A 42-year-old man presented with increasing right hip pain that limited his ability to walk. Magnetic resonance imaging (MRI) revealed a right lytic acetabular lesion. Further work-up included a computed tomography (CT) scan, which revealed an 8-cm left kidney tumor.
Oncology (Williston Park). 29(11):880-885, 886.

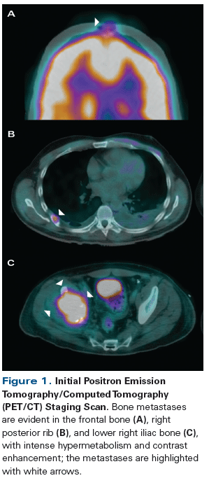
Figure 1: Initial Positron Emission Tomography/Computed Tomography (PET/CT) Staging Scan

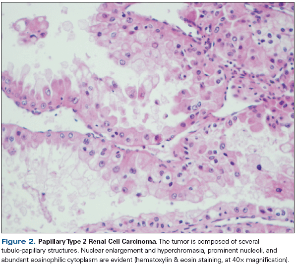
Figure 2: Papillary Type 2 Renal Cell Carcinoma

Figure 3: Comparative Positron Emission Tomography/Computed Tomography (PET/CT) Scans.

Table. Ongoing Clinical Trials in Papillary Renal Cell Carcinoma (Phases II and III)

A 42-year-old man presented with increasing right hip pain that limited his ability to walk. Magnetic resonance imaging (MRI) revealed a right lytic acetabular lesion. Further work-up included a computed tomography (CT) scan, which revealed an 8-cm left kidney tumor, and a positron emission tomography (PET)/CT scan (Figure 1), which showed osseous metastases involving the right acetabulum, the posterior end of the sixth right rib, and the cranium (frontal bone).
The patient underwent a left open radical nephrectomy. The pathology evaluation revealed an 8-cm papillary type 2 renal cell carcinoma, with scant areas of clear-cell renal cell carcinoma, and negative margins (Figure 2). His disease was staged as pT2aN0M1. He made a good recovery from surgery and completed palliative stereotactic body radiation therapy to the right acetabular lesion.
Which of the following represents the best management option for this patient now?
A. A tyrosine kinase inhibitor (TKI).
B. A mammalian target of rapamycin (mTOR) inhibitor.
C. High-dose interleukin-2 (IL-2).
D. Immunotherapy.
E. Participation in a clinical trial.
The treatment approach for advanced non–clear-cell kidney cancer continues to be a clinical quandary for the urologic oncologist.[1] Non–clear-cell renal cell carcinomas are characterized by a unique morphology, growth pattern, cell origin, and distinct tumor biology. The main subtypes of non–clear-cell renal cell carcinoma include papillary, chromophobe, collecting duct, unclassified, translocation, and medullary carcinoma.[2] Sarcomatoid carcinoma is not considered a distinct subtype because sarcomatoid features can be seen in any histologic subtype of renal cell carcinoma.[3]
Papillary renal cell carcinomas include type 1 lesions (characterized by small cells in single layers and scanty cytoplasm) and type 2 lesions (distinguished by larger cells, pseudo-stratified nuclei, and voluminous eosinophilic cytoplasm). Together these two types of papillary renal cell carcinomas represent 10% to 15% of all renal cell carcinomas.[4] While inactivation of VHL, which leads to accumulation of hypoxia-induced factors (HIFs), can be found in the majority of clear-cell carcinomas, different molecular mechanisms are involved in the biology of papillary renal cell carcinoma.[5,6] Mutations of the MET oncogene are a hallmark of hereditary type 1 lesions, and this phenomenon can also be observed in sporadic disease. On the other hand, FH gene mutations are found in the inherited form of type 2 papillary renal cell carcinoma. The FH gene encodes an enzyme involved in the Krebs cycle that catalyzes the conversion of fumarate to malate. The exact role of FH mutations in cancer pathogenesis remains to be defined, but low levels of FH lead to accumulation of HIF-1.[7,8]
Although papillary renal cell carcinomas have a distinct tumor biology compared with clear-cell renal cell carcinomas, our treatment strategies for papillary tumors largely mimic the approach for clear-cell tumors. For stage I–III renal cell carcinomas, surgical resection offers the best chance of cure. For metastatic disease, treatment with molecular targeted therapies is usually favored, based on the results of a systematic review and meta-analysis of 20 studies that included 1,244 patients with non–clear-cell renal cell carcinoma and 6,300 with clear-cell renal cell carcinoma.[9] However, the objective response rate (ORR) with targeted therapy was significantly lower in patients with non–clear-cell renal cell carcinoma than in those with clear-cell disease (9.2% vs 14.8%, respectively; odds ratio [OR] for response, 0.52 [95% confidence interval (CI), 0.40–0.68]; P < .001). Progression-free survival (PFS) and overall survival (OS) were both shorter in patients with non–clear-cell renal cell carcinoma (7.5 vs 10.5 months and 13.2 vs 15.7 months, respectively; P < .001 for the difference between non–clear-cell and clear-cell histologies for both endpoints). This study makes clear that non–clear-cell subtypes of renal cell carcinoma have some response to targeted therapy (TKIs [Answer A] or mTOR inhibitors [Answer B])-but also that outcomes are inferior when compared with those for clear-cell histology. Despite low response rates, targeted therapies have remained the most commonly used treatment in non–clear-cell renal cell carcinomas.
A retrospective series of patients with renal cell carcinoma treated with IL-2 therapy reported no responses in the non–clear-cell subgroup (n = 17). [10] Thus, Answer C is clearly not correct. Chemotherapy with doxorubicin and gemcitabine has benefit in renal cell carcinomas with sarcomatoid features, but not in other non–clear-cell subtypes.[11]
Whether to choose a TKI or an mTOR inhibitor as upfront therapy for papillary renal cell carcinoma has been a conundrum for clinicians. The Global Advanced Renal Cell Carcinoma (ARCC) trial offered initial evidence of mTOR inhibitor activity in non–clear-cell subtypes.[12] The study evaluated the efficacy of temsirolimus vs interferon alfa vs both drugs together in poor-prognosis metastatic renal cell carcinoma. Of the patients included, 20% had non–clear-cell histology, and a subgroup analysis favored temsirolimus therapy in this cohort. More recently, the ASPEN and the ESPN studies both compared the efficacy of everolimus with that of sunitinib for non–clear-cell renal cell carcinoma. The phase II ASPEN trial constitutes the largest prospective experience of targeted therapy in non–clear-cell subtypes; it included a total of 108 untreated renal cell carcinoma patients, of whom two-thirds had papillary renal cell carcinoma.[13] In the total study population, ORR (18% vs 9%), PFS (8.3 vs 5.5 months), and OS (31.5 vs 13.2 months) were all superior in the sunitinib arm, compared with everolimus. Specifically for the papillary renal cell carcinoma subtype, PFS was 8.1 months in the sunitinib arm, compared with 5.5 months in the everolimus arm.
As mentioned previously, tumor biology differs between type 1 and type 2 papillary renal cell carcinoma. In addition, small cohorts or subgroup analyses have shown that outcomes are poorer in patients with type 2 histology than in those with type 1 lesions, with a worse 5-year cancer-specific survival (74% for type 2 vs 94% for type 1; P = .027) and an increased risk of developing distant metastasis after primary resection.[14] The SUPAP phase II study by the French Genitourinary Tumor Group (GETUG) evaluated first-line sunitinib for type 1 (15 patients) and type 2 (46 patients) locally advanced or metastatic papillary renal cell carcinoma. Because there were many fewer type 1 patients than there were type 2 papillary renal cell carcinoma patients, results must be viewed with caution. Nonetheless, the authors reported a trend towards longer PFS and OS in the type 1 papillary renal cell carcinoma group, as compared with type 2 papillary renal cell carcinoma (PFS, 6.6 vs 5.5 months; OS, 17.8 vs 12.4 months).[15] Further research is needed to clarify whether these results are due to different physiopathologic mechanisms of tumorigenesis and natural course of disease, or due to differing responses to treatment.
A better understanding of the tumor biology of papillary renal cell carcinoma has led to the evaluation of other targeted agents, such as MET inhibitors (eg, foretinib and tivantinib), epidermal growth factor receptor (EGFR) inhibitors (eg, erlotinib), and monoclonal antibodies (eg, rilotumumab and bevacizumab).
Foretinib is a multikinase inhibitor that targets c-Met, vascular endothelial growth factor receptor 2 (VEGFR2), RON, and AXL. The interest in this drug emerged from a phase II study of 74 patients with sporadic or hereditary papillary renal cell carcinoma.[16] The ORR was 13.5%, disease stabilization rate was 88%, median PFS was 9.3 months, and median OS was not reached. Interestingly, the presence of a germline MET mutation was highly predictive of a response (5/10 patients with germline MET mutations vs 5/57 patients without germline MET mutations).[16] Thus, this trial underscored the importance of MET pathway analysis. Tivantinib (ARQ 197) binds to the c-Met protein and disrupts MET signal transduction pathways, and was tested in patients with microphthlamia transcription factor–associated tumors. A total of 6 patients with papillary renal cell carcinoma were included; the disease control rate was 50%, with a median PFS of 1.9 months and median OS of 15 months.[17]
Erlotinib was evaluated in 45 patients with metastatic papillary renal cell carcinoma. The disease control rate was 64% (5 partial responses and 24 patients with stable disease). However, the Response Evaluation Criteria in Solid Tumors (RECIST) response rate that was achieved-11%-did not exceed the prespecified criterion for additional study.[18] Rilotumumab (AMG 102), a human monoclonal antibody that binds hepatocyte growth factor/scatter factor, was tested in 40 patients with advanced renal cell carcinoma (only two patients with papillary histology). The results of the study were largely negative: ORR was 2.5%, 16% of patients had stable disease, and the median PFS was 3.7 months.[19] The combination of everolimus and bevacizumab was evaluated in a phase II study of 34 patients with metastatic non–clear-cell renal cell carcinoma. The presence of a major papillary component was associated with treatment benefit, compared with cases without a majority papillary component (ORR, 43% vs 11%; median PFS, 12.9 vs 1.9 months; and OS, 18.5 vs 9.3 months; P < .001).[20]
Ongoing clinical trials in papillary renal cell carcinoma include several phase II and III studies (Table) designed to determine the efficacy of a variety of targeted therapies. Agents being investigated include TKI and mTOR inhibitors, as well as drugs with novel mechanisms of action, such as c-Met inhibitors, anti-endoglin agents, and immune checkpoint blockers.
We would like to highlight the importance of some of these trials. The activity of pazopanib in non–clear-cell subtypes remains to be defined. Pazopanib has proven to be noninferior compared with sunitinib in clear-cell subtypes, and it has a better toxicity profile. There has been a marked increase in interest in volitinib (AZD6094), a selective small-molecule and highly potent inhibitor of c-Met. Volitinib has shown preclinical activity as monotherapy in cell lines and xenograft models. Additionally, encouraging phase I results have motivated the ongoing phase II clinical trial (NCT02127710).[21] This study is including only patients with papillary renal cell carcinoma histology, and MET pathways analysis (tumor/germline) will be performed. TRC105 is an antibody to endoglin, a protein that is overexpressed on endothelial cells and that is essential for angiogenesis. A clinical trial evaluating bevacizumab with or without TRC105 in patients with clear-cell and non–clear-cell carcinomas has completed accrual (NCT01727089).
Finally, the rapid development of immune checkpoint blockade therapies (Answer D) has opened a new field of research for renal cell carcinoma. Programmed death ligand 1 (PD-L1) expression has been evaluated in 101 non–clear-cell carcinomas using immunohistochemistry. PD-L1 positivity was observed in 30% of papillary renal cell carcinomas and was associated with higher tumor grade and poorer OS.[22] Preliminary results of a phase I trial of MPDL3280A (an engineered anti–PD-L1 antibody) in renal cell carcinoma were reported at the European Society for Medical Oncology (ESMO) 2014 Cancer Congress. This trial included 69 patients, 7 of whom (10%) had non–clear-cell histology. Antitumor activity was documented for this subgroup, with some partial responses seen.[23] Nonetheless, immunotherapy research in renal cell carcinoma is still in very early phases.
Thus, while targeted therapies against VEGF and mTOR pathways have become the cornerstones of treatment for non–clear-cell renal cell carcinomas, given their low efficacy in this subgroup, current guidelines favor the inclusion of these patients in clinical trials as the preferred strategy even for front-line therapy, making Answer E correct.[24] Consideration of tumor biology and pathway analysis may help guide studies to determine optimal therapies for papillary renal cell carcinoma. Immune checkpoint blockade inhibitors also warrant further evaluation in this patient subgroup.
We strongly favor the inclusion of patients with papillary histology in clinical trials. If there is not a trial available or if a patient is not a candidate for a trial, we favor a TKI as the first-line systemic treatment.
Unfortunately, no clinical trials were open for papillary histology where our patient lived (Mexico City) at the time he presented with the disease. Thus, he was offered systemic treatment with pazopanib, a TKI. On follow-up, his hip pain was better controlled and his functional status had improved. He had good tolerance of the drug and no significant therapy-related side effects. Given his low levels of vitamin D, bisphosphonate therapy was withheld until adequate vitamin D replacement was achieved. After 3 months of treatment with pazopanib, a follow-up PET/CT scan was obtained, which showed radiographic response (Figure 3). He continues on pazopanib therapy.
Financial Disclosure: Dr. Lam serves on the advisory board of and receives clinical trial support from Bristol-Myers Squibb; she also receives clinical trial support from Roche/Genentech. The other authors have no significant financial interest in or other relationship with the manufacturer of any product or provider of any service mentioned in this article.
Acknowledgement: The authors would like to thank the Aramont Foundation and Canales de Ayuda A.C. for their support in research activities in urologic oncology at Instituto Nacional de Ciencias Médicas y Nutrición Salvador Zubirán.
[[{"type":"media","view_mode":"media_crop","fid":"41471","attributes":{"alt":"","class":"media-image media-image-right","id":"media_crop_2151464743744","media_crop_h":"0","media_crop_image_style":"-1","media_crop_instance":"4379","media_crop_rotate":"0","media_crop_scale_h":"0","media_crop_scale_w":"0","media_crop_w":"0","media_crop_x":"0","media_crop_y":"0","style":"height: 110px; width: 75px; float: right;","title":" ","typeof":"foaf:Image"}}]]E. David Crawford, MD, serves as Series Editor for Clinical Quandaries. Dr. Crawford is Professor of Surgery, Urology, and Radiation Oncology, and Head of the Section of Urologic Oncology at the University of Colorado School of Medicine; Chairman of the Prostate Conditions Education Council; and a member of ONCOLOGY's Editorial Board.
If you have a case that you feel has particular educational value, illustrating important points in diagnosis or treatment, you may send the concept to Dr. Crawford at david.crawford@ucdenver.edu for consideration for a future installment of Clinical Quandaries.
1. Motzer RJ, Jonasch E, Agarwal N, et al. Kidney cancer, version 2.2014. J Natl Compr Canc Netw. 2014;12:175-82.
2. Sankin A, Hakimi AA, Hsieh JJ, Molina AM. Metastatic non-clear cell renal cell carcinoma: an evidence based review of current treatment strategies. Front Oncol. 2015;5:67.
3. Lopez-Beltran A, Scarpelli M, Montironi R, Kirkali Z. 2004 WHO classification of the renal tumors of the adults. Eur Urol. 2006;49:798-805.
4. Delahunt B, Eble JN. Papillary renal cell carcinoma: a clinicopathologic and immunohistochemical study of 105 tumors. Mod Pathol. 1997;10:537-44.
5. Ohh M, Park CW, Ivan M, et al. Ubiquitination of hypoxia-inducible factor requires direct binding to the beta-domain of the von Hippel-Lindau protein. Nat Cell Biol. 2000;2:423-7.
6. Maxwell PH, Wiesener MS, Chang GW, et al. The tumour suppressor protein VHL targets hypoxia-inducible factors for oxygen-dependent proteolysis. Nature. 1999;399:271-5.
7. Twardowski PW, Mack PC, Lara PN Jr. Papillary renal cell carcinoma: current progress and future directions. Clin Genitourin Cancer. 2014;12:74-9.
8. Linehan WM, Rouault TA. Molecular pathways: fumarate hydratase-deficient kidney cancer-targeting the Warburg effect in cancer. Clin Cancer Res. 2013;19:3345-52.
9. Vera-Badillo FE, Templeton AJ, Duran I, et al. Systemic therapy for non-clear cell renal cell carcinomas: a systematic review and meta-analysis. Eur Urol. 2015;67:740-9.
10. Upton MP, Parker RA, Youmans A, et al. Histologic predictors of renal cell carcinoma response to interleukin-2-based therapy. J Immunother. 2005;28:488-95.
11. Haas NB, Lin XY, Manola J, et al. A phase II trial of doxorubicin and gemcitabine in renal cell carcinoma with sarcomatoid features: ECOG 8802. Med Oncol. 2012;29:761-7.
12. Hudes G, Carducci M, Tomczak P, et al. Temsirolimus, interferon alfa, or both for advanced renal-cell carcinoma. N Engl J Med. 2007;356:2271-81.
13. Armstrong AJ, Halabi S, Eisen T, et al. ASPEN: a randomized phase II trial of everolimus versus sunitinib in patients with metastatic non-clear cell renal cell carcinoma. J Clin Oncol. 2013;31:15.
14. Ciccarese C, Massari F, Santoni M, et al. New molecular targets in non clear renal cell carcinoma: an overview of ongoing clinical trials. Cancer Treat Rev. 2015;41:614-22.
15. Ravaud A. Oudard S, De Fromont M, et al. First-line treatment with sunitinib for type 1 and type 2 locally advanced or metastatic papillary renal cell carcinoma: a phase II study (SUPAP) by the French Genitourinary Group (GETUG). Ann Oncol. 2015;26:1123-8.
16. Choueiri TK, Vaishampayan U, Rosenberg JE, et al. Phase II and biomarker study of the dual MET/VEGFR2 inhibitor foretinib in patients with papillary renal cell carcinoma. J Clin Oncol. 2013;31:181-6.
17. Wagner AJ, Goldberg JM, Dubois SG, et al. Tivantinib (ARQ 197), a selective inhibitor of MET, in patients with microphthalmia transcription factor-associated tumors: results of a multicenter phase 2 trial. Cancer. 2012;118:5894-902.
18. Gordon MS, Hussey M, Nagle RB, et al. Phase II study of erlotinib in patients with locally advanced or metastatic papillary histology renal cell cancer: SWOG S0317. J Clin Oncol. 2009;27:5788-93.
19. Schoffski P, Garcia JA, Stadler WM, et al. A phase II study of the efficacy and safety of AMG 102 in patients with metastatic renal cell carcinoma. BJU Int. 2011;108:679-86.
20. Voss MH, Chen YB, Chaim J, et al. A phase II trial of everolimus and bevacizumab in advanced non-clear cell renal cell cancer. J Clin Oncol. 2015;33(suppl 7):abstr 411.
21. Gan HK, Lickliter J, Millward M, et al. cMet: results in papillary renal cell carcinoma of a phase I study of AZD6094/volitinib leading to a phase 2 clinical trial with AZD6094/volitinib in patients with advanced papillary renal cell cancer (PRCC). J Clin Oncol. 2015;33(suppl 7):abstr 487.
22. Choueiri TK, Fay AP, Gray KP, et al. PD-L1 expression in nonclear-cell renal cell carcinoma. Ann Oncol. 2014;25:2178-84.
23. McDermott DF, Kluger HM, Sosman JA, et al. Immune correlates and long-term follow-up of a phase Ia study of MPDL3280A, an engineered PD-L1 antibody, in patients with metastatic renal cell carcinoma (mRCC). BJU Int. 2014;114:12-12.
24. Motzer RJ, Jonasch E, Agarwal N, et al. Kidney cancer, version 3.2015. J Natl Compr Canc Netw. 2015;13:151-9.