Preliminary results of studies employing hepatic transplantation with radiation therapy are encouraging. Although these new approaches hold promise, the prognosis in patients with biliary cancers remains poor, and the integration of novel therapeutic strategies is indicated.
The prognosis of patients with biliary cancers is poor. Although surgery is potentially curative in selected patients, local recurrence is a common pattern of failure. Adjuvant or neoadjuvant radiation therapy improves local control and possibly survival. In locally advanced patients, radiation therapy provides palliation and may prolong survival. Concurrently administered chemotherapy may further enhance these results. Newer radiation therapy techniques, including intraluminal transcatheter brachytherapy, intraoperative radiation therapy, intensity-modulated radiation therapy, and three- and four-dimensional treatment planning, permit radiation dose escalation without significant increases in normal tissue toxicity, thereby increasing the effective radiation dose. Preliminary results of studies employing hepatic transplantation with radiation therapy are encouraging. Although these new approaches hold promise, the prognosis in patients with biliary cancers remains poor, and the integration of novel therapeutic strategies is indicated.
Carcinomas of the gallbladder and biliary system are rare, with an estimated 8,570 cases occurring in the United States in 2006.[1] Because the majority of patients with biliary cancers present with unresectable or metastatic disease, the overall 5-year survival rate is less than 10%.[2,3] Surgery is the only potentially curative treatment for patients with biliary carcinoma; however, only 10% to 35% of patients are potential candidates for surgery at presentation.[4-6] In resected patients, outcome is closely associated with the pathologic findings of depth of tumor penetration and nodal metastases.
For patients resected for cure, the prognosis remains poor with high local failure rates and associated morbidity and mortality.[7,8] Given these poor outcomes, further therapy should be considered in management. However, the role of adjuvant radiation therapy and chemotherapy in resected patients is poorly defined given the rarity of this malignancy, low resection rates, and physician's therapeutic nihilism.
Surgery is the only curative treatment modality in the management of patients with primary carcinoma of the gallbladder and bile duct cancer. Unfortunately, this subset constitutes only 10% to 35% of patients, with the overwhelming majority of patients presenting with locally advanced or metastatic disease. In patients undergoing "curative" resection, approximately half will experience local recurrence, resulting in death from biliary obstruction, sepsis, and/or liver failure.[9] Therefore, patients with gallbladder and biliary carcinomas are frequently treated palliatively. Survival rates are poor, ranging from 2 to 3 months in patients receiving medical management alone, 6 to 12 months for those undergoing surgical palliation, and 12 to 22 months for resected patients. Overall 5-year survival remains dismal at less than 10%.[10]
The optimal radiation dose and schedule in the adjuvant and "definitive" treatment of biliary malignancies is unknown. Current practice guidelines are derived from nonrandomized and single-institution experiences, with selection bias favoring high-dose treatment in good performance patients.[11,12]
Investigators from Hospital Lyon in France reported that patients receiving doses ≥ 40 Gy experienced median survivals of 22 months vs 10 months in patients receiving ≤ 35 Gy.[11] Similarly, University of Pittsburgh investigators found that patients receiving radiation doses ≥ 45 Gy had improved median survival compared to those receiving < 45 Gy (11 vs 4.4 months).[13] Similar data were reported from Thomas Jefferson University investigators who retrospectively stratified patients by total radiation dose ≤ 55 Gy or > 55 Gy. In this study, patients received combined external-beam radiation therapy (EBRT) as well as iridium (Ir)-192 brachytherapy. For patients receiving ≤ 55 Gy, median survival was 6 months and the 2-year survival rate was 0%, whereas for patients treated to > 55 Gy, these figures were 24 months and 48%. Median survival increased with escalating doses.[14]
In contrast, investigators from the University of Amsterdam showed no benefit to doses > 55 Gy compared to patients receiving ≤ 55 Gy.[15] Interpretation of these study results are complicated by heterogeneous disease stages, patient performance status, and variety of radiation therapy techniques and doses.
The role of radiation therapy for patients with resected cholangiocarcinoma is controversial. Pattern-of-failure analyses suggest that local failure following resection is common and the use of adjuvant radiation therapy is rational. Single-institution studies have attempted to clarify the role of adjuvant EBRT in resected patients and are discussed below.
An early study from the Massachusetts General Hospital reported the results of 13 patients following resection with curative intent. Patients receiving radiation therapy after surgery experienced a longer median survival (32 months) vs the nontreated cohort (13 months).[9] Duke University investigators recently analyzed the outcome of 22 patients with localized gallbladder carcinoma undergoing resection and adjuvant radiation therapy. Patients undergoing radical resection had improved survival compared to patients undergoing a simple cholecystectomy. Estimated 5-year survival for the entire cohort was 37%, which compared favorably to reported surgery alone results for similar patients.[16]
An EORTC (European Organization for Research and Treatment of Cancer) series retrospectively reviewed 112 patients with Klatskin tumors (tumors arising at the common hepatic duct bifurcation) and found a statistically improved survival in patients treated with resection and postoperative radiotherapy vs those with resection only (median survival: 19 vs 8.3 months; 3-year survival: 31% vs 10%).[17]
Investigators from Johns Hopkins Hospital described 96 patients with proximal cholangiocarcinoma treated surgically (41% curative resection, 14% noncurative resection, 45% palliative stenting). Overall, 66% of patients received postoperative EBRT. Patients undergoing gross total or subtotal resection had improved survival vs patients undergoing stenting only. The 1-, 3-, and 5-year survival rates in the resection group were 66%, 21%, and 8%, respectively, compared to 27%, 6%, and 0%, respectively, in the stenting-alone group. Improved 2-year survival was observed in stented patients receiving EBRT vs patients treated with stent only (10% vs 0%). Additionally, 5-year survival in resected patients receiving adjuvant radiotherapy was 16% vs 0% with resection alone.[18]
In a report from the University of Amsterdam, 112 patients underwent resection of hilar cholangiocarcinoma. Of the 91 patients surviving postoperatively, 20 patients had no additional treatment, 30 patients EBRT only, and 41 patients combined EBRT and intraluminal brachytherapy. Patients receiving adjuvant radiotherapy experienced an improved median survival compared to those receiving no additional treatment (24 vs 8 months). The authors concluded that radiotherapy following resection of hilar cholangiocarcinoma improved survival, although there was no apparent benefit of intraluminal brachytherapy.[19]
Investigators from the University of California at San Francisco described the outcome of 129 patients who underwent resection for bile duct carcinoma. Forty-five received EBRT and 22 received charged-particle radiation therapy. Median survival for surgery alone, surgery/EBRT and surgery/particle therapy was 6.5, 11, and 14 months, respectively.[20]
In contrast to previous reports, a follow-up study from Johns Hopkins investigators detailed a prospective, nonrandomized analysis of patients with perihilar cholangiocarcinoma. Fifty patients underwent resection or palliative decompression for localized disease. Radiotherapy was delivered as EBRT alone or EBRT with intraluminal brachytherapy. For patients undergoing curative resection, no difference in median survival was seen whether or not patients received radiotherapy (20 months in both groups). Additionally, no significant difference in median survival was seen with the addition of radiation therapy in patients undergoing palliative surgery (8 vs 12.5 months). The authors concluded that postoperative radiation therapy did not improve survival.[21]
However, a more recent report from John Hopkins described 34 patients with distal common bile duct cholangiocarcinoma treated with pancreaticoduodenectomy followed by adjuvant radiation therapy with concurrent and maintenance fluorouracil (5-FU)-based chemotherapy. Median survival was 37 months, with a 5-year survival rate of 35%. When compared to historical controls from the same institution treated with pancreaticoduodenectomy only (prior to the routine practice of adjuvant chemoradiation), patients receiving adjuvant therapy had a significantly longer survival (37 vs 22 months, P < .05).[22]
TABLE 1

Outcomes Following Surgery for Biliary Cancers With or Without Postoperative Radiotherapy
No definitive conclusions as to the efficacy of postoperative radiotherapy can be drawn from these studies, although these and other data suggest improved local control and survival may be achieved with its use. A summary of postoperative EBRT studies is shown in Table 1.[1-23]
Even with the addition of radiation therapy and chemotherapy to surgery, the risk of local recurrence in cholangiocarcinomas remains high. This experience has prompted investigation of novel treatment approaches to enhance local control and survival. Although there is limited experience with neoadjuvant treatment in biliary carcinoma, this strategy has potential advantages. By postponing surgical resection until completion of chemoradiation, patients with malignancy that is rapidly progressive may avoid unnecessary surgery with potential morbidity. Secondly, preoperative therapy may facilitate tumor downstaging and potentially convert an unresectable tumor to resectable status. Theoretically, preoperative therapy may reduce the risk of tumor seeding and dissemination at the time of resection, as well as allow delivery of treatment to disease with an intact vasculature. This may improve the therapeutic effect of both chemotherapy and radiotherapy via improved drug delivery and better tumor oxygenation, which renders cells more sensitive to radiation. Additionally, the morbidity and delayed recovery time associated with extensive surgical procedures may preclude the timely delivery of postoperative therapy in a high percentage of patients.[24,25]
A report from M.D. Anderson Cancer Center described nine patients (five hilar and four distal common duct cholangiocarcinoma) treated with preoperative chemoradiation therapy. Patients received continuous-infusion 5-FU (300 mg/m2/d) during EBRT. No residual carcinoma was seen in the surgical specimens in three of nine patients, whereas the tumors of the remaining six patients showed a range of histologic responses. The margin-negative resection rate was 100% for the preoperative chemoradiation group, compared with 54% for the surgery-alone group (P < .01). Patients receiving preoperative treatment did not experience significant treatment-related complications.[26]
Gerhards et al described 21 patients with proximal cholangiocarcinoma receiving low-dose preoperative irradiation of 10.5 Gy given over three fractions. None of these patients developed wound implantation, in contrast to a 20% rate of wound implantation in similar patients not receiving preoperative chemoradiation.[27] At Duke University Medical Center, marginally resectable and selected resectable patients with extra-hepatic biliary ductal cancers have received preoperative chemoradiotherapy (EBRT and 5-FU via continuous infusion or capecitabine [Xeloda]), followed by laparotomy and resection when feasible.
Palliative radiation therapy has frequently been employed in the management of patients with locally advanced and unresectable tumors. Palliative irradiation after biliary bypass prolongs survival in many studies. For example, Mayo Clinic investigators reported the outcome of 103 patients with unresectable cholangiocarcinoma. The 3-year survival rate was 9% for the entire group of patients. Multivariate analysis showed a significant survival benefit for patients receiving radiation therapy.[28] Similarly, Cleveland Clinic investigators observed a survival advantage for patients with locally advanced disease who received EBRT vs those who did not (median survival: 12.2 vs 2.2 months).[29]
Investigators from Rotterdam reported a 14% 2-year survival and 10-month median survival in 42 patients with unresectable extrahepatic biliary tumors who received EBRT with or without an Ir-192 implant boost. Patients undergoing subtotal resection followed by radiation therapy experienced a longer median survival than those receiving radiation alone (15 vs 8 months).[30]
A report from M.D. Anderson Cancer Center described 52 patients with unresectable cholangiocarcinoma treated with radiation doses ranging from 30 to 85 Gy. Twenty-seven (52%) patients ultimately developed radiographic disease progression, and 20 of these experienced local recurrence. The first site of disease progression was local in 72% of cases. Median survival for all patients was 10 months, with 1- and 2-year survival rates of 44% and 13%, respectively. Increasing the radiation dose and the use of concurrent chemotherapy did not influence outcome.[31]
TABLE 2

Results of Radiotherapy for Unresectable Biliary Cancers
Investigators from Erlangen reported on 25 patients with locally advanced or recurrent biliary malignancies. Patients received a median EBRT dose of 51 Gy. Four patients with Klatskin tumors underwent intraluminal brachytherapy, and 24 patients received concurrent chemotherapy. Median survival in all patients was 16.5 months, compared with 9.3 months in patients undergoing stenting alone.[32] A summary of studies describing outcomes in patients with unresectable disease is shown in Table 2.[28-32]
Despite moderate- to high-dose EBRT, most patients with gallbladder and bile duct cancer die of complications secondary to local progression and obstruction of the biliary tree. Doses of 50 to 54 Gy in 1.8- to 2-Gy fractions are insufficient to eradicate all disease. Radiation therapy techniques such as intraluminal brachytherapy have been used alone or in conjunction with EBRT in the treatment of these malignancies.
Intraluminal transcatheter brachytherapy allows the delivery of radioactive sources such as Ir-192 to the tumor through a percutaneous transhepatic biliary drainage tube under fluoroscopic guidance or through catheters placed in the tumor bed during surgery. Advantages of intraluminal brachytherapy include focal delivery of high radiation doses with rapid dose falloff over a short distance from the radioactive source. This approach spares adjacent normal tissues. Typical doses delivered with intraluminal therapy range from 20 to 30 Gy prescribed to 0.5-1 cm from the source within the duct (low-dose rate). This treatment is often combined with a course of EBRT (45-50.4 Gy in 25-28 fractions).
Since the original report by Fletcher and coworkers on the use of intraluminal brachytherapy with Ir-192, many investigators have demonstrated the feasibility of using brachytherapy alone or in combination with EBRT for treating gallbladder and bile duct cancer.[11-13,30,33-39] Although no randomized trials have compared EBRT vs brachytherapy or combinations, studies have suggested enhanced survival for patients undergoing combination treatment with both techniques. Combined EBRT and intraluminal brachytherapy can also provide durable palliation.[14,40,41]
Institutional series have described long-term survival in unresectable patients with the use of EBRT and transcatheter brachytherapy boost. Foo et al reported the Mayo Clinic experience of 24 patients with un-resectable extrahepatic biliary ductal cancer treated to a median EBRT dose of 50.4 Gy in 28 fractions and median brachytherapy boost of 20 Gy at a 1-cm radius. Median survival for all patients was 12.8 months with a 5-year survival rate of 14%. Three patients were still alive at the time of the report at 10 years, 8.2 years, and 6.9 years since diagnosis. The authors recommended that Ir-192 catheter brachytherapy boost be limited to 20-30 Gy when combined with EBRT of 45-50 Gy in 25-28 fractions.[33]
Of 20 patients treated with curative intent at Washington University, patients receiving an Ir-192 implant had an improved survival (15 months) vs patients who received EBRT alone (7 months).[37] Japanese investigators reported the results of 93 patients with unresectable extrahepatic bile duct carcinoma (including 5 patients with metastatic disease) receiving EBRT and Ir-192 boost. EBRT was delivered at 2 Gy per fraction to a total dose of 50 Gy followed by an intraluminal boost to a mean dose of 39 Gy (range: 20-50 Gy). Median survival for all patients was 11.9 months. The 1- and 5-year survival rates were 50% and 4%, respectively. Four patients survived longer than 5 years. The locoregional failure rate was 44%, usually associated with distant metastases. No dose-response relationship to survival was observed.[42]
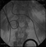
FIGURE 1

Intraluminal Transcatheter Brachytherapy
Combining EBRT with intraluminal brachytherapy has also been shown to extend stent patency. Eschelman et al described a mean metal stent patency of 19.5 months and mean survival of 22.6 months in 11 patients with cholangiocarcinoma treated with EBRT plus brachytherapy. This compared favorably with the results of stenting alone on patients with malignant biliary obstruction (mean stent patency ranged from 5 to 10 months).[40]
Takamura summarized the results in 88 patients undergoing metallic stenting with EBRT/Ir-192 therapy for unresectable disease. Forty-six (49%) patients developed reobstruction at a mean duration of 11.6 months posttherapy. In half of these patients, tumor recurrence resulted in obstruction. Cumulative biliary patency rates at 1 and 3 years were 52% and 29%, respectively. For 20 patients undergoing autopsy, obstruction from debris, sludge, stones, and bleeding was observed in 17.[42] Figure 1 shows the placement of intraluminal Ir-192 seeds via a percutaneous transhepatic biliary drainage tube.
In contrast to low-dose-rate (LDR) brachytherapy, high-dose-rate (HDR) brachytherapy uses a high-activity source, allowing rapid dose delivery (generally over minutes) compared to LDR techniques, which often require several days to deliver treatment. University of Miami investigators described a phase I/II dose-escalation trial utilizing HDR brachytherapy. Eighteen patients with unresectable or incompletely resected extrahepatic biliary duct carcinoma received 45 Gy EBRT with concurrent 5-FU concomitant with HDR brachytherapy using either 1, 2, or 3 weekly fractions of 7 Gy delivered at 1-cm depth. Median survival was 12.2 months and 2-year survival 28%; three patients survived more than 5 years. Improved response was seen with increasing doses in the three groups (median survival: 9 vs 12 vs 20 months). The authors concluded that HDR brachytherapy of 21 Gy in three divided weekly treatments with 45 Gy and 5-FU-based chemotherapy is well tolerated.[43]
TABLE 3

Outcomes of External-Beam Radiotherapy Plus Boost for Biliary Cancers
Investigators from the University of Heidelberg described 30 patients undergoing palliative resection or with inoperable disease receiving HDR intraluminal brachytherapy using Ir-192. Most patients received weekly fraction sizes of 5 to 10 Gy, to a total dose of 20 to 45 Gy, along with EBRT to doses of 30 to 45 Gy. Median survival was 10 months, with a 3-year survival rate of 8%. Seven patients developed duodenal ulceration; however, in patients receiving 20 Gy in four fractions, only one patient developed this complication. The authors concluded that a treatment schedule of 40 Gy EBRT along with 20 Gy (5 Gy × 4) was appropriate for treatment of cholangiocarcinoma.[41] The role of HDR brachytherapy in biliary cancers remains an ongoing area of investigation.
In sum, retrospective data suggest improved survival may be possible with the addition of intraluminal brachytherapy to EBRT. This combination may be beneficial due to increased delivery of radiation dose to the primary tumor along the bile ducts, where the highest volume of gross disease often exists. Table 3 summarizes the outcomes of selected studies utilizing intraluminal therapy.[33,37,39-42]
FIGURE 2

Intraoperative Radiation TherapyFIGURE 3

HAM Applicator
Intraoperative radiotherapy (IORT) is a technique that delivers single high-dose irradiation to a tumor at surgery. Because the tumor and surrounding normal tissues are directly visualized, nontarget tissues can be shielded or excluded from the IORT field. Low-energy photons (eg, Ir-192) or electrons are typically used for IORT, allowing rapid dose falloff with distance, resulting in minimal dose to the surrounding normal critical structures. Small bowel, stomach, duodenum, liver, and other normal structures can be directly shielded or displaced during the procedure, thus sparing these tissues. Additionally, tumor or tumor-bearing tissues outside the biliary system can be treated. IORT doses range from 10 to 20 Gy in a single fraction. This is usually combined with a course of EBRT dose of 45 to 50.4 Gy over 25 to 28 fractions. Figures 2 and 3 demonstrate the use of IORT with an Ir-192 source via a Harrison-Anderson-Mick (HAM) applicator.
Iwasaki et al reported on the use of IORT alone or in conjunction with EBRT in 20 patients with biliary cancers. They described a 2-year survival rate of 17% in patients receiving IORT and subtotal resection vs a rate of 9% after resection alone.[44] Harvard investigators reported similar results for 15 (12 primary, 3 recurrent) patients treated with IORT with or without EBRT. Median survival of 12 patients with primary disease was 14 months, with disease control in the porta hepatis achieved in 5 of 10 evaluable patients.[45] Monson et al described similar results from the Mayo Clinic with IORT for unresectable cholangiocarcinoma in 13 patients who experienced a median survival of 16.5 months.[46]
Todoroki et al from the University of Tsukuba, Japan, reported on 63 patients with locally advanced cholangiocarcinoma. Forty-two patients received adjuvant radiotherapy (12 IORT alone, 22 IORT plus EBRT, 8 EBRT only). Following extended resection, almost all (41/42) patients had microscopic or macroscopic residual disease. Patients receiving adjuvant radiotherapy for microscopic residual disease experienced improved 5-year survival (34%) vs resection alone (14%). Similarly, local control rates were improved in patients receiving adjuvant radiotherapy vs resection alone (80% vs 31%). The best survival rates were seen in patients who underwent IORT and EBRT (5-year survival: 39%).[47] The results of IORT studies are summarized in Table 3.
The role of chemotherapy alone or in combination with radiation therapy for biliary carcinomas is undefined. The justification of 5-FU-based chemotherapy in combination with radiation therapy is extrapolated from the survival benefit achieved with this combination in other gastrointestinal malignancies, including pancreatic cancer.[50-52] Multiple studies have employed the use of different combinations and schedules of chemotherapy concurrent with radiotherapy. However, patient numbers are too small to derive definitive conclusions. Despite this, results appear to support the use of concurrent chemotherapy.
In an early study, Kopelson et al from Massachusetts General Hospital reported the feasibility and potential benefit of chemotherapy with radiation therapy.[9] Minsky and coworkers from Memorial Sloan-Kettering Cancer Center evaluated an intensive combined-modality treatment for biliary carcinoma in 12 patients, using EBRT, brachytherapy, and concurrent 5-FU/mitomycin chemotherapy with or without resection.[36] Five patients underwent biliary drainage, and the remaining seven had a biopsy or subtotal resection of the tumor. Median survival for all patients was 17 months, and the 4-year survival rate was 36%. Four patients had no evidence of disease at 16, 30, 40, and 64 months, respectively.
Similarly, Alden and colleagues from Thomas Jefferson University Hospital described an intensive approach in 19 patients with extrahepatic biliary cancers using EBRT, brachytherapy, and chemotherapy (5-FU alone or in combination with doxorubicin or mitomycin). The 2-year survival rate was 30%.[14] Foo et al reported the Mayo Clinic experience in the treatment of extrahepatic bile duct carcinoma, showing a nonstatistical improvement in survival in patients receiving concurrent 5-FU-based chemotherapy vs EBRT alone.[33]
TABLE 4

Concurrent Chemoradiotherapy for Biliary Carcinomas
In contrast, Crane et al from M.D. Anderson Cancer Center reported no significant survival impact with the addition of 5-FU-based chemotherapy. Because of the lack of significant added toxicity from chemotherapy in these studies and the efficacy of combined therapy in other gastrointestinal malignancies, the authors advised the concurrent administration of 5-FU with radiation therapy for treatment of biliary cancer patients.[31] A summary of selected studies is listed in Table 4.[9,14,35,53]
Newer radiation therapy modalities include hyperfractionated (multiple daily fractions) EBRT, three-dimensional conformal radiation therapy (3D-CRT), intensity-modulated radiation therapy (IMRT), and four-dimensional (4D) treatment delivery. Reports from the University of Michigan Medical Center described 22 patients with hepatobiliary cancers treated with concurrent intrahepatic arterial fluorodeoxyuridine and twice daily (hyperfractionated) 3D-CRT to either 48 or 66 Gy (depending on the volume of liver irradiated) at 1.5 to 1.65 Gy per fraction. The median survival of all patients was 16 months, with an actuarial 4-year survival of 20%. Overall freedom from hepatic progression at more than 2 years was approximately 50%.[54-56]
In a follow-up report, Ben-Josef et al treated 46 patients with intrahepatic cholangiocarcinomas with high-dose conformal EBRT with hepatic arterial floxuridine. Median survival was 13.3 months, which the authors felt compared favorably to historical controls. Increasing radiation dose was associated with improved prognosis, with patients receiving ≥ 75 Gy experiencing significantly improved survival vs those receiving lower doses.[57] These results appear promising, notably in the setting of biliary carcinomas with a significant intrahepatic ductal component.
Conventional CT-based radiation planning (3D-CRT) allows the physician to define target and nontarget tissues using computer-based 3D images. Optimal beam orientation is determined to facilitate treatment of tumor with shielding of normal tissues. Recent improvements in radiation planning and delivery have been achieved through the use of computer-aided beam orientation and optimization, referred to as IMRT. With this treatment approach, an "inverse-planning" technique is adopted in which the planning physician defines normal and target tissues, normal tissue dose constraints, and dose to the target volume (eg, tumor ± regional nodes). Computer search algorithms are used to select preferred (and sometimes nonconventional) beam orientations as well as allowing for areas of high and low intensity within the same field using dynamic blocks. This permits optimized dose distribution within the defined target as well as decreased normal tissue irradiation with a decrease in treatment-related side effects. Because less radiation is delivered to normal tissue, EBRT dose escalation may be possible.
Further refinement in treatment delivery has been accomplished with 4D treatment planning and delivery. In the abdomen, movement of tumor and normal organs occurs with normal respiratory motion. This contributes to uncertainty during radiation planning and treatment delivery. To compensate for this, an additional margin is often added to each treatment field, resulting in increased treatment of normal tissues and potentially limiting dose escalation. Gating radiation therapy to normal organ and tumor motion may potentially be beneficial by reducing margins, with enhanced conformal treatment and improved tolerance. Four-dimensional treatment planning incorporates organ/tumor motion, using externally or internally placed fiducial markers that track the tumor during respiration and permit precise treatment delivery. These and other techniques are under active investigation.
Because of the poor prognosis of patients with cholangiocarcinoma, investigators have pursued novel treatment approaches to improve outcomes. One method has been to combine chemotherapy and radiation therapy with liver transplantation. A report from the University of Pittsburgh described 61 patients with biopsy-proven cholangiocarcinoma who received a median "preoperative" radiation dose of 49.5 Gy (range: 5.4-85 Gy), including four patients who received intraluminal brachytherapy. Concurrent chemotherapy was also administered in 30 patients. The 5-year survival rate for the entire cohort was 24%. Patients undergoing complete resection had a 54% 5-year survival. Seventeen patients with orthotopic liver transplantation (lymph node-negative) experienced a 5-year survival of 65%. This compared favorably to a 22% 4-year survival in a prior report from this group. The authors concluded that complete surgical resection in combination with combined-modality therapy, with or without transplantation, can be curative in the majority of patients with biliary carcinoma.[58,59]
A report from the Mayo Clinic described 56 patients undergoing "neoadjuvant" EBRT, brachytherapy, and 5-FU-based chemotherapy for early-stage perihilar cholangiocarcinoma. A total of 28 patients underwent transplantation. The 5-year survival rate for all patients was 54%. In patients undergoing transplantation, 5-year survival was 82%. These authors concluded that neoadjuvant chemoradiotherapy with transplantation achieved excellent results for patients with localized and node-negative hilar cholangiocarcinoma.[60] Treatment strategies of chemoradiation with liver transplantation are under active investigation.
FIGURE 4

Energy Deposition Patterns
Charged particles such as protons and helium ions have also been used in the treatment of gallbladder and biliary cancers. In contrast to photons, the energy deposition patterns from charged particles are highly localized. This is due to a disproportionate absorption of the majority of their energy at the end of their track range-the so-called Bragg peak. The dose unit of charged particles is the Gray equivalent (GyE). Figure 4 demonstrates the energy deposition patterns of 15 MV photons, 9 MeV electrons, 30 MeV neutrons, 160 MeV protons, and Ir-192 seeds. Figure 5 compares dose distributions using IMRT techniques with conventional photon therapy and proton therapy in resected biliary cancer.
FIGURE 5

Radiotherapy Dose Distributions in Resected Biliary Cancer
Schoenthaler and coworkers at the University of California at San Francisco retrospectively reviewed their experience of 129 patients with extrahepatic biliary ductal carcinoma.[20] At total of 62 patients were treated with surgery alone, and 67 patients received adjuvant radiotherapy (45 with conventional EBRT and 22 with charged particles using helium and/or neon). Patients who underwent gross total resection or received greater than 45 GyE after any surgical procedure were defined as being treated with curative intent. Fifteen patients were defined as being treated with curative intent in the surgery-alone group, 35 in the surgery plus conventional radiotherapy group, and 18 in the surgery plus charged particle group. Five patients in the conventional radiotherapy group also received Ir-192 brachytherapy.
Improved survival was seen in patients undergoing gross total resection vs those undergoing subtotal resection or biopsy only. Patients with microscopic residual disease experienced an improved median survival with the addition of adjuvant irradiation, more so after charged-particle therapy (P = .0005) but also with conventional radiotherapy (P = .01). Patients with gross residual disease had a less marked but still statistically significant improved survival after irradiation (P = .05 for conventional radiotherapy and P = .04 for charged-particle radiotherapy). Median survival with surgery alone, surgery plus conventional radiotherapy, and surgery plus charged-particle therapy was 6.5, 11, and 14 months for the entire group, respectively, and 16, 16, and 23 months for patients treated with curative intent (P = .008).[20]
Based on patterns-of-failure data in resected biliary cancers and the previously discussed data, EBRT concurrent with 5-FU-based chemotherapy should be considered in the pre- or postoperative setting. A similar approach is adopted in patients with locally advanced disease. Patients are restaged following treatment and reevaluated for resection. CT-based treatment planning and multiple-field techniques are used. Customized field shaping is achieved using a computerized blocking system (multileaf collimation) to shield nontarget tissues. High-energy (6-15 MV) photons are used to treat all fields.
FIGURE 6

Computer-Generated Radiograph of Cholangiocarcinoma
Figure 6 represents a digitally reconstructed (computer-generated) radiograph of a patient with a proximal/mid-duct cholangiocarcinoma treated in the preoperative setting. Figures 7 and 8 demonstrate axial images with varying beam orientations used in treatment. Figure 9 demonstrates a dose-volume histogram (DVH) generated through 3D planning. The DVH displays the volume of tumor and surrounding normal tissues and organs receiving a specified radiation dose level.
FIGURE 7

Radiotherapy Beam Orientations Used in Treatment of CholangiocarcinomaFIGURE 8

Differing Beam Orientations and 'Weighting'FIGURE 9

Dose-Volume Histogram Generated Through Three-Dimensional Planning
In the preoperative or postoperative setting, doses ranging from 45 to 54 Gy are delivered at 1.8 Gy/fraction, 5 d/wk, using multiple fields. The final dose is selected individually for each case, depending on factors such as extent of resection, volume of normal tissues irradiated, and so forth. For patients with locally advanced or unresectable disease, "definitive" chemoradiation is utilized. Typically, patients receive EBRT to a dose of 50.4-54 Gy at 1.8 Gy per day, 5 d/wk. As in potentially resectable patients, concurrent 5-FU-based chemotherapy is delivered. Selected patients with a good performance status receive an additional dose by Ir-192 implant (typically 20-30 Gy by LDR techniques, delivered at approximately 10 Gy/d, prescribed 0.5 to 1 cm from the source).
Potential acute toxicities of EBRT and chemotherapy include nausea, vomiting, anorexia, dehydration, skin irritation, distal esophagitis, gastritis, duodenitis, fatigue, weight loss, asymptomatic elevation in liver function tests (usually alkaline phosphatase), and mild immunosuppression. Most symptoms resolve following treatment completion. Treatment-related late complications include gastrointestinal bleeding (especially duodenal), biliary fibrosis and duct stricture, cholangitis, hepatitis, and small bowel obstruction.
Complications attributable to radiation therapy may be difficult to define precisely, as many patients do not survive long enough to exhibit such effects. Signs and symptoms suggesting treatment-related complications may be nonspecific and potentially related to tumor progression (ie, gastrointestinal bleeding, biliary fibrosis and stricture, cholangitis, and hepatitis). Additionally, many patients have undergone numerous therapeutic interventions that carry similar complications.
When EBRT doses exceed 55 Gy in the treatment of gallbladder and biliary carcinomas, approximately 30% to 50% of patients will develop late effects such as duodenal hemorrhage, ulceration, and obstruction.[10] Care must always be taken to respect the dose tolerance of surrounding normal structures to radiation therapy. When treating with EBRT of 45 to 50 Gy at 1.8 to 2.0 Gy per fraction combined with the brachytherapy boost, gastrointestinal complications including bleeding and ulceration have been reported.[12,15,48] Therefore, LDR brachytherapy doses should be limited to 20 to 30 Gy or less when combined with "curative" EBRT doses of 45 to 50.4 Gy. In addition, it is important to ensure that implant sources not pass beyond the ampulla. This reduces the risk of later bleeding.
When treating biliary carcinomas with IORT, doses in excess of 20 Gy should be avoided to minimize the risk of late treatment effects such as hepatic artery injury.[44] As above, efforts should be made to shield nontarget tissues from the treatment field by mobilization and shielding devices.
Gallbladder and bile duct cancers carry a poor prognosis. Innovative treatment strategies are mandatory to improve upon these poor results. Surgery, when feasible, remains the only curative treatment modality. Most patients undergoing resection are found to have adverse pathologic features (eg, lymphovascular invasion, positive lymph nodes, positive margins), and are often referred for adjuvant irradiation.
It appears that radiotherapy (with or without chemotherapy) decreases the risk of locoregional recurrence and possibly improves survival. Given the rarity of these malignancies, no randomized data exist proving a survival advantage. Patients receiving concurrent chemoradiation appear to have an improved survival compared to radiotherapy alone, possibly due to a radiosensitization effect of chemotherapy.
An aggressive multimodality approach should be considered in appropriate patients who are potentially resectable by combining surgery and EBRT with concurrent chemotherapy. Intraoperative radiotherapy and/or brachytherapy with Ir-192 may be useful for selected patients. For unresectable cancers, combined-modality therapy with EBRT and chemotherapy is advised, followed by restaging and consideration of resection and IORT in select patients. Intraluminal brachytherapy may allow further dose escalation in patients who are not suitable for resection.
Despite these efforts, the majority of patients with biliary cancers will succumb to their disease. The integration of novel therapeutic strategies in this disease is indicated, including combined-modality therapy with transplant as well as potential radiosensitizers such as epidermal growth factor receptor antagonists, receptor tyrosine kinase inhibitors, and vascular endothelial growth factor inhibitors. When combined with traditional chemotherapeutic agents and precision radiation techniques such as IMRT and 4D treatment delivery, these strategies may improve local control and survival in these patients.
Financial Disclosure:Dr. Czito receives research support from Roche Pharmaceuticals.
1. Jemal A, Siegel R, Ward E, et al: Cancer statistics, 2006. CA Cancer J Clin 56:106-130, 2006.
2. Piehler JM, Crichlow RW: Primary carcinoma of the gallbladder. Surg Gynecol Obstet 147:929-942, 1978.
3. Yee K, Shepperd B, Domreis J, et al: Cancers of the gallbladder and biliary ducts. Oncology (Williston Park) 16:939-949, 2002.
4. Daines WP, Rajagopalan V, Grossbard ML, et al: Gallbladder and biliary tract carcinoma: A comprehensive update, Part 2. Oncology (Williston Park) 18:1049-1068 (incl discussion), 2004.
5. Mahe A, Stampfli C, Romestang P, et al: Primary carcinoma of the gallbladder: Potential for external radiation therapy. Radiother Oncol 33:204-208, 1994.
6. Donohue JH, Stewart K, Menck H: The National Cancer Data Base Report on carcinoma of the gallbladder, 1989-1995. Cancer 83:2618-2628, 1998.
7. Todoroki T, Gunderson LL, Nagorney DM: Biliary tract IORT, in Gunderson LL, Willett CG, Harrison LB, et al (eds): Intraoperative Irradiation: Techniques and Results: Totowa, NJ, Humana Press, 1999.
8. Maibenco D, Smith J, Nava H, et al: Carcinoma of the gallbladder. Cancer Invest 16:33-39, 1998.
9. Kopelson G, Harisiadis L, Tretter P, et al: The role of radiation therapy in cancer of the extra-hepatic biliary system: An analysis of thirteen patients and a review of the literature of the effectiveness of surgery, chemotherapy and radiotherapy. Int J Radiat Oncol Biol Phys 2:883-894, 1977.
10. Schoenthaler R: Hepatobiliary carcinomas, in Leibel S, Phillips T (eds): Textbook of Radiation Oncology, 1st ed, pp 659-675. Philadelphia, WB Saunders, 1998.
11. Mahe M, Romestaing P, Talon B, et al: Radiation therapy in extrahepatic bile duct carcinoma. Radiother Oncol 21:121-127, 1991.
12. Hayes J, Sapozink M, Miller F, et al: Definitive radiation therapy in bile duct carcinoma. Int J Radiat Oncol Biol Phys 15:735-744, 1988.
13. Mittal M, Romestaing P, Iwatsuki S, et al: Primary cancers of extrahepatic biliary passages. Int J Radiat Oncol Biol Phys 11:849-854, 1985.
14. Alden M, Mohiuddin M: The impact of radiation dose in combined external beam and intraluminal Ir-192 brachytherapy for bile duct cancer. Int J Radiat Oncol Biol Phys 28:945-951, 1994.
15. Gonzalez Gonzalez D, Gouma D, Rauws E, et al: Role of radiotherapy, in particular intraluminal brachytherapy, in the treatment of proximal bile duct carcinoma. Ann Oncol 10:215-220, 1999.
16. Czito B, Hurwitz H, Clough R, et al: Adjuvant external beam radiotherapy with concurrent chemotherapy following resection of primary gallbladder carcinoma: A 23-year experience. Int J Radiat Oncol Biol Phys 62:1030-1034, 2005.
17. Gonzalez Gonzalez D, Gerard J, et al: Results of radiation therapy in carcinoma of the proximal bile duct (Klatskin tumor). Semin Liver Dis 10:131-141, 1990.
18. Cameron J, Pitt H, Zinner M, et al: Management of proximal cholangiocarcinomas by surgical resection and radiotherapy. Am J Surg 159:91-98, 1990.
19. Gerhards M, Vangulik T, Gonzalez Gonzalez D, et al: Results of postoperative radiotherapy for resectable hilar cholangiocarcinoma. World J Surg 27:173-179, 2003.
20. Schoenthaler R, Phillips T, Castro J, et al: Carcinoma of the extrahepatic bile ducts: UCSF experience. Ann Surg 219:267-274, 1994.
21. Pitt H, Nakeeb A, Abrams R, et al: Perihilar cholangiocarcinoma. Postoperative radiotherapy does not improve survival. Ann Surg 221:788-798, 1995.
22. Hughes M, Frassica D, et al: Adjuvant concurrent chemoradiation for adenocarcinoma of the distal common bile duct. Int J Radiat Oncol Biol Phys 59(suppl), 2005.
23. Treadwell T, Hardin W: Primary carcinoma of the gallbladder. The role of adjunctive therapy in its treatment. Am J Surg 132:703-706, 1976.
24. Sohn T, Yeo C, Cameron J, et al: Resected adenocarcinoma of the pancreas-616 patients: Results, outcomes, and prognostic indicators. J Gastrointest Surg 4:567-579, 2000.
25. Spitz F, Abbruzzese J, Lee JE, et al: Preoperative and postoperative chemoradiation strategies in patients treated with pancreaticoduodectomy for adenocarcinoma of the pancreas. J Clin Oncol 15:928-937, 1997.
26. McMasters K, Tuttle T, Leach S, et al: Neoadjuvant chemoradiation enhances margin-negative resection rates for extrahepatic cholangiocarcinoma. Am J Surg 174:605-609, 1997.
27. Gerhards M, Gonzalez Gonzalez D, ten Hoopen-Neumann H, et al: Prevention of implantation metastases after resection of proximal bile duct tumors with pre-operative low dose radiation therapy. European J SurgOncol 26:40-45, 2000.
28. Farley D, Weaver A, Nagorney D, et al: "Natural history" of unresected cholangiocarcinoma: Patient outcome after noncurative intervention. Mayo Clin Proc 70:425-429, 1995.
29. Grove M, Hermann R, Vogt D, et al: Role of radiation after operative palliation in cancer of the proximal bile ducts. Am J Surg 161:454-458, 1991.
30. Veeze-Kuijpers B, Merrwaldt J, Mameris J, et al: The role of radiotherapy in the treatment of bile duct carcinoma. Int J Radiat Oncol Biol Phys 18:63-67, 1990.
31. Crane C, McDonald K, Bauthty J, et al: Limitations of conventional doses of chemoradiation for unresectable biliary cancer. Int J Radiat Oncol Biol Phys 53:969-974, 2002.
32. Brunner T, Schwab D, Meyer T, et al: Chemoradiation may prolong survival of patients with non-bulky unresectable extrahepatic biliary carcinoma: A retrospective analysis. Strahlentherapie Und Onkologie 180:751-757, 2004.
33. Foo M, Gunderson L, Bender C, et al: External radiation therapy and transcatheter iridium in the treatment of extrahepatic bile duct carcinoma. Int J Radiat Oncol Biol Phys 39:929-935, 1997.
34. Fletcher M, Dawson J, Wheeler P, et al: Treatment of high bile duct carcinoma by internal radiotherapy with iridium-192 wire. Lancet 2:172-174, 1981.
35. Minsky B, Wesson M, Armstrong JG, et al: Combined modality therapy of extrahepatic biliary system cancer. Int J Radiat Oncol Biol Phys 18:1157-1163, 1990.
36. Minsky BD, Kemeny N, Armstrong JG, et al: Extrahepatic biliary system cancer: An update of a combined modality approach. Am J Clin Oncol 14:433-437, 1991.
37. Fields J, Emami B: Carcinoma of the extrahepatic biliary system-results of primary and adjuvant radiotherapy. Int J Radiat Oncol Biol Phys 13:331-338, 1987.
38. Johnson D, Safai C, Goffinet D, et al: Malignant obstruction jaundice: Treatment with external-beam and intracavitary radiotherapy. Int J Radiat Oncol Biol Phys 11:411-416, 1985.
39. Montemaggi O, Costamagna G, Dobelbower R: Intraluminal brachytherapy in the treatment of pancreas and bile duct carcinoma. Int J Radiat Oncol Biol Phys 32:437-443, 1995.
40. Eschelman D, Shapiro M, Bonn J, et al: Malignant biliary duct obstruction: Long-term experience with Gianturco stents and combined-modality radiation therapy. Radiology 200:717-724, 1996.
41. Fritz P, Brambs H-J, Schraube P, et al: Combined external beam radiotherapy and intraluminal high dose rate brachytherapy on bile duct carcinomas. Int J Radiat Oncol Biol Phys 29:855-861, 1994.
42. Takamura A, Saito H, Kamada T, et al: Intraluminal low-dose-rate Ir-192 brachytherapy combined with external beam radiotherapy in biliary stenting for unresectable extrahepatic bile duct carcinoma. Int J Radiat Oncol Biol Phys 57:1357-1365, 2003.
43. Lu J, Bains Y, Abdel-Waheb M, et al: High-dose-rate remote afterloading intracavitary brachytherapy for the treatment of extrahepatic biliary duct carcinoma. Cancer J 8:74-78, 2002.
44. Iwasaki Y, Todoroki T, Fukao K, et al: The role of intraoperative radiation therapy in the treatment of bile duct cancer. World J Surg 12:91-98, 1988.
45. Busse P, Stone M, Sheldon T, et al: Intraopertive radiation therapy for biliary tract carcinoma: Results of a 5-year experience. Surgery 105:724-733, 1989.
46. Monson JR, Donohue JH, Gunderson LL: Intraoperative radiotherapy for unresectable cholangiocarcinoma-the Mayo Clinic experience. Surg Oncol 1:283-290, 1992.
47. Todoroki T, Ohara K, Kawamoto T, et al: Benefits of adjuvant radiotherapy after radical resection of locally advanced main hepatic duct carcinoma. Int J Radiat Oncol Biol Phys 46:581-587, 2000.
48. Buskirk SJ, Gunderson LL, Schild S, et al: Analysis of failure after curative irradiation of extrahepatic bile duct carcinoma. Ann Surg 215:125-131, 1991.
49. Deziel D, Kiel K, Kranner T, et al: Intraoperative radiation therapy in biliary tract cancer. Amer Surg 54:402-407, 1988.
50. Moertel C, Childs D, Reitmeier R: Combined 5-fluorouracil and supervoltage radiation therapy of locally unresectable gastrointestinal cancer. Lancet 2:865-867, 1969.
51. Moertel C, Frytak S, Hahn R, et al: Therapy of locally unresectable pancreatic carcinoma: A randomized comparison of high-dose (6000 rads) radiation alone, moderate dose radiation (4000 rads + 5-fluorouracil) and high-dose radiation plus 5-fluorouracil. Cancer 48:1705-1710, 1981.
52. Kalser M, Elenberg S: Pancreatic cancer: Adjuvant combined radiation and chemotherapy following curative resection. Arch Surg 120:899-903, 1985.
53. Morganti A, Trodella L, Valentini V, et al: Combined modality treatment in unresectable extrahepatic biliary carcinoma. Int J Radiat Oncol Biol Phys 46:913-919, 2000.
54. McGinn C, Lawrence TS: Clinical results of the combination of radiation and fluoropyrimidines in the treatment of intrahepatic cancer. Semin Radiat Oncol 7:313-323, 1997.
55. Robertson J, McGinn C, Walker S, et al: Phase I trial of hepatic arterial bromodeoxyuridine and conformal radiation therapy for patients with primary hepatobiliary cancers or colorectal liver metastases. Int J Radiat Oncol Biol Phys 39:1087-1092, 1997.
56. Robertson J, Lawrence TS, Anderson J, et al: Long-term results of hepatic artery fluorodexoyuridine and conformal radiation therapy for primary hepatobiliary cancers. Int J Radiat Oncol Biol Phys 37:325-330, 1997.
57. Ben-Josef E, Normolle D, Ensminger W, et al: Phase II trial of high-dose conformal radiation therapy with concurrent hepatic artery floxuridine for unresectable intrahepatic malignancies. J Clin Oncol 23:8739-8747, 2005.
58. Flickinger J, Epstein A, Iwatzuki S, et al: Radiation therapy for primary carcinoma of the extrahepatic biliary system. Cancer 68:289-294, 1991.
59. Urego M, Flickinger J, Car B, et al: Radiotherapy and multimodality management of cholangiocarcinoma. Int J Radiat Oncol Biol Phys 44:121-126, 1999.
60. Heimbach J, Gores G, Haddock M, et al: Liver transplantation for unresectable perihilar cholangiocarcinoma. Semin Liver Dis 24:201-207, 2004.