A large cystic lung mass is found in the right upper lobe of a 3-year-old boy. After further evaluation, a biopsy is performed. What is your diagnosis?
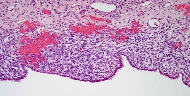
A large cystic lung mass is found in the right upper lobe of a 3-year-old boy. According to the histopathology image below, what is your diagnosis?

What is your diagnosis?