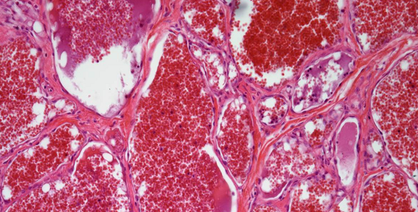
A 37-year old man presents with a bluish lesion in the right arm. After further assessment, a biopsy is performed. What is your diagnosis?
A 37-year old man presents with a bluish lesion in the right arm. According the pathology slide below, what is your diagnosis?

What is your diagnosis?