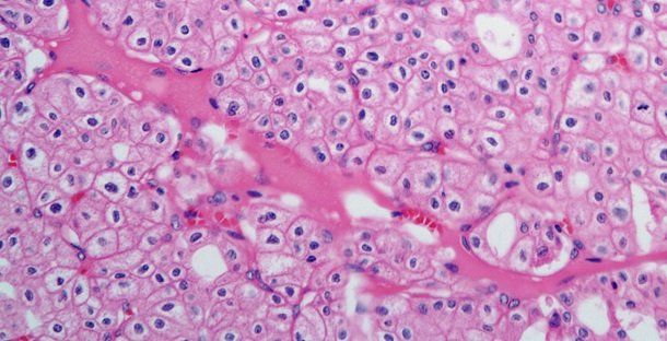
A 63-year-old man presents with a mass in the left kidney. After further evaluation, a biopsy is performed. What is your diagnosis?
A 63-year-old man presents with a mass in the left kidney. According to the histopathology image below, what is your diagnosis?

What is your diagnosis?