Primary Cutaneous CD30+ Lymphoproliferative Disorders: New Insights Into Biology and Therapy
The spectrum of CD30+ lymphoproliferative diseases of the skin includes CD30+ cutaneous anaplastic large cell lymphoma, lymphomatoid papulosis, as well as borderline cases. These entities constitute the second most common group of cutaneous lymphomas according to the newly revised World Health Organization and European Organisation for Research and Treatment of Cancer consensus classification. Recent progress in immune and molecular biology, and identification of therapeutic targets have increased our understanding of these diseases and have led to novel treatment approaches. This review will provide an update on recent findings of immunologic, molecular, cytogenetic features and treatment strategies for patients with CD30+ lympho-proliferative diseases.
The spectrum of CD30+ lymphoproliferative diseases of the skin includes CD30+ cutaneous anaplastic large cell lymphoma, lymphomatoid papulosis, as well as borderline cases. These entities constitute the second most common group of cutaneous lymphomas according to the newly revised World Health Organization and European Organisation for Research and Treatment of Cancer consensus classification. Recent progress in immune and molecular biology, and identification of therapeutic targets have increased our understanding of these diseases and have led to novel treatment approaches. This review will provide an update on recent findings of immunologic, molecular, cytogenetic features and treatment strategies for patients with CD30+ lymphoproliferative diseases.
Clinically and biologically, cutaneous T-cell lymphomas (CTCL) represent a heterogeneous group of non-Hodgkin's lymphomas (NHL) defined by clonal proliferation of skin-homing malignant T lymphocytes. The spectrum of CD30+ cutaneous lymphoproliferative disorders includes lymphomatoid papulosis (LyP), cutaneous anaplastic large-cell lymphoma (CALCL), and borderline cases that represent the second most common types of CTCL after mycosis fungoides (MF) and comprise approximately 25% of all CTCL.[1] Their common phenotypic hallmark is the CD30 antigen, a cytokine receptor belonging to the tumor necrosis factor receptor superfamily. Other overlapping features include common spontaneous regression of the skin lesions and in general a low-grade malignant course with an excellent prognosis.[2,3]
Clinical Manifestation and Differential Diagnosis
Lymphomatoid Papulosis
FIGURE 1

Lymphomatoid Papulosis
First described in 1956 by Dupont et al as histiomonocytic reticulosis and later coined by Macaulay in 1968, LyP has been recognized as a clinically benign but often recurrent skin condition. The skin of patients is characterized by the presence of a self-healing skin eruption of erythematous papules and nodules that may become hemorrhagic, necrotic, and/or ulcerative (Figure 1).[4,5] Clinically, lesions vary from papules and nodules to, less commonly, larger plaques, and follicular, vesicular, and pustular types.[6] Oral involvement has been rarely observed.[7] While individual lesions take weeks to several months to resolve, the disease may recur for decades and is highly variable. Arthropod bites, pityriasis lichenoides et varioliformis acuta (PLEVA), prurigo nodularis, folliculitis, and various cutaneous lymphomas may clinically resemble LyP.
LyP was previously considered a benign inflammatory process comprising a spectrum with pityriasis lichenoides.[8] Both conditions are associated with crops of papules on the trunk and extremities that tend to ulcerate. However, LyP is now regarded as an indolent cutaneous lymphoma according to the new World Health Organization-European Organisation for Research and Treatment of Cancer (WHO-EORTC) classification.[1]
TABLE 1

Key Diagnostic Criteria for Lymphomatoid Papulosis (LyP)FIGURE 2

Three Types of Lymphomatoid Papulosis
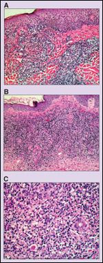
Three histologic types have been identified, characterized as type A, B, and C (Table 1). Types A and C consist of large atypical lymphocytes resembling Reed-Sternberg cells. Type A cells are embedded in a dense inflammatory background with histiocytes, neutrophils, and eosinophils, and can resemble Hodgkin's disease, whereas type C cells are characterized by sheets of similar large atypical lymphocytes with prominent lavender nucleoli and open chromatin with fewer interspersed inflammatory cells (Figure 2). Only a few inflammatory cells are present. Type B simulates classical MF features, with epidermotropism and a dermal band-like infiltrate composed of small to medium-sized cells. It may represent an early stage in the evolution of the more conventional type A presentation.
FIGURE 3

Pseudoepitheliomatous Lymphomatoid Papulosis
Atypical cells exhibit a CD4+ CD8- CD30+ T-helper phenotype and frequently express cytotoxic proteins such as granzyme B, TIA-1, and perforin. Aberrant phenotypes with loss of the CD7 antigen frequently occur. The expression of CD15, a marker for Hodgkin and Reed-Sternberg cells, has been reported, but staining for CD15 is generally negative. Coexpression of CD56 is observed in rare cases, but does not appear to be associated with an unfavorable prognosis.[9,10] Pseudocarcinomatous epidermal hyperplasia was found in cases of LyP and CD30+ CALCL possibly associated with epidermal growth factor dysregulation (Figure 3).[11] Recently published immunohistochemical data suggest that fascin expression in LyP may become a predictive marker for development of a second lymphoid malignancy.[12] Low (or loss of) CD134 expression may also predict disease progression.[13]
Cutaneous CD30+ Anaplastic Large-Cell Lymphoma
FIGURE 4

Cutaneous Anaplastic Large-Cell Lymphoma
In 1985, Stein et al described a large-cell lymphoma defined by cohesive sheets of large lymphoid cells expressing the Ki-1 (CD30) antigen. This has led to the further recognition of CD30 expression as a common phenotypic hallmark for LyP and CD30+ CALCL. Most cases of CD30+ CALCL present as solitary or regional nodules and/or tumors that often show ulceration (Figure 4). The skin lesions may undergo spontaneous regression as in LyP, but often persist. Generalized or multifocal lesions are seen in about 20% of patients. Papules and plaques simulating morphea or ulcerated lesions resembling pyoderma gangrenosum have also been described.[14] Extracutaneous or regional lymph node involvement is seen in 10% of patients at presentation.
FIGURE 5

Cutaneous Anaplastic Large-Cell Lymphoma on Histology
CD30+ CALCL shows histologic and immunophenotypic overlap with LyP and may be difficult to distinguish at times. Therefore, clinical features are important in distinguishing CD30+ CALCL from LyP. A morphologic and immunophenotypic overlap with classic Hodgkin's disease has also been recognized. Histology shows a diffuse, nonepidermotropic infiltrate with cohesive proliferations of large CD30+ lymphocytes. In most cases, neoplastic cells show anaplastic features; less commonly, they have a pleomorphic or immunoblastic appearance (Figure 5). However, there is no difference in the prognosis and survival rate.
According to the WHO-EORTC system, CALCL is classified by the expression of CD30 in more than 75% of large atypical cells.[1] However, it may show a wide morphologic spectrum including neutrophil-rich tumors.[15] The atypical cells generally show an activated CD4+ T-helper cell phenotype with variable loss of T-cell markers and frequent expression of cytotoxic proteins. A CD8+ T-cell phenotype as well as coexpression of CD56 and CD30 have rarely been reported.[15] The overlying epidermis may show a variable degree of pseudoepitheliomatous hyperplasia mimicking squamous cell carcinoma, thereby leading to inappropriate diagnosis and treatment (Figure 4).[11]
In contrast to systemic anaplastic large-cell lymphoma (ALCL), primary CD30+ CALCL rarely carries the t(2;5) translocation and is usually ALCL kinase protein (ALK)-negative.[16,17] Clusterin was found to be a specific marker for ALCL, but it does not differentiate primary from secondary cutaneous ALCL, as the presence of the ALK protein apparently does.[18] Epithelial membrane antigen (EMA) and expression of c-kit receptor (CD117) is usually negative in cases of CD30+ CALCL and LyP.[19]
Borderline Cases
Borderline cases refer to those in which a difference between the clinical and histologic appearance exists. These include cases with the clinical presentation of a CD30+ CALCL but histologic features suggestive of LyP, and, conversely, cases with a recurrent, self-healing skin eruption that shows histologic features characteristic of a CD30+ CALCL. The distinction between LyP and CD30+ CALCL is not always possible based on histologic criteria. LyP type C has been described as a borderline lesion of CD30+ CALCL. Thus, the clinical appearance and the clinical course over time are used as decisive criteria for the definitive diagnosis and choice of treatment.
The presentation of CD30+ lymphoproliferative diseases can be a diagnostic challenge, as CD30 expression has been observed in cutaneous infiltrates of various reactive inflammatory and neoplastic diseases such as arthropod bites, scabies, PLEVA, Langerhans cell histiocytosis, cutaneous B-cell lymphomas with immunoblastic or large-cell features, and CD30+ large-cell transformation of MF. Therefore, clinicopathologic correlation is mandatory to establish a diagnosis and to avoid inadequate or excessive therapy.[8,20,21]
Epidemiology
CD30+ lymphoproliferative diseases represent the second most common CTCL after MF, comprising approximately 25% of all CTCL cases, with a male predominance of approximately 1.5 to 2.0:1. The prevalence rate of lymphomatoid papulosis is estimated at 1.2 to 1.9 cases per 1,000,000 population in the United States and may occur less frequently in African-American patients.[22] The prevalence of CD30+ CALCL in the US is not known. LyP generally occurs in adults between the third and fourth decade of life, with a median age of 45 years at onset, although the disorder may affect individuals at any age. It has also been described in children.[23] In addition, cases of regional LyP were more often found in children than in adults.
About 10% to 20% of the adult patients diagnosed with LyP develop an associated lymphoid malignancy, but the prognosis for patients with LyP is otherwise excellent, showing a 100% 5-year survival rate. LyP is most commonly associated with MF, CD30+ CALCL, and Hodgkin's disease.[24] CD30+ CALCL may occur at any age, but typically affects older patients in the sixth decade with a median age of 61 years. Systemic therapy will often cure the associated lymphoid malignancy; however, the LyP will recur. Although rarely, CD30+ CALCL does appear in children, as confirmed by two retrospective studies with follow-up data for more than 20 years.[3,23]
Etiology
CD30 expression in lymphocytes is upregulated by select viruses such as Epstein-Barr virus (EBV), human herpesvirus (HHV), and human T-cell lymphotropic viruses 1 and 2 (HTLV1/2) and has been implicated in the pathogenesis of CD30+ lymphoproliferative diseases. Electron microscopy has identified intranuclear and intracytoplasmic virus-like particles in cases of lymphomatoid papulosis, but further investigations have been negative to date.[25-27]
More recently, transcripts of human endogenous retroviral sequences in lesional tissue and cell lines of cutaneous CD30+ lymphoproliferative diseases have been detected.[28] EBV has been found in rare cases of CD30+ CALCL and LyP as posttransplant lymphoproliferative disorders, after immunosuppressive therapy, or in human immunodeficiency virus infection.[29-31] Reduced immunosurveillance or chronic antigenic stimulation due to the graft, a direct oncogenic effect of immunosuppressive drugs, or activation of oncogenic viruses have all been suggested as possible mechanisms. However, the exact pathologic process remains elusive.[32,33]
Biologic Properties and Molecular Mechanisms
The skin-homing mechanism of malignant T cells is not completely elucidated, although adhesion molecules and chemokines have been associated with the pathogenesis. Data have shown that expression of CLA and CCR3 with its ligand eotaxin/CCL11 plays a role in homing of CD30+ CTCL cells to the skin.[34] More recent studies investigated the expression patterns of the chemokine receptors CXCR3, CCR4, and CCR3 and their ligands MIG (monokine-induced by interferon-gamma, CXCL9), TARC (thymus- and activation-regulated chemokine, CCL17) and RANTES (CCL5) in skin specimens of patients with CD30+ cutaneous lymphoproliferative disorders.[35] It appears that CCR3 and its ligand RANTES were coexpressed in CD30+ CALCL,[34,35] suggesting tumor cell growth via an autocrine mechanism. CXCR3 was detected in atypical lymphoid cells of LyP, especially in epidermotropic small to medium-sized lymphoid cells of type B LyP. The CXCR3 ligand MIG was expressed in lesional epidermal keratinocytes in LyP, thereby facilitating migration into the epidermis.[35]
The preferential association of some chemokine receptors with human T helper (Th)1 or Th2 cells has been reported.[36] In vitro studies have proposed that human Th1 cells favor expression of CXCR3, whereas Th2 cells favor CCR3 and CCR4. Analysis of cytokine expression patterns of CCR3-bearing CD30+ infiltrating CTCL cells showed a predominant Th-2 profile with interleukin (IL)-4 but not interferon-gamma protein expression. This is consistent with the hypothesis that CD30+ CALCL might be characterized by a Th2-like cytokine profile and that LyP might be functionally of Th1 phenotype, in contrast to CD30+ CALCL.[34,35]
Little is known about apoptosis mechanisms that may underlie the clinical regression of skin lesions in CD30+ lymphoproliferative diseases. Apoptosis rates and expression of apoptosis-related proteins were analyzed in evolutional stages of LyP and CD30+ CALCL, and CD30+ lymphoma cell lines.[37] A significantly higher apoptotic index was found in LyP than in CD30+ CALCL.[38] The proapoptotic protein Bax was expressed at high levels in evolutional stages of LyP and CD30+ CALCL, and this may play a crucial role in mediating apoptosis of tumor cells. However, no significant correlation was found between Bax expression and the tumor type and evolutional stage. Expression of bcl-2 appears to protect tumor cells from apoptosis in CD30+ lymphoproliferative disorders. Stimulation of cell growth and apoptosis have been noted with the activation of CD30, and therefore, CD30 ligand-mediated cytotoxicity may participate in the pathophysiology of clinical regression.[38,39] Interaction between Fas/APO-1 (CD95) and its ligand FasL have also been studied.[40] CD95 appears to be expressed at high levels in all cutaneous CD30+ lymphomas, suggesting that CD95 activation may induce regression of CD30+ skin lesions.
Molecular studies have found that nearly all cases of primary cutaneous CD30+ CALCL are of clonal origin.[41,42] Analyses of LyP cases for the presence of clonal T-cell receptor (TCR) rearrangements have shown that only a proportion of patients with LyP have a monoclonal T-cell proliferation.[43,44] However, identical clones have been found in LyP lesions and associated CTCL. Recent data demonstrated that the sensitivity of polymerase chain reaction (PCR) analysis may be enhanced by microdissection of T cells in MF,[45] but controversial data on the clonality of neoplastic CD30+ cells by microdissection and single-cell analysis in LyP have been reported.[46-48] One group identified monoclonal patterns of TCR-gamma chain rearrangements in the CD30+ T cells in nearly all cases,[46] whereas a recent study showed that the small CD30- T cells represent the clonal population.[47]
Cytogenetic Abnormalities
The genetic background of CD30+ lymphoproliferative diseases seems to be largely unknown. Microsatellite instability, consistent with deficits in DNA repair, was recently identified in one patient with CD30+ CALCL originating from LyP.[49] Cytogenetic analysis revealed numerical and structural aberrations such as trisomy 7 in CD30+ neoplastic cells with recurrent breakpoints observed at 1p36, 6p25, 8q24, and 10q24. Loss of genetic material occurred at 6q in one instance of CD30+ CALCL.[50,51] Comparative genomic hybridization studies disclosed chromosomal imbalances in approximately 40% of cases.[52] The most frequent gains involved chromosome 1/1p and 5 (50% of cases), 6, 7, 8/8p, and 19 (38%). Recurrent losses were detected at 6q21 and 18p11. Gains involving chromosome 9 and losses involving chromosome 6q and 18p were seen in relapsing patients.[53]
Cellular insensitivity to growth inhibition by transforming growth factor (TGF)-beta is a hallmark in the genesis and progression of human malignancies. Mutations in or loss of the TGF-beta receptor genes I and II have been described in cell lines clonally derived from LyP in the progression to systemic lymphoma and have been linked directly to resistance to the growth inhibitory effects of TGF-beta.[54-56] JunB overexpression is a common finding in CD30+ CALCL and LyP and appears to be necessary for CD30 expression, but its potential pathogenetic role in these neoplasms has not yet been elucidated.[57]
Staging, Survival, and Prognosis
Routine evaluation should include complete physical examination, complete blood count with differential, chemistry panel with lactate dehydrogenase (LDH), skin biopsy for histology, immunophenotyping and gene rearrangement studies and lymph node biopsies in cases with enlarged nodes at presentation to establish the diagnosis and staging. Immunostaining with anti-ALK monoclonal antibodies and/or reverse transcriptase (RT)-PCR can be performed to detect the t(2;5) translocation for diagnostic purposes. Imaging studies such as computed tomography and positron-emission tomography scans should be reserved for patients with clinical and laboratory findings suggestive of systemic disease or prominent lymphadenopathy. Bone marrow biopsy is a consideration in patients with CD30+ CALCL. Histopathologic and molecular results should be correlated with clinical findings and patients classified according to the WHO-EORTC consensus classification.
Many European studies have confirmed the excellent prognosis of CD30+ lymphoproliferative diseases.[58] This was again confirmed by two recent reports from cutaneous lymphoma groups in Europe and the United States with 5- and 10-year disease-related survival rates exceeding 90%.[3,59] However, a few cases of CD30+ CALCL with poor outcome have been observed. Patients presenting with multifocal skin lesions and/or regional lymph nodes have a similar prognosis to patients with skin lesions only. In contrast, the specific survival at 5 years was only 24% in patients presenting with secondary cutaneous involvement during systemic lymphoma with large CD30+ cells.[3] The occurrence of tumors with large CD30+ cell transformation of MF is also associated with poor prognosis.[58] No difference in clinical presentation, clinical behavior, or prognosis is found among CD30+ CALCL cases with an anaplastic, pleomorphic, or immunoblastic morphology.[1] Spontaneous regression and age less than 60 years are associated with a favorable prognosis.[2]
No patients with lymphomatoid papulosis have died of disease. Patients diagnosed with LyP at a younger age tend to be at higher risk for malignant transformation.[60] One investigation found that the cumulative risk for developing lymphoma over time begins after 5 years and approaches 80% after 15 years, but this has not been witnessed in our experience or by others investigators.[60] A few cases have been reported showing that CD30/CD56 coexpression is associated with disease progression, as well as increased Fascin levels.[12,61] In cases with progression, point mutations and deletions on TGF-beta receptor genes I and II have been found, leading to the loss of its tumor-suppressive properties.[54,55]
Treatment Options
No curative treatment is available for cutaneous CD30+ lymphoproliferative disorders. Historically, the most commonly reported treatment modalities in LyP are doxycycline, psoralens and ultraviolet light A (PUVA), UVB, narrowband (NB)-UVB, low-dose methotrexate, interferon-alpha, topical steroid and bexarotene (Targretin) formulations, and radiation. However, none of these treatments alter the natural course of disease. Therefore, the short-term benefits should be weighed against the potential harmful side effects.
Observation in patients with few lesions is recommended, whereas in patients with more disseminated disease, low-dose methotrexate or UV light treatment might be effective in clearing the lesions.[62,63] A few single case reports have found that topical carmustine (BCNU), topical nitrogen mustard, topical methotrexate, intralesional interferon-alpha, low-dose cyclophosphamide, chlorambucil (Leukeran), medium-dose UVA-1 therapy, imiquimod (Aldara), and dapsone may be effective.[64-68] Data are scarce in children with LyP, but reported treatment modalities include systemic antibiotics, low-dose methotrexate, topical steroids, PUVA, and UVB.[3,23]
Spot radiation for solitary or localized lesions is the preferred treatment for CD30+ CALCL, with systemic chemotherapy reserved for cases with large tumor burden and/or extracutaneous involvement. However, relapse occurs in approximately 40% of patients despite treatment.[3] Therapeutic regimens include doxorubicin-based chemotherapy-ie, CHOP (cyclophosphamide, hydroxyldaunomycin [doxorubicin], vincristine [Oncovin], prednisone) or CHOP-like combinations, interferon-alpha, or oral bexarotene. The Dutch Cutaneous Lymphoma Group found that multiagent systemic chemotherapy, compared with single-agent therapy, neither resulted in a higher cure rate nor prevented future relapses in their patients.[3]
More recently, investigators have reported that recombinant interferon-gamma (Actimmune) and combined treatment with bexarotene and interferon alfa-2a (Roferon-A) have efficacy in this setting.[69,70] Patients with systemic progression following combination chemotherapy are potential candidates for autologous or allogeneic stem cell transplantation, although limited data concerning this patient population are available. In our experience, pegylated doxorubicin (Doxil) is very effective as single agent, presumably due to the increased efficacy of the liposomal agent in the skin.[71]
REFERENCE GUIDE
Therapeutic Agents
Mentioned in This Article
Bexarotene (Targretin)
Carmustine (BCNU)
Chlorambucil (Leukeran)
CHOP, CHOP-like regimens
Dapsone
Doxorubicin, pegylated liposomal (Doxil)
Doxycycline
Imiquimod (Aldara)
Interferon-alpha
Interferon alfa-2a (Roferon-A)
Interferon-gamma (Actimmune)
Methotrexate
Nitrogen mustard
Phototherapy (UVB, PUVA, UVA-1)
SGN-30
Brand names are listed in parentheses only if a drug is not available generically and is marketed as no more than two trademarked or registered products. More familiar alternative generic designations may also be included parenthetically.
Experimental immunotherapies have targeted CD30+ cells in the setting of Hodgkin's disease. SGN-30 is a chimeric anti-CD30 monoclonal antibody that demonstrated activity against Hodgkin's disease and ALCL cell lines in vitro and in xenograft models.[38,72] SGN-30 has been shown to produce objective tumor responses in patients with systemic ALCL.[73] However, limited objective responses in patients with Hodgkin's disease have been observed, which is likely due to differences in CD30 signaling. Moreover, preliminary results of a phase II trial in patients with cutaneous CD30+ lymphoproliferative disorders demonstrated promising results with low levels of toxicity reported.[74] SGN-30 was given at a dose of 12 mg/kg every 2 to 3 weeks, with 6 (35%) objective responses (complete plus partial responses) observed.
Conclusions
Primary cutaneous CD30+ lymphoproliferative diseases demonstrate a wide spectrum of clinical and histologic manifestations. Clinicians and pathologists need to be aware of the characteristic features of these entities to avoid misdiagnosis and inappropriate treatment. CD30+ lymphoproliferative diseases have an excellent prognosis, with a 10-year survival exceeding 90%. Because a risk for systemic progression exists in 15% to 20% of patients, long-term observation is recommended. As our understanding of the basic biology and molecular alterations of CD30+ atypical lymphoid cells matures, it is anticipated that novel therapeutic approaches to target key signaling pathways or recognize important targets will be developed.
Financial Disclosure: Dr. Rosen is a consultant for Abbott Laboratories, Allos, Berlex, Biocryst, Celgene, CTI, Genentech, Genta, Ligand, Lilly, Sigma-Tau, Supergen, and Wyeth; has received trial grants from Berlex, Celgene, and Wyeth; has received honoraria from Celgene, Genentech, and Ligand; and is a member of the speakers bureau for Merck.
References:
1. Willemze R, Jaffe ES, Burg G, et al: WHO-EORTC classification for cutaneous lymphomas. Blood 105:3768-3785, 2005.
2. Paulli M, Berti E, Rosso R, et al: CD30/Ki-1-positive lymphoproliferative disorders of the skin-clinicopathologic correlation and statistical analysis of 86 cases: A multicentric study from the European Organization for Research and Treatment of Cancer Cutaneous Lymphoma Project Group. J Clin Oncol 13:1343-1354, 1995.
3. Bekkenk MW, Geelen FA, van Voorst Vader PC, et al: Primary and secondary cutaneous CD30(+) lymphoproliferative disorders: A report from the Dutch Cutaneous Lymphoma Group on the long-term follow-up data of 219 patients and guidelines for diagnosis and treatment. Blood 95:3653-3661, 2000.
4. Brosens, Dupont A, Thulliez A: [Histio-monocytic reticulosis and mycosis fungoides; four case reports.]. Arch Belg Dermatol Syphiligr 12:263-272, 1956.
5. Macaulay WL: Lymphomatoid papulosis. A continuing self-healing eruption, clinically benign-histologically malignant. Arch Dermatol 97:23-30, 1968.
6. Kempf W: CD30+ lymphoproliferative disorders: histopathology, differential diagnosis, new variants, and simulators. J Cutan Pathol 33(suppl 1):58-70, 2006.
7. Pujol RM, Muret MP, Bergua P, et al: Oral involvement in lymphomatoid papulosis. Report of two cases and review of the literature. Dermatology 210:53-57, 2005.
8. Cerroni L: Lymphomatoid papulosis, pityriasis lichenoides et varioliformis acuta, and anaplastic large-cell (Ki-1+) lymphoma. J Am Acad Dermatol 37:287, 1997.
9. Harvell J, Vaseghi M, Natkunam Y, et al: Large atypical cells of lymphomatoid papulosis are CD56-negative: A study of 18 cases. J Cutan Pathol 29:88-92, 2002.
10. Flann S, Orchard GE, Wain EM, et al: Three cases of lymphomatoid papulosis with a CD56+ immunophenotype. J Am Acad Dermatol 55:903-906, 2006.
11. Scarisbrick JJ, Calonje E, Orchard G, et al: Pseudocarcinomatous change in lymphomatoid papulosis and primary cutaneous CD30+ lymphoma: A clinicopathologic and immunohistochemical study of 6 patients. J Am Acad Dermatol 44:239-247, 2001.
12. Kempf W, Levi E, Kamarashev J, et al: Fascin expression in CD30-positive cutaneous lymphoproliferative disorders. J Cutan Pathol 29:295-300, 2002.
13. Gniadecki R, Rossen K: Expression of T-cell activation marker CD134 (OX40) in lymphomatoid papulosis. Br J Dermatol 148:885-891, 2003.
14. Burg G, Kempf W, Kazakov DV, et al: Pyogenic lymphoma of the skin: A peculiar variant of primary cutaneous neutrophil-rich CD30+ anaplastic large-cell lymphoma. Clinicopathological study of four cases and review of the literature. Br J Dermatol 148:580-586, 2003.
15. Boudova L, Kazakov DV, Jindra P, et al: Primary cutaneous histiocyte and neutrophil-rich CD30+ and CD56+ anaplastic large-cell lymphoma with prominent angioinvasion and nerve involvement in the forehead and scalp of an immunocompetent woman. J Cutan Pathol 33:584-589, 2006.
16. Herbst H, Sander C, Tronnier M, et al: Absence of anaplastic lymphoma kinase (ALK) and Epstein-Barr virus gene products in primary cutaneous anaplastic large cell lymphoma and lymphomatoid papulosis. Br J Dermatol 137:680-686, 1997.
17. Sasaki K, Sugaya M, Fujita H, et al: A case of primary cutaneous anaplastic large cell lymphoma with variant anaplastic lymphoma kinase translocation. Br J Dermatol 150:1202-1207, 2004.
18. Lae ME, Ahmed I, Macon WR: Clusterin is widely expressed in systemic anaplastic large cell lymphoma but fails to differentiate primary from secondary cutaneous anaplastic large cell lymphoma. Am J Clin Pathol 118:773-779, 2002.
19. Rassidakis GZ, Georgakis GV, Oyarzo M, et al: Lack of c-kit (CD117) expression in CD30+ lymphomas and lymphomatoid papulosis. Mod Pathol 17:946-953, 2004.
20. Panhans A, Bodemer C, Macinthyre E, et al: Pityriasis lichenoides of childhood with atypical CD30-positive cells and clonal T-cell receptor gene rearrangements. J Am Acad Dermatol 35:489-490, 1996.
21. Laube S, Shah F, Marsden J: Consequences of misdiagnosis of lymphomatoid papulosis. Eur J Cancer Care (Engl) 15:194-198, 2006.
22. Wang HH, Lach L, Kadin ME: Epidemiology of lymphomatoid papulosis. Cancer 70:2951-2957, 1992.
23. Nijsten T, Curiel-Lewandrowski C, Kadin ME: Lymphomatoid papulosis in children: A retrospective cohort study of 35 cases. Arch Dermatol 140:306-312, 2004.
24. Wang HH, Myers T, Lach LJ, et al: Increased risk of lymphoid and nonlymphoid malignancies in patients with lymphomatoid papulosis. Cancer 86:1240-1245, 1999.
25. Sangueza OP, Galloway J, Eagan PA, et al: Absence of Epstein-Barr virus in lymphomatoid papulosis. An immunohistochemical and in situ hybridization study. Arch Dermatol 132:279-282, 1996.
26. Jang KA, Choi JC, Choi JH: Expression of cutaneous lymphocyte-associated antigen and TIA-1 by lymphocytes in pityriasis lichenoides et varioliformis acuta and lymphomatoid papulosis: Immunohistochemical study. J Cutan Pathol 28:453-459, 2001.
27. Shamsuddin AK, Nedwich A, Toker C: Lymphomatoid papulosis. Ultrastructural study with demonstration of intranuclear and intracytoplasmic viruslike particles. Dermatologica 161:238-242, 1980.
28. Kempf W, Kadin ME, Dvorak AM, et al: Endogenous retroviral elements, but not exogenous retroviruses, are detected in CD30-positive lymphoproliferative disorders of the skin. Carcinogenesis 24:301-306,
2003.
29. Ravat FE, Spittle MF, Russell-Jones R: Primary cutaneous T-cell lymphoma occurring after organ transplantation. J Am Acad Dermatol 54:668-675, 2006.
30. Wilkins K, Turner R, Dolev JC, et al: Cutaneous malignancy and human immunodeficiency virus disease. J Am Acad Dermatol 54:189-210 (incl quiz), 2006.
31. Dreno B, Milpied-Homsi B, Moreau P, et al: Cutaneous anaplastic T-cell lymphoma in a patient with human immunodeficiency virus infection: detection of Epstein-Barr virus DNA. Br J Dermatol 129:77-81, 1993.
32. Lucioni M, Ippoliti G, Campana C, et al: EBV positive primary cutaneous CD30+ large T-cell lymphoma in a heart transplanted patient: Case report. Am J Transplant 4:1915-1920, 2004.
33. Salama S: Primary "cutaneous" T-cell anaplastic large cell lymphoma, CD30+, neutrophil-rich variant with subcutaneous panniculitic lesions, in a post-renal transplant patient: Report of unusual case and literature review. Am J Dermatopathol 27:217-223, 2005.
34. Kleinhans M, Tun-Kyi A, Gilliet M, et al: Functional expression of the eotaxin receptor CCR3 in CD30+ cutaneous T-cell lymphoma. Blood 101:1487-1493,
2003.
35. Yamaguchi T, Ohshima K, Karube K, et al: Expression of chemokines and chemokine receptors in cutaneous CD30+ lymphoproliferative disorders. Br J Dermatol 154:904-909, 2006.
36. Yamamoto J, Adachi Y, Onoue Y, et al: Differential expression of the chemokine receptors by the Th1- and Th2-type effector populations within circulating CD4+ T cells. J Leukoc Biol 68:568-574, 2000.
37. Greisser J, Doebbeling U, Roos M, et al: Apoptosis in CD30-positive lymphoproliferative disorders of the skin. Exp Dermatol 14:380-385, 2005.
38. Wahl AF, Klussman K, Thompson JD, et al: The anti-CD30 monoclonal antibody SGN-30 promotes growth arrest and DNA fragmentation in vitro and affects antitumor activity in models of Hodgkin's disease. Cancer Res 62:3736-3742, 2002.
39. Mori M, Manuelli C, Pimpinelli N, et al: CD30-CD30 ligand interaction in primary cutaneous CD30(+) T-cell lymphomas: A clue to the pathophysiology of clinical regression. Blood 94:3077-3083, 1999.
40. Paulli M, Berti E, Boveri E, et al: Cutaneous CD30+ lymphoproliferative disorders: expression of bcl-2 and proteins of the tumor necrosis factor receptor superfamily. Hum Pathol 29:1223-1230, 1998.
41. Assaf C, Hummel M, Dippel E, et al: Common clonal T-cell origin in a patient with T-prolymphocytic leukaemia and associated cutaneous T-cell lymphomas. Br J Haematol 120:488-491, 2003.
42. Kadin ME: Pathobiology of CD30+ cutaneous T-cell lymphomas. J Cutan Pathol 33(suppl 1):10-17, 2006.
43. Whittaker S, Smith N, Jones RR, et al: Analysis of beta, gamma, and delta T-cell receptor genes in lymphomatoid papulosis: Cellular basis of two distinct histologic subsets. J Invest Dermatol 96:786-791, 1991.
44. Wood GS, Crooks CF, Uluer AZ: Lymphomatoid papulosis and associated cutaneous lymphoproliferative disorders exhibit a common clonal origin. J Invest Dermatol 105:51-55, 1995.
45. Dereure O, Levi E, Vonderheid EC, et al: Improved sensitivity of T-cell clonality detection in mycosis fungoides by hand microdissection and heteroduplex analysis. Arch Dermatol 139:1571-1575, 2003.
46. Steinhoff M, Hummel M, Anagnostopoulos I, et al: Single-cell analysis of CD30+ cells in lymphomatoid papulosis demonstrates a common clonal T-cell origin. Blood 100:578-584, 2002.
47. Gellrich S, Wernicke M, Wilks A, et al: The cell infiltrate in lymphomatoid papulosis comprises a mixture of polyclonal large atypical cells (CD30-positive) and smaller monoclonal T cells (CD30-negative). J Invest Dermatol 122:859-861, 2004.
48. Greisser J, Palmedo G, Sander C, et al: Detection of clonal rearrangement of T-cell receptor genes in the diagnosis of primary cutaneous CD30 lymphoproliferative disorders. J Cutan Pathol 33:711-715, 2006.
49. Rubben A, Kempf W, Kadin ME, et al: Multilineage progression of genetically unstable tumor subclones in cutaneous T-cell lymphoma. Exp Dermatol 13:472-483,
2004.
50. Peters K, Knoll JH, Kadin ME: Cytogenetic findings in regressing skin lesions of lymphomatoid papulosis. Cancer Genet Cytogenet 80:13-16, 1995.
51. Ott G, Katzenberger T, Siebert R, et al: Chromosomal abnormalities in nodal and extranodal CD30+ anaplastic large cell lymphomas: Infrequent detection of the t(2;5) in extranodal lymphomas. Genes Chromosomes Cancer 22:114-121, 1998.
52. Mao X, Orchard G, Lillington DM, et al: Genetic alterations in primary cutaneous CD30+ anaplastic large cell lymphoma. Genes Chromosomes Cancer 37:176-185, 2003.
53. Prochazkova M, Chevret E, Beylot-Barry M, et al: Chromosomal imbalances: a hallmark of tumour relapse in primary cutaneous CD30+ T-cell lymphoma. J Pathol 201:421-429, 2003.
54. Schiemann WP, Pfeifer WM, Levi E, et al: A deletion in the gene for transforming growth factor beta type I receptor abolishes growth regulation by transforming growth factor beta in a cutaneous T-cell lymphoma. Blood 94:2854-2861, 1999.
55. Kadin ME, Levi E, Kempf W: Progression of lymphomatoid papulosis to systemic lymphoma is associated with escape from growth inhibition by transforming growth factor-beta and CD30 ligand. Ann N Y Acad Sci 941:59-68, 2001.
56. Knaus PI, Lindemann D, DeCoteau JF, et al: A dominant inhibitory mutant of the type II transforming growth factor beta receptor in the malignant progression of a cutaneous T-cell lymphoma. Mol Cell Biol 16:3480-3489, 1996.
57. Rassidakis GZ, Thomaides A, Atwell C, et al: JunB expression is a common feature of CD30+ lymphomas and lymphomatoid papulosis. Mod Pathol 18:1365-1370, 2005.
58. Grange F, Bagot M: [Prognosis of primary cutaneous lymphomas]. Ann Dermatol Venereol 129:30-40, 2002.
59. Liu HL, Hoppe RT, Kohler S, et al: CD30+ cutaneous lymphoproliferative disorders: The Stanford experience in lymphomatoid papulosis and primary cutaneous anaplastic large cell lymphoma. J Am Acad Dermatol 49:1049-1058, 2003.
60. Cabanillas F, Armitage J, Pugh WC, et al: Lymphomatoid papulosis: A T-cell dyscrasia with a propensity to transform into malignant lymphoma. Ann Intern Med 122:210-217, 1995.
61. Natkunam Y, Warnke RA, Haghighi B, et al: Co-expression of CD56 and CD30 in lymphomas with primary presentation in the skin: clinicopathologic, immunohistochemical and molecular analyses of seven cases. J Cutan Pathol 27:392-399, 2000.
62. Vonderheid EC, Sajjadian A, Kadin ME: Methotrexate is effective therapy for lymphomatoid papulosis and other primary cutaneous CD30-positive lymphoproliferative disorders. J Am Acad Dermatol 34:470-481, 1996.
63. Hughes PS: Treatment of lymphomatoid papulosis with imiquimod 5% cream. J Am Acad Dermatol 54:546-547, 2006.
64. Esteve E, Bagot M, Joly P, et al: A prospective study of cutaneous intolerance to topical mechlorethamine therapy in patients with cutaneous T-cell lymphomas. French Study Group of Cutaneous Lymphomas. Arch Dermatol 135:1349-1353, 1999.
65. Zackheim HS, Epstein EH Jr, Crain WR: Topical carmustine therapy for lymphomatoid papulosis. Arch Dermatol 121:1410-1414, 1985.
66. Didona B, Benucci R, Amerio P, et al: Primary cutaneous CD30+ T-cell lymphoma responsive to topical imiquimod (Aldara). Br J Dermatol 150:1198-1201, 2004.
67. Shehan JM, Kalaaji AN, Markovic SN, et al: Management of multifocal primary cutaneous CD30 anaplastic large cell lymphoma. J Am Acad Dermatol 51:103-110, 2004.
68. Calzavara-Pinton P, Venturini M, Sala R: Medium-dose UVA1 therapy of lymphomatoid papulosis. J Am Acad Dermatol 52:530-532, 2005.
69. Yagi H, Tokura Y, Furukawa F, et al: Th2 cytokine mRNA expression in primary cutaneous CD30-positive lymphoproliferative disorders: successful treatment with recombinant interferon-gamma. J Invest Dermatol 107:827-832, 1996.
70. French LE, Shapiro M, Junkins-Hopkins JM, et al: Regression of multifocal, skin-restricted, CD30-positive large T-cell lymphoma with interferon alfa and bexarotene therapy. J Am Acad Dermatol 45:914-918, 2001.
71. Wu JJ, Guitart J, Tucker RM, et al: Secondary cutaneous anaplastic large cell lymphoma treated with liposomal doxorubicin (Doxil) leading to complete remission. Int J Dermatol 42:464-465, 2003.
72. Mir SS, Richter BW, Duckett CS: Differential effects of CD30 activation in anaplastic large cell lymphoma and Hodgkin disease cells. Blood 96:4307-4312, 2000.
73. Forero A, Bernstein S, Gopal A, et al: Initial phase II results of SGN-30 (anti-CD30 mAb) in patients with refractory or recurrent systemic anaplastic large cell lymphoma (ALCL) (abstract 6001). J Clin Oncol 23:585s, 2005.
74. Duvic M, Kim Y, Reddy S, et al: 2006. Phase II preliminary results of SGN-30 (anti-CD30 mAb) in patients with CD30+ lymphoproliferative disorders (abstract 2733). Blood 108:773a.
Giredestrant Combo Yields Positive PFS in Subgroups After CDK4/6i in ER+/HER2– Breast Cancer
December 13th 2025“The magnitude of clinical benefit was clinically meaningful and consistent, and was regardless of PIK3CA mutations or alterations in the PIK3CA pathway, duration of prior CDK4/6 inhibitors, including patients who progress within 6 to 12 months, and the choice of prior CDK4/6 inhibitors,” said Hope S. Rugo, MD.