognitive function seem to be balanced by the beneficial neurocognitive effects of improved tumor control in the brain. In summary, the available evidence supports the safety of properly administered WBRT.
Approximately one-quarter of all patients with brain metastases have a single metastasis. The current standard of care is to perform surgical resection in patients with solitary accessible brain metastases, and to follow this with WBRT. Patients who undergo a complete surgical resection in conjunction with WBRT have better outcomes than those treated with WBRT after a diagnostic biopsy. The benefits of performing a gross surgical resection were demonstrated in two prospective randomized trials,[6,26] where patients who underwent a surgical resection had longer survival than those who did not. These studies did not formally measure quality-of-life parameters, but did detect a statistically (and clinically) meaningful prolongation of symptomatic neurologic stability.[6] A third study done to evaluate the same issue did not demonstrate any benefit to a surgical resection,[27] but this may have been due to a higher proportion of patients with poor prognostic factors. These findings can be interpreted to indicate that WBRT alone (ie, without surgical debulking) cannot adequately sterilize the large number of tumor cells present in a macroscopic metastasis.
The benefits of WBRT in improving the rate of local control beyond that achieved by surgical resection alone have been confirmed by a phase III study. While the overall survival was not improved in those receiving adjuvant WBRT after surgery, WBRT use did result in a reduced risk of local and distant brain relapses (10% and 14%, respectively), as compared to those who did not receive WBRT (46% and 37%).[11] Thus, neither modality (WBRT or surgery) can adequately sterilize the large number of tumor cells in a macroscopic metastatic focus, and both need to be used together to achieve the best outcomes.
Stereotactic radiation appears to be effective as local therapy for brain metastases and can be considered a reasonable alternative to surgical resection in selected patients. Some of the issues related to the use of SRS in this patient population are discussed below.
The availability of radiosurgery or SRS has increased therapeutic options for patients with a limited number of metastases (usually defined as four or fewer). SRS allows for the delivery of a high dose of focal irradiation in a single fraction to the tumor from multiple geometric positions. The advantages of SRS include ease of use (single-day therapy), ability to treat patients who are not surgical candidates (due to inaccessible tumor location or comorbid medical conditions), and reduced morbidity. Brain metastases are ideal targets for SRS as they are small, spherical, and have distinct margins. SRS minimizes the amount of radiation delivered to nontarget areas of the brain. Methods of delivering SRS (Gamma Knife, linear accelerator-based, charged particles, and CyberKnife) are becoming increasingly available. The widespread availability (and use) of these modalities has resulted in a debate about the role of SRS vis--vis surgery to treat brain metastases.[28]
An evidence-based approach is extremely important in this area, as the routine use of SRS has the potential to significantly increase health-care costs. The main controversies in this area and the relevant data are discussed below.
• Is SRS as efficacious as surgery in achieving local control? Only one small prospective trial (reported in abstract form) has addressed this question, randomizing 64 patients with a single metastasis (maximum diameter: 3 cm) to either neurosurgical resection followed by whole-brain radiotherapy or radiosurgery alone.[29] All patients enrolled had brain metastases and were eligible for treatment using either modality. No significant difference was shown in any of the main endpoints-overall length of survival, mortality due to neurologic complications, or local tumor control-although there was a trend in favor of SRS with regard to local control (82% vs 97%; P = .06). Overall toxicity of therapy was similar, but the SRS group had a greater improvement in quality of life when evaluated 6 weeks posttherapy. Patients treated with SRS had a higher rate of distant brain failure (as might be expected since they did not receive WBRT) and required salvage therapy more frequently. Due to the small number of patients in this study, these results need to be interpreted with caution.
Other comparative studies that compared outcomes with these modalities have been retrospective in nature.[30,31] Such analyses are inherently flawed due to a number of selection biases, given that SRS and neurosurgery are applicable to different and somewhat nonoverlapping patient populations. With these caveats in mind, the literature on this topic suggests that local control rates are equivalent between those treated with SRS and surgery. The available data also suggest that SRS is more convenient, effective for patients with few (usually defined as less than four), small lesions (usually defined as < 3 cm) and for those with tumors in surgically inaccessible locations. SRS is also the preferred modality for patients who are not surgical candidates for medical reasons. On the other hand, surgery is clearly the optimal modality for lesions causing a mass effect. In summary, SRS and surgical resection should be seen as complementary, but different, modalities to be utilized in the treatment of selected patients with brain metastases.[15]
• In patients treated with WBRT, does the use of SRS as a 'boost' improve outcomes? The rates of recurrence after WBRT at the site of the initial metastases remain high and can be > 50% with prolonged follow-up.[6] This suggests that WBRT cannot adequately sterilize the macroscopic tumor mass. Escalation of radiation dose by delivering a boost using SRS is a logical method to improve long-term local control.
Attempts have been made to evaluate the utility of using SRS in this manner in randomized clinical trials.[32,33] These studies demonstrate that SRS boost does not improve the primary outcomes of overall survival or mortality attributable to neurologic complications of brain metastases. Nevertheless, SRS boost does appear to have some benefits, primarily resulting in improvements in local control rates, time to failure in the brain,[32] symptoms, and in some subsets of patients, survival.[33] Based on these results and data from other retrospective studies, a boost using SRS may be considered as a reasonable option for selected patients who present with a limited number of brain metastases.
• If SRS is used for local therapy, can WBRT be safely omitted? The issue of whether WBRT can be omitted in patients treated with SRS is currently a matter of much debate and ongoing clinical trials.[28,34] Clearly, omitting WBRT avoids the associated toxicities. Moreover, retrospective and prospective data suggest that omitting WBRT does not result in shorter survival,[11,35] which suggests that in many patients, the status of systemic disease (rather than that of the brain metastases) is the predominant determinant of a patient's prognosis.
On the other hand, arguments in favor of routinely administering WBRT include the premise that in a vast majority of patients, several occult lesions may be present at the time of initial diagnosis, and their further growth would be prevented by using WBRT. In addition, the high risk of brain recurrences (when WBRT is omitted) mandates a rigorous monitoring program with frequent use of imaging studies, and a frequent need for salvage therapy. Recurrences may also result in complications precluding any other therapy (by causing a significant deterioration of performance status). Finally, proponents of the procedure point out that adverse events due to WBRT are usually minor (as noted above), and that no prospective trial to date has been designed or powered to address the impact of WBRT on survival.
Only one reported randomized trial has addressed the issue of whether SRS can be used as sole therapy for those with a limited number of metastases.[36] In this study, 132 patients with four or fewer brain metastases were randomized to receive either SRS alone or a combination of SRS and WBRT. The neurologic function, toxicity rates, and overall survival were similar in both groups. As may be expected, patients in whom WBRT was omitted were found to have a higher rate of failure in the brain (76% vs 48%) and required salvage therapy more often for recurrent brain metastases. Significant limitations of this study include a lack of rigorous neurocognitive testing and a lack of statistical power to determine an effect of the therapy on overall survival. These results can be interpreted to suggest that WBRT can be omitted in patients being treated with SRS, if close follow-up can be ensured, with the understanding that the risks of local and distant brain failure are higher.[28,36]
An ongoing intergroup phase III clinical trial (N0574) led by the North Central Cancer Treatment Group (NCCTG) and available through the National Cancer Institute Clinical Trial Support Unit (CTSU) is attempting to address this question. In this study, patients with three or fewer brain metastases will be randomly assigned to receive SRS or a combination of SRS and WBRT. This trial is adequately powered to detect a possible survival benefit with the use of WBRT. Secondary endpoints in this trial include an evaluation of changes in several measures of neurocognition and quality of life, to assess the impact of therapy on these factors.[34]
The role of systemically delivered therapies for the treatment of brain metastases is still a matter for investigation. Due to concerns about the penetration of chemotherapeutic agents into the brain, this topic has not received much attention in the clinical research arena. However, the available literature suggests that brain metastases from melanoma, lung, and breast cancers appear to respond to chemotherapy.[37-39] Anecdotal responses of brain metastases from breast cancer to hormonal therapies have been reported.[40] Recently, investigators have reported on brain metastases from non-small-cell lung cancer responding to orally administered inhibitors of epidermal growth factor receptor (EGFR).[41,42] These observations have been confirmed by the authors' clinical experience. Likewise, preliminary data suggest that brain metastases from HER2/neu-positive breast cancers may respond to lapatinib ditosylate (Tykerb), an oral inhibitor of HER2/neu and EGFR.[43] While such data are preliminary, they raise the possibility of using such signal-transduction inhibitors in selected situations to specifically treat brain metastases in the future.
Overall, since the response rates of brain metastases to systemically delivered therapies are low, radiation and neurosurgery continue to be the mainstays of therapy for brain metastases. At the same time, systemic modalities (eg, chemotherapy, hormonal therapy) are an essential part of the overall treatment plan for a patient with systemic (ie, extracranial) metastases, as the ability to control the growth of systemic metastases is a sine qua non for optimal long-term outcomes.
The morbidity and mortality of patients with brain metastases depend to a significant degree on the response of the metastasis to therapy. Therefore, methods to increase response to radiation have the potential to improve outcomes in this patient population. Several modalities (mostly radiation sensitizers) have been tested as adjuncts to WBRT, but most of these studies have been negative.[44,45] Three agents that have been tested for this indication are efaproxiral (RSR-13), temozolomide (Temodar), and motexafin gadolinium (Xcytrin).
• Efaproxiral-Efaproxiral is a novel agent that binds to, and modifies, the structure of the hemoglobin molecule, reducing its oxygen-carrying capacity. The effect of this interaction is an increase in oxygen delivery to tissues. The use of efaproxiral as a radiation sensitizer is based on the rationale that increased tissue oxygen delivery would result in increased oxygen radical production induced by radiation, thereby enhancing the effects of this modality.
Preliminary clinical trials suggested safety and possible efficacy of efaproxiral when the agent is used concurrently with radiation to treat brain metastases. These data led to a phase III clinical trial in patients receiving WBRT, with half the patients randomized to efaproxiral therapy.[21] Patients treated with efaproxiral had a higher rate of response to radiation; however, this did not translate into a survival benefit. Subset analysis revealed that patients with breast cancer and those who were able to tolerate higher doses of the drug appeared to benefit with higher response rates and prolongation of survival.[21,46] Further studies with this agent are planned in patients with brain metastases from breast cancer.
• Temozolomide-Temozolomide is an orally available alkylating agent that is lipid soluble, and hence, penetrates the blood-brain barrier readily. Temozolomide therapy has been associated with a low rate of response in brain metastases (of different histologies) even when used as a single agent.[47] The combination of temozolomide and radiation has been shown to be synergistic, which has led to several trials using this combination. In some of these trials, a small benefit (in response rates) was noted for the combination of temozolomide with WBRT, compared to WBRT alone.[20,48,49] A problem common to all these trials has been that, primarily due to the progression of systemic metastases, improvements in response rates in the brain do not translate into better survival. Further studies using this drug in combination with radiation are ongoing.[50,51]
• Motexafin Gadolinium-Gadolinium texaphyrin or motexafin gadolinium is an agent that localizes to cells with a high rate of metabolism (as in cancer cells), and interferes with cellular respiratory pathways, resulting in the production of oxygen radicals, oxidative damage, and apoptosis. Based on data that suggested potential synergism with radiation, this drug has been evaluated as an adjuvant radiosensitizer.
Early clinical trials suggested a very high rate of response to WBRT (> 70%) when motexafin gadolinium was concurrently administered.[52] This prompted a phase III randomized controlled trial of WBRT with or without motexafin gadolinium in patients with multiple brain metastases.[5] In this trial, motexafin gadolinium did not improve response rates or overall survival. However, the subset of patients with lung cancer had a longer duration of response[5] and better neurocognitive outcome with motexafin gadolinium therapy.[23]
In a subsequent phase III study, half of the patients receiving WBRT for therapy of brain metastases from non-small-cell lung cancer were randomly assigned to treatment with motexafin gadolinium. The primary endpoint (time to neurologic progression) was similar in both groups.[53] On post hoc analysis, patients in whom WBRT was initiated within 3 weeks of initial diagnosis appeared to benefit, but no benefit was noted in patients starting therapy later.[53] Additional studies are planned to test the benefit of this agent in selected situations.[54]
The modalities used to diagnose, treat, and monitor the effects of therapy (eg MRI scans, neurosurgery, radiation) are expensive. In addition, patients with brain metastases are usually ill with a multitude of physical complaints and require a significant amount of medical care. Thus, optimal care of these patients can cause a significant financial burden on health-care systems.
An understanding of the cost-benefit ratio of different modalities is necessary for optimal utilization of scarce medical resources. Surprisingly little research has been done to analyze the cost-effectiveness or cost-utility of various therapies. One such analysis that analyzed the costs for patients undergoing therapy for a single brain metastasis (published in 1997) concluded that the cost for each additional year of survival was $27,000 when radiation and surgery were used together and only $16,000 if radiation was used as the sole therapy.[55]
Subsequent to the publication of this study, stereotactic radiation therapy-an expensive technology-has become an increasingly available (and used) modality for these patients. In addition, as noted above, several novel agents have been used as adjuncts to increase tumor response rates. These modalities and drugs (eg, temozolomide, which costs around $2/mg), while adding significantly to the cost (and possibly to the toxicity) of therapy, appear to result in only minor improvements in outcomes. Whether such expenditure is justified for what is essentially palliative therapy in a usually ill patient population needs to be evaluated on a case-by-case -basis. Widespread adoption of these expensive drugs and technologies should await the conclusion of properly conducted randomized trials, where their exact benefits can be evaluated.
REFERENCE GUIDE
Therapeutic Agents
Mentioned in This Article
Dexamethasone
Efaproxiral (RSR-13)
Lapatinib ditosylate (Tykerb)
Levetiracetam (Keppra)
Motexafin gadolinium (Xcytrin)
Phenobarbital
Phenytoin
Temozolomide (Temodar)
Brand names are listed in parentheses only if a drug is not available generically and is marketed as no more than two trademarked or registered products. More familiar alternative generic designations may also be included parenthetically.
The diagnosis of brain metastases is a serious, often preterminal, complication of cancer. Properly selected patients with brain metastases (ie, younger patients with a good performance status and well controlled/minimal extracranial metastases) have good outcomes with appropriate therapy. Patients often present with significant neurologic sequelae and require supportive care measures to manage these problems. Definitive therapy of brain metastases requires an assessment of each patient's prognostic factors, and decision-making after a thorough informed discussion.
Patients with multiple brain metastases need to be treated with WBRT. The concurrent use of adjuvant drugs for radiation sensitization should be considered experimental. Patients with solitary or limited number of metastases benefit from local therapy (surgery or SRS) to be followed by WBRT in most cases. Data from recent studies suggest that surgery and SRS result in equivalent rates of local control. Moreover, in those with a limited number of brain metastases (usually four or less) who may be candidates for SRS therapy, WBRT may be omitted with the proviso that patients need to be rigorously monitored for recurrent disease. Enrollment into ongoing clinical trials that evaluate the role of SRS and WBRT in specific patient subsets should be encouraged. Systemic therapy for metastatic cancer needs to be offered, if available, as the status of systemic metastases is one of the most important determinants of long-term outcomes.
Financial Disclosure:The authors have no significant financial interest or other relationship with the manufacturers of any products or providers of any service mentioned in this article.
1. Markesbery WR, Brooks WH, Gupta GD, et al: Treatment for patients with cerebral metastases. Arch Neurol 35:754-756, 1978.
2. Johnson JD, Young B: Demographics of brain metastasis. Neurosurg Clin N Am 7:337-344, 1996.
3. Posner JB, Chernik NL: Intracranial metastases from systemic cancer. Adv Neurol 19:579-592, 1978.
4. Barnholtz-Sloan JS, Sloan AE, Davis FG, et al: Incidence proportions of brain metastases in patients diagnosed (1973 to 2001) in the Metropolitan Detroit Cancer Surveillance System. J Clin Oncol 22:2865-2872, 2004.
5. Mehta MP, Rodrigus P, Terhaard CH, et al: Survival and neurologic outcomes in a randomized trial of motexafin gadolinium and whole-brain radiation therapy in brain metastases. J Clin Oncol 21:2529-2536, 2003.
6. Patchell RA, Tibbs PA, Walsh JW, et al: A randomized trial of surgery in the treatment of single metastases to the brain. N Engl J Med 322:494-500, 1990.
7. Hollender A, Kvaloy S, Nome O, et al: Central nervous system involvement following diagnosis of non-Hodgkin's lymphoma: A risk model. Ann Oncol 13:1099-1107, 2002.
8. Andre F, Cabioglu N, Assi H, et al: Expression of chemokine receptors predicts the site of metastatic relapse in patients with axillary node positive primary breast cancer. Ann Oncol 17:945-951, 2006.
9. Gaspar LE, Scott C, Murray K, et al: Validation of the RTOG recursive partitioning analysis (RPA) classification for brain metastases. Int J Radiat Oncol Biol Phys 47:1001-1006, 2000.
10. Lagerwaard FJ, Levendag PC, Nowak PJ, et al: Identification of prognostic factors in patients with brain metastases: A review of 1292 patients. Int J Radiat Oncol Biol Phys 43:795-803, 1999.
11. Patchell RA, Tibbs PA, Regine WF, et al: Postoperative radiotherapy in the treatment of single metastases to the brain: A randomized trial. JAMA 280:1485-1489, 1998.
12. Lutterbach J, Bartelt S, Ostertag C: Long-term survival in patients with brain metastases. J Cancer Res Clin Oncol 128:417-425, 2002.
13. Kondziolka D, Martin JJ, Flickinger JC, et al: Long-term survivors after gamma knife radiosurgery for brain metastases. Cancer 104:2784-2791, 2005.
14. Hall WA, Djalilian HR, Nussbaum ES, et al: Long-term survival with metastatic cancer to the brain. Med Oncol 17:279-286, 2000.
15. Pollock BE, Brown PD, Foote RL, et al: Properly selected patients with multiple brain metastases may benefit from aggressive treatment of their intracranial disease. J Neurooncol 61:73-80, 2003.
16. Andersen C, Astrup J, Gyldensted C: Quantitative MR analysis of glucocorticoid effects on peritumoral edema associated with intracranial meningiomas and metastases. J Comput Assist Tomogr 18:509-518, 1994.
17. Horton J, Baxter DH, Olson KB: The management of metastases to the brain by irradiation and corticosteroids. Am J Roentgenol Radium Ther Nucl Med 111:334-336, 1971.
18. Glantz MJ, Cole BF, Forsyth PA, et al: Practice parameter: Anticonvulsant prophylaxis in patients with newly diagnosed brain tumors. Report of the Quality Standards Subcommittee of the American Academy of Neurology. Neurology 54:1886-1893, 2000.
19. Tsao M, Lloyd N, Wong R, et al: Whole brain radiotherapy for the treatment of multiple brain metastases. Cochrane Database Syst Rev 3:CD003869, 2006/
20. Antonadou D, Paraskevaidis M, Sarris G, et al: Phase II randomized trial of temozolomide and concurrent radiotherapy in patients with brain metastases. J Clin Oncol 20:3644-3650, 2002.
21. Suh JH, Stea B, Nabid A, et al: Phase III study of efaproxiral as an adjunct to whole-brain radiation therapy for brain metastases. J Clin Oncol 24:106-114, 2006.
22. Laack NN, Brown PD: Cognitive sequelae of brain radiation in adults. Semin Oncol 31:702-713, 2004.
23. Meyers CA, Smith JA, Bezjak A, et al: Neurocognitive function and progression in patients with brain metastases treated with whole-brain radiation and motexafin gadolinium: Results of a randomized phase III trial. J Clin Oncol 22:157-165, 2004.
24. Li J, Bentzen SM, Renschler M, et al: Improvement in neurocognitive function (NCF) correlates with tumor regression after whole brain radiation therapy (WBRT) for brain metastases (abstract 1504). J Clin Oncol 24(18S):59s, 2006.
25. DeAngelis LM, Delattre JY, Posner JB: Radiation-induced dementia in patients cured of brain metastases. Neurology 39:789-796, 1989.
26. Vecht CJ, Haaxma-Reiche H, Noordijk EM, et al: Treatment of single brain metastasis: Radiotherapy alone or combined with neurosurgery? Ann Neurol 33:583-590, 1993.
27. Mintz AH, Kestle J, Rathbone MP, et al: A randomized trial to assess the efficacy of surgery in addition to radiotherapy in patients with a single cerebral metastasis. Cancer 78:1470-1476, 1996.
28. Mehta MP, Tsao MN, Whelan TJ, et al: The American Society for Therapeutic Radiology and Oncology (ASTRO) evidence-based review of the role of radiosurgery for brain metastases. Int J Radiat Oncol Biol Phys 63:37-46, 2005.
29. Muacevic A, Wowra B, Kreth F, et al: A randomized trial of surgery and radiotherapy versus radiosurgery alone in the treatment of single metastasis to the brain. Doc OP256, Deutscher Krebskongress. Berlin, Deutscher Krebskongress, 2006.
30. Bindal AK, Bindal RK, Hess KR, et al: Surgery versus radiosurgery in the treatment of brain metastasis. J Neurosurg 84:748-754, 1996.
31. O'Neill BP, Iturria NJ, Link MJ, et al: A comparison of surgical resection and stereotactic radiosurgery in the treatment of solitary brain metastases. Int J Radiat Oncol Biol Phys 55:1169-1176, 2003.
32. Kondziolka D, Patel A, Lunsford LD, et al: Stereotactic radiosurgery plus whole brain radiotherapy versus radiotherapy alone for patients with multiple brain metastases. Int J Radiat Oncol Biol Phys 45:427-434, 1999.
33. Andrews DW, Scott CB, Sperduto PW, et al: Whole brain radiation therapy with or without stereotactic radiosurgery boost for patients with one to three brain metastases: Phase III results of the RTOG 9508 randomised trial. Lancet 363:1665-1672, 2004.
34. Phase III randomized study of stereotactic radiosurgery with versus without whole-brain radiotherapy in patients with cerebral metastases. Available at www.cancer.gov/clinicaltrials/NCCTG-N0574. Accessed February 27, 2007.
35. Sneed PK, Suh JH, Goetsch SJ, et al: A multi-institutional review of radiosurgery alone vs. radiosurgery with whole brain radiotherapy as the initial management of brain metastases. Int J Radiat Oncol Biol Phys 53:519-526, 2002.
36. Aoyama H, Shirato H, Tago M, et al: Stereotactic radiosurgery plus whole-brain radiation therapy vs stereotactic radiosurgery alone for treatment of brain metastases: a randomized controlled trial. JAMA 295:2483-2491, 2006.
37. Postmus PE, Haaxma-Reiche H, Smit EF, et al: Treatment of brain metastases of small-cell lung cancer: comparing teniposide and teniposide with whole-brain radiotherapy-a phase III study of the European Organization for the Research and Treatment of Cancer Lung Cancer Cooperative Group. J Clin Oncol 18:3400-3408, 2000.
38. Dvorak J, Melichar B, Zizka J, et al: Complete response of multiple melanoma brain metastases after treatment with temozolomide. Onkologie 27:171-174, 2004.
39. Seute T, Leffers P, Wilmink JT, et al: Response of asymptomatic brain metastases from small-cell lung cancer to systemic first-line chemotherapy. J Clin Oncol 24:2079-2083, 2006.
40. van der Gaast A, Alexieva-Figusch J, Vecht C, et al: Complete remission of a brain metastasis to third-line hormonal treatment with megestrol acetate. Am J Clin Oncol 13:507-509, 1990.
41. Lee DH, Han JY, Lee HG, et al: Gefitinib as a first-line therapy of advanced or metastatic adenocarcinoma of the lung in never-smokers. Clin Cancer Res 11:3032-3037, 2005.
42. Lai CS, Boshoff C, Falzon M, et al: Complete response to erlotinib treatment in brain metastases from recurrent NSCLC. Thorax 61:91, 2006.
43. Lin NU, Carey LA, Liu MC, et al: Phase II trial of lapatinib for brain metastases in patients with HER2+ breast cancer (abstract 503). J Clin Oncol 24(18S):3s, 2006.
44. Komarnicky LT, Phillips TL, Martz K, et al: A randomized phase III protocol for the evaluation of misonidazole combined with radiation in the treatment of patients with brain metastases (RTOG-7916). Int J Radiat Oncol Biol Phys 20:53-58, 1991.
45. Stewart DJ, Eapen L, Girard A, et al: Phase II study of lonidamine plus radiotherapy in the treatment of brain metastases. J Neurooncol 15:19-22, 1993.
46. Stea B, Suh JH, Boyd AP, et al: Whole-brain radiotherapy with or without efaproxiral for the treatment of brain metastases: Determinants of response and its prognostic value for subsequent survival. Int J Radiat Oncol Biol Phys 64:1023-1030, 2006.
47. Agarwala SS, Kirkwood JM, Gore M, et al: Temozolomide for the treatment of brain metastases associated with metastatic melanoma: A phase II study. J Clin Oncol 22:2101-2107, 2004.
48. Hofmann M, Kiecker F, Wurm R, et al: Temozolomide with or without radiotherapy in melanoma with unresectable brain metastases. J Neurooncol 76:59-64, 2006.
49. Verger E, Gil M, Yaya R, et al: Temozolomide and concomitant whole brain radiotherapy in patients with brain metastases: A phase II randomized trial. Int J Radiat Oncol Biol Phys 61:185-191, 2005.
50. Phase III randomized study of whole brain radiotherapy and stereotactic radiosurgery with versus without temozolomide or erlotinib in patients with non-small cell lung cancer and brain metastases. Available at www.cancer.gov/searchViewClinicalTrials.aspx?cdrid=389490 &version=HealthProfessional&protocolsearchid= 2651396. Accessed February 27, 2007.
51. Comparison study of WBRT and SRS alone versus with temozolomide or erlotinib in patients with brain metastases of NSCLC. Available at www.cancer.gov/search/ViewClinicalTrials.aspx?cdrid=463553&version= HealthProfessional&protocolsearchid=2651396. Accessed February 27, 2007.
52. Mehta MP, Shapiro WR, Glantz MJ, et al: Lead-in phase to randomized trial of motexafin gadolinium and whole-brain radiation for patients with brain metastases: Centralized assessment of magnetic resonance imaging, neurocognitive, and neurologic end points. J Clin Oncol 20:3445-3453, 2002.
53. Mehta MP, Gervais R, Chabot P, et al: Motexafin gadolinium (MGd) combined with prompt whole brain radiation therapy (RT) prolongs time to neurologic progression in non-small cell lung cancer (NSCLC) patients with brain metastases: Results of a phase III trial (abstract 7014). J Clin Oncol 24(18S):367s, 2006.
54. Study of motexafin gadolinium with whole brain radiation therapy followed by stereotactic radiosurgery boost in the treatment of patients with brain metastases. Available at www.cancer.gov/search/ViewClinicalTrials. aspx?cdrid=441282&version=HealthProfessional &protocolsearchid=2651398. Accessed February 27, 2007.
55. Mehta M, Noyes W, Craig B, et al: A cost-effectiveness and cost-utility analysis of radiosurgery vs resection for single-brain metastases. Int J Radiat Oncol Biol Phys 39:445-454, 1997.
Late Hepatic Recurrence From Granulosa Cell Tumor: A Case Report
Granulosa cell tumors exhibit late recurrence and rare hepatic metastasis, emphasizing the need for lifelong surveillance in affected patients.