This clinical quandary discusses oligoprogressive disease in metastatic melanoma and how treatment with immunotherapy and targeted therapy affect the disease.
Oncology (Williston Park). 2021;35(9):562-566.
DOI: 10.46883/ONC.2021.3509.0562
A White female patient, aged 50 years, was diagnosed with a nodular melanoma of the back in 2008 and treated with a wide excision and an axillary lymphadenectomy. On follow-up, the patient was diagnosed with multiple locoregional recurrences, all surgically treated. In 2013, a metastasectomy of a single lung lesion was performed. No further treatment was given.
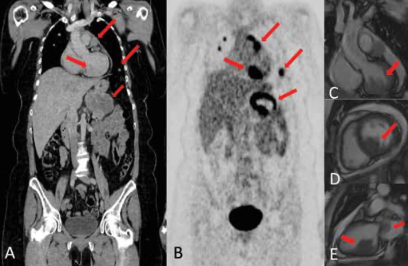
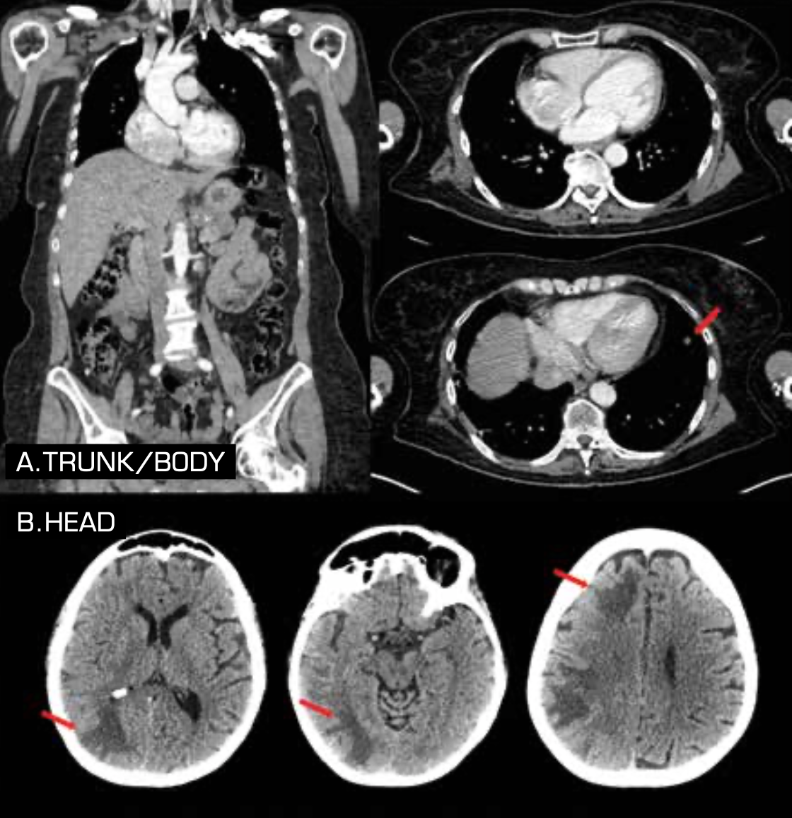
In 2017, multiple lung and pancreatic metastases were detected in a follow-up PET scan. A brain MRI was performed; no evidence of disease was found. A BRAF V600E mutation was documented. Treatment with nivolumab (Opdivo) was started. After 9 months of treatment, progression of disease to soft tissue, myocardium, pericardium, lung, pancreas, left adrenal gland, and bone was documented (Figure 1). Treatment with dabrafenib (Tafinlar) plus trametinib (Mekinist; D+T) was started. A reduction of the tumor burden was achieved after 2 months of treatment, and after 6 months, the patient had a deep partial response of more than 80% reduction of the tumor load. After 1 year of treatment, the patient came to the clinic with neurological symptoms. A brain CT scan revealed multiple supratentorial lesions, with the largest, measuring 23 mm, localized in the parietooccipital region. Other lesions, each measuring less than 1 cm, were localized in the right parietal region, frontal region, and left parietal lobe (Figure 2A). A CT scan ruled out progressive disease in other sites (Figure 2B).
FIGURE 1. PET-CT scan (A, B) reveals metastatic disease in mediastinum, myocardium, lung,
and pancreas. Cardiac MRI shows a lesion
(C, D, E) in the left ventricle infiltrating the papillary muscles and the ventricular wall. Intravascular lesion in the pulmonary artery is present, with outflow obstruction.

FIGURE 2. Follow-up CT scan (A) after 1 year of dabrafenib plus trametinib shows partial response in lung and pancreatic lesions and complete response in myocardium and mediastinum. Brain CT scan (B) shows multiple supratentorial lesions with associated edema.

Cutaneous melanoma is the third leading cause of skin cancer worldwide and is among the most aggressive types of cancer. In 2020, approximately 324,635 new cases of melanoma were reported worldwide.1 Melanoma rates have increased in recent decades; an estimated 5.8% more new melanoma cases were diagnosed in 2021 than in 2020.2 In the United States, where more than 80% of patients are diagnosed with localized disease, the 5-year relative survival for melanoma patients is 93.3%.3 This may not be the case for patients in middle- and low-income countries, where disease may be more likely to be diagnosed when it is regional or metastatic. Although the 5-year survival rate for localized melanoma is as high as 99.4%, 5-year survival for patients with distant disease decreases to 29.8%.3
Molecular evaluation has identified 4 main genomic subtypes of melanoma: BRAF mutated (50%), RAS mutated (28%), NF1 mutated (14%), and triple wild-type (8%).4
Although surgical treatment remains the mainstay of treatment for local and regional disease, the cornerstones of treatment for patients with BRAF-mutated metastatic melanoma have become immunotherapy (IO) and targeted therapy (TT), as they demonstrate durable responses and significant improvement in survival.5,6 Nevertheless, several clinical questions regarding treatment optimization remain unanswered.
Although these newer treatments have great benefit, about 40% to 65% of patients treated with TT and 20% to 30% of those treated with IO will eventually develop resistance and will progress.7,8 Most patients will present with multiple site progression.
Oligoprogressive disease has been described for multiple neoplasms. The concept of oligoprogression varies across tumors, but it is generally defined as a clinical situation in which a limited number of metastatic tumor sites have progressed, whereas all other metastases remain controlled by systemic therapy.9 About 4.1% to 10% of patients with melanoma treated with IO or TT will develop oligoprogressive disease.10,11 This pattern of progression reflects acquired focal resistance, which is biologically different from generalized progression caused by innate or secondary resistance of the disease.12 Due to this characteristic, oligoprogression may be managed with local therapy; this limits the focal progression and allows continued systemic treatment, which maintains the benefit on the sites of disease that are already controlled.13
In contrast to IO, in which continuing treatment beyond progression without other local therapy has been associated with benefit in overall survival (OS) for certain populations,14,15 TT is rarely continued beyond progression without adding another local treatment strategy.
Multiple combinations of BRAF and MEK inhibitors (BRAF-MEKi) have demonstrated benefit in patients with BRAF-mutated metastatic melanoma by increasing objective response rates, progression-free survival (PFS), and OS compared with a BRAF inhibitor alone. Nevertheless, about 30% of patients will progress,4 and between 50% and 60% of patients treated with a BRAF-MEKi will receive a subsequent therapy.5,16,17 In general, but not always, the most frequent treatment is systemic therapy. For instance, in the COMBI-d (NCT01584648) and COMBI-v (NCT01597908) trials, although most patients received immunotherapy (66%), local therapies such as surgery (18% in the COMBI-V trial) and radiotherapy (about 50% in both trials) were also used.5
Patterns of oligoprogression after IO or TT for metastatic melanoma have been addressed by several retrospective studies.9,11,18 In most series, oligoprogressive disease is defined as progression in fewer than 3 metastatic sites after achieving a complete or partial response or stable disease with a specific agent. The CNS seems to be the most frequent site of oligoprogression (10%-23%), followed by lymph nodes (8%-18%), subcutaneous tissue (5%-16%), and lung (11%-12%), among others.9,11,18 There is some evidence that adding a local therapy and continuing IO beyond progression can extend OS,9,18,19 but evidence for this strategy’s efficacy in patients treated with TT is scarce.
Local therapies commonly used in this context include surgery, radiotherapy, and ablative techniques.
The main objectives of surgery in the management of recurrent/oligometastatic disease in melanoma are to increase PFS and OS and to control symptoms (eg, bleeding, infection, refractory pain).
Evidence of the benefit of surgical treatment in these settings comes from several studies. The results of the SWOG 9430 trial (NCT00002860) showed that 89% of eligible patients with metastatic disease were able to undergo complete resection.20 The MSLT-I trial (NCT00275496) reported that patients who underwent metastasectomy had an increase in OS compared with those who did not. Patients who underwent both systemic treatment and surgery showed a median OS of 15.8 months vs 6.9 months for those receiving systemic treatment alone. This benefit is even higher when the disease-free period is longer than 12 months (HR, 0.41; P <.001), and this is independent of the type of metastatic disease: 4-year OS for M1a disease treated with systemic treatment and surgery vs systemic treatment only: 69.3% vs 0%, respectively (P = .01); M1b, 24.1% vs 14.3% (P = .11); and M1c, 10.5% vs 4.6%(P = .0001). The number of metastatic lesions is also important; cases with fewer than 2 lesions had more favorable outcomes.21
A significant improvement in OS has been reported independent of the anatomical site of metastases. After complete lung metastasectomy, OS has been reported to improve by 25%, with a median survival of 20.5 months vs 13 months for the no surgery group.22,23 However, the presence of more than 2 lesions and the diameter of any that are larger than 2 cm are adverse prognostic factors.24,25 Resection of abdominal metastases may also improve survival (median OS, 18 months vs 7 months).26 Metastasectomy at other sites, such as gastrointestinal (median OS, up to 64 months27), adrenal gland (median OS, 29.2 months28), or liver (median OS, 29 months29), seems to improve outcomes as well. Bone metastasectomy also provides significant benefit, as median OS improves from 4.8 months to 11.8 months; however, the number of metastases is an adverse prognostic factor.30 Finally, the prognosis for patients with metastatic lesions in the CNS is poor, with OS of 4 to 6 months; surgery is indicated only for single lesions or as palliative treatment.31
In the era of IO and TT, there is evidence that systemic treatment increases the potential of surgery to be curative for residual oligometastatic disease (15.9% vs 4.3% with no systemic treatment; P = .045). For patients who underwent metastasectomy of residual disease, an OS benefit has also been reported: median OS, 16 months vs 6 months for those who did not.32
In conclusion, surgery is likely to increase OS in patients with recurrent/metastatic melanoma, and the decisions about who are the best surgical candidates should be discussed in multidisciplinary teams. The best candidates are patients who have a disease-free period of 12 months or more, fewer than 2 metastatic lesions, and a tumor burden less than 2 cm. In all cases, assessing potential resectability should be done with surgical consultation. Access to TT or IO is not universal, so surgery might be the only option in some cases.
Melanoma is considered a relative radioresistant tumor; until recently, radiotherapy was mainly reserved for palliative treatment or for adjuvant treatment in a specific subset of patients. With the introduction of stereotactic radiosurgery (SRS), radiotherapy has become an option for local control with minimal toxicity. Although some evidence of benefit has been reported in patients with extracranial metastases,33 the main role of SRS has been in treating melanoma that has metastasized to the brain.
Local treatments of brain metastases from melanoma include surgical resection, SRS, and WBRT.34 While for many years WBRT has been considered among the main treatment options,35 outcomes are notably inferior compared with those of newer systemic treatments and radiation techniques (median OS, WBRT alone vs WBRT alone vs IO alone vs SRS alone: 4.2 vs 11.5 months vs 10.9 months), and its use alone should be avoided whenever possible to help avoid further cognitive decline.36 When WBRT with conventional dose fractionation is planned as a reasonable treatment option in the setting of multiple brain metastases, a hippocampus-sparing technique is strongly encouraged because it is associated with significant memory and
quality-of-life preservation.37
SRS could be considered the preferred treatment option for brain metastases of melanoma due to better preservation of neurocognition. The results of 2 randomized controlled trials (RCTs) support SRS for patients with 1 to 3 brain metastases. The results of one trial (NCT00548756) indicated that learning and memory functions were less likely to decline with SRS alone than with SRS plus WBRT (24% vs 52% decline).38 The other trial (NCT00377156) found less cognitive deterioration after SRS than after SRS plus WBRT (64% vs 92% decline) without compromising median OS (10.4 vs 7.4 months).39 More recently, another RCT (NCT01592968) provided level 1 evidence to support SRS as a viable treatment option for patients with 4 to 15 brain metastases. The SRS arm experienced lower decline in cognitive function than the WBRT group (6% vs 50%); OS did not differ (7.8 vs 8.9 months).40
Despite the better neurocognitive outcomes associated with SRS, higher intracranial tumor control was observed in patients who received WBRT (93.7% vs75.3%).40 The latter could be explained theoretically by the higher number of brain metastases in the population treated with WBRT compared with those treated with SRS alone and the higher risk of having microscopic dissemination of tumor in the brain, not identifiable by current imaging techniques, at the time of treatment with SRS.34,35
The combination of SRS plus targeted agents and/or IO appears to be safe, and its effectiveness may be due to the potential synergistic boost this combination might provide to tumor response.41-44 A retrospective analysis of data from a national cancer database of melanoma brain metastases observed that SRS combined with IO provided the higher median OS compared with IO alone or SRS alone (19.9 months vs 11.5 months vs 10.9 months, respectively).36 A high dose of localized radiation therapy with SRS or stereotactic body radiation therapy, particularly combined with IO or targeted therapy, can induce a tumor response in nonirradiated metastases, known as the abscopal effect.45
In summary, radiation therapy is a useful tool for local control of melanoma metastatic disease, especially of brain disease. Currently, in patients with fewer than 5 lesions, none larger than 3 cm, SRS is the preferred option since it is noninferior to WBRT in terms of OS and has fewer neurocognitive adverse effects. Combinations of SRS with other systemic therapies seem promising, warranting further evaluation.
The patient had only 1 metastatic site of progression. WBRT was started because she had multiple brain lesions. After treatment, the patient recovered an ECOG 1 functional status. The case was discussed by a multidisciplinary team. Since access to a clinical trial or an IO combination was not available, treatment with D+T was continued. The patient persisted with clinical benefit for 11 months until she developed symptomatic brain progression. D+T was stopped, and best supportive care was started.
Financial Disclosure: NS-M is a speaker for MSD, Bristol Myers Squibb, Novartis, and serves as an advisor for and receives research funding from MSD, Bristol Myers Squibb. DR-S has nothing to disclose. DYG-O is a speaker for MSD, Bristol Myers Squibb, Novartis; DL-M has nothing to disclose; AG-R has nothing to disclose; MAl-A is a speaker for MSD, Bristol Myers Squibb, Novartis, and serves as an advisor for and receives research funding from MSD, Bristol Myers Squibb.
About the SERIES EDITORS:
Maria T. Bourlon, MD, is associate professor, Head Urologic Oncology Clinic; national researcher, Instituto Nacional de Ciencias Médicas y Nutrición Salvador Zubirán, Mexico City, Mexico. She is also a member of ASCO’s IDEA Working Group.
E. David Crawford, MD, is chairman, Prostate Conditions Education Council; editor in chief, Grand Rounds in Urology; and professor of urology, University of California San Diego, La Jolla, CA.
References
